Skip to main content

Key Product Details

Species Reactivity

Human

Applications

Immunohistochemistry, Western Blot, Simple Western

Label

Unconjugated

Antibody Source

Monoclonal Mouse IgG2B Clone # 775912

Product Specifications

Immunogen

E. coli-derived recombinant human A20
Lys91-Leu263
Accession # P21580

Specificity

Detects human A20 in direct ELISAs. In direct ELISAs, no cross-reactivity with recombinant human A20/TNFAIP3 (aa 440-790) is observed.

Clonality

Monoclonal

Host

Mouse

Isotype

IgG2B

Scientific Data Images for Human A20/TNFAIP3 Antibody

Detection of Human A20/TNFAIP3 antibody by Western Blot.

Detection of Human A20/TNFAIP3 by Western Blot.

Western blot shows lysates of HepG2 human hepatocellular carcinoma cell line and NCI-H460 human large cell lung carcinoma cell line. PVDF membrane was probed with 2 µg/mL of Mouse Anti-Human A20/TNFAIP3 Monoclonal Antibody (Catalog # MAB7598) followed by HRP-conjugated Anti-Mouse IgG Secondary Antibody (HAF018). A specific band was detected for A20/TNFAIP3 at approximately 95 kDa (as indicated). This experiment was conducted under reducing conditions and using Immunoblot Buffer Group 1.

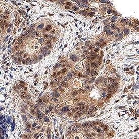
Detection of A20/TNFAIP3 in Human Colon.

A20/TNFAIP3 was detected in immersion fixed paraffin-embedded sections of Human Colon using Mouse Anti-Human A20/TNFAIP3 Monoclonal Antibody (Catalog # MAB7598) at 5 µg/mL for 1 hour at room temperature followed by incubation with the Anti-Mouse IgG VisUCyte™ HRP Polymer Antibody (Catalog # VC001). Before incubation with the primary antibody, tissue was subjected to heat-induced epitope retrieval using VisUCyte Antigen Retrieval Reagent-Basic (Catalog # VCTS021). Tissue was stained using DAB (brown) and counterstained with hematoxylin (blue). Specific staining was localized to cytoplasm in epithelial cells in mucosal glands. View our protocol for IHC Staining with VisUCyte HRP Polymer Detection Reagents.

Detection of Human A20/TNFAIP3 by Simple WesternTM.

Simple Western lane view shows lysates of Jurkat human acute T cell leukemia cells, HepG2 human hepatocellular carcinoma cells, and NCI-H460 human large cell lung carcinoma cells, loaded at 0.2 mg/mL. A specific band was detected for A20/TNFAIP3 at approximately 101 kDa (as indicated) using 20 µg/mL of Mouse Anti-Human A20/TNFAIP3 Monoclonal Antibody (Catalog # MAB7598). This experiment was conducted under reducing conditions and using the 12-230 kDa separation system.

Applications for Human A20/TNFAIP3 Antibody

Application
Recommended Usage

Immunohistochemistry

5-25 µg/mL
Sample: Immersion fixed paraffin-embedded sections of Human Colon

Simple Western

20 µg/mL
Sample: Jurkat human acute T cell leukemia cells, HepG2 human hepatocellular carcinoma cells, and NCI-H460 human large cell lung carcinoma cells

Western Blot

2 µg/mL
Sample: HepG2 human hepatocellular carcinoma cell line and NCI‑H460 human large cell lung carcinoma cell line

Formulation, Preparation, and Storage

Purification

Protein A or G purified from hybridoma culture supernatant

Reconstitution

Sterile PBS to a final concentration of 0.5 mg/mL. For liquid material, refer to CoA for concentration.

Reconstitution Buffer Available:
Size / Price
Qty
Loading...

Formulation

Lyophilized from a 0.2 μm filtered solution in PBS with Trehalose. *Small pack size (SP) is supplied either lyophilized or as a 0.2 µm filtered solution in PBS.

Shipping

Lyophilized product is shipped at ambient temperature. Liquid small pack size (-SP) is shipped with polar packs. Upon receipt, store immediately at the temperature recommended below.

Stability & Storage

Use a manual defrost freezer and avoid repeated freeze-thaw cycles.
  • 12 months from date of receipt, -20 to -70 °C as supplied.
  • 1 month, 2 to 8 °C under sterile conditions after reconstitution.
  • 6 months, -20 to -70 °C under sterile conditions after reconstitution.

Background: A20/TNFAIP3

A20 (TNF alpha-induced protein 3) is a cytoplasmic zinc finger protein that inhibits NF kappaB activity and tumor necrosis factor-mediated programmed cell death. The protein interacts with NAF1 and inhibits TNF-induced NF kappaB-dependent gene expression by interfering with RIP- or TRAF2-mediated transactivation signaling. A20 contains an N-terminal domain which has deubiquitinating enzyme activity and removes ubiquitin chains from receptor-interacting protein (RIP), thus mediating distinct regulatory effects in the down-regulation of NF kappaB signaling.

Alternate Names

OTUD7C, TNFA1P2, TNFAIP3

Entrez Gene IDs

7128 (Human); 21929 (Mouse)

Gene Symbol

TNFAIP3

UniProt

Additional A20/TNFAIP3 Products

Product Documents for Human A20/TNFAIP3 Antibody

Certificate of Analysis

To download a Certificate of Analysis, please enter a lot number in the search box below.

Note: Certificate of Analysis not available for kit components.

Product Specific Notices for Human A20/TNFAIP3 Antibody

For research use only

Loading...
Loading...
Loading...
Loading...
Loading...