Human Aldehyde Oxidase 1/AOX1 Antibody
R&D Systems, part of Bio-Techne | Catalog # AF5928
Conjugate
Catalog #
Key Product Details
Species Reactivity
Human
Applications
Immunohistochemistry, Western Blot, Immunocytochemistry
Label
Unconjugated
Antibody Source
Polyclonal Goat IgG
Product Specifications
Immunogen
E. coli-derived recombinant human Aldehyde Oxidase 1/AOX1
Asn302-Ser531
Accession # Q06278
Asn302-Ser531
Accession # Q06278
Specificity
Detects human Aldehyde Oxidase 1/AOX1 in direct ELISAs and Western blots.
Clonality
Polyclonal
Host
Goat
Isotype
IgG
Scientific Data Images for Human Aldehyde Oxidase 1/AOX1 Antibody
Detection of Human Aldehyde Oxidase 1/AOX1 by Western Blot.
Western blot shows lysates of embryonic rat cortical neuron/glial cells. PVDF membrane was probed with 1 µg/mL of Goat Anti-Human Aldehyde Oxidase 1/AOX1 Antigen Affinity-purified Polyclonal Antibody (Catalog # AF5928) followed by HRP-conjugated Anti-Goat IgG Secondary Antibody (Catalog # HAF019). A specific band was detected for Aldehyde Oxidase 1/AOX1 at approximately 145 kDa (as indicated). This experiment was conducted under reducing conditions and using Immunoblot Buffer Group 8.Aldehyde Oxidase 1/AOX1 in Human Liver.
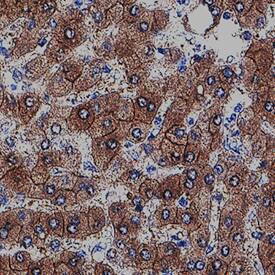
Aldehyde Oxidase 1/AOX1 was detected in immersion fixed paraffin-embedded sections of human liver using Goat Anti-Human Aldehyde Oxidase 1/AOX1 Antigen Affinity-purified Polyclonal Antibody (Catalog # AF5928) at 3 µg/mL overnight at 4 °C. Tissue was stained using the Anti-Goat HRP-DAB Cell & Tissue Staining Kit (brown; Catalog # CTS008) and counterstained with hematoxylin (blue). Specific staining was localized to cytoplasm of epithelial cells. View our protocol for Chromogenic IHC Staining of Paraffin-embedded Tissue Sections.Aldehyde Oxidase 1/AOX1 in HepG2 Human Cell Line.
Aldehyde Oxidase 1/AOX1 was detected in immersion fixed HepG2 human hepatocellular carcinoma cell line using Goat Anti-Human Aldehyde Oxidase 1/AOX1 Antigen Affinity-purified Polyclonal Antibody (Catalog # AF5928) at 10 µg/mL for 3 hours at room temperature. Cells were stained using the NorthernLights™ 557-conjugated Anti-Goat IgG Secondary Antibody (red; Catalog # NL001) and counterstained with DAPI (blue). Specific staining was localized to cytoplasm. View our protocol for Fluorescent ICC Staining of Cells on Coverslips.Applications for Human Aldehyde Oxidase 1/AOX1 Antibody
Application
Recommended Usage
Immunocytochemistry
5-15 µg/mL
Sample: Immersion fixed HepG2 human hepatocellular carcinoma cell line
Sample: Immersion fixed HepG2 human hepatocellular carcinoma cell line
Immunohistochemistry
3-15 µg/mL
Sample: Immersion fixed paraffin-embedded sections of human liver
Sample: Immersion fixed paraffin-embedded sections of human liver
Western Blot
1 µg/mL
Sample: Embryonic rat cortical neuron/glial cells
Sample: Embryonic rat cortical neuron/glial cells
Formulation, Preparation, and Storage
Purification
Antigen Affinity-purified
Reconstitution
Reconstitute at 0.2 mg/mL in sterile PBS. For liquid material, refer to CoA for concentration.
Formulation
Lyophilized from a 0.2 μm filtered solution in PBS with Trehalose. *Small pack size (SP) is supplied either lyophilized or as a 0.2 µm filtered solution in PBS.
Shipping
Lyophilized product is shipped at ambient temperature. Liquid small pack size (-SP) is shipped with polar packs. Upon receipt, store immediately at the temperature recommended below.
Stability & Storage
Use a manual defrost freezer and avoid repeated freeze-thaw cycles.
- 12 months from date of receipt, -20 to -70 °C as supplied.
- 1 month, 2 to 8 °C under sterile conditions after reconstitution.
- 6 months, -20 to -70 °C under sterile conditions after reconstitution.
Background: Aldehyde Oxidase 1/AOX1
Additional Aldehyde Oxidase 1/AOX1 Products
Product Documents for Human Aldehyde Oxidase 1/AOX1 Antibody
Product Specific Notices for Human Aldehyde Oxidase 1/AOX1 Antibody
For research use only
Loading...
Loading...
Loading...
Loading...
Loading...