Skip to main content

Human 53BP1 Antibody

R&D Systems, part of Bio-Techne | Catalog # MAB18772

Recombinant Monoclonal Antibody.
R&D Systems, part of Bio-Techne

Key Product Details

Validated by

Knockout/Knockdown

Species Reactivity

Validated:

Human

Cited:

Human

Applications

Validated:

Knockout Validated, Immunohistochemistry, Western Blot, Immunocytochemistry

Cited:

Immunocytochemistry

Label

Unconjugated

Antibody Source

Recombinant Monoclonal Rabbit IgG Clone # 1285C

Product Specifications

Immunogen

E. coli-derived recombinant human 53BP1
Ala1614-His1972
Accession # Q12888

Specificity

Detects human 53BP1 in direct ELISAs.

Clonality

Monoclonal

Host

Rabbit

Isotype

IgG

Scientific Data Images for Human 53BP1 Antibody

Detection of Human 53BP1 antibody by Western Blot.

Detection of Human 53BP1 by Western Blot.

Western blot shows lysates of HEK293 human embryonic kidney cell line and ZR-75 human breast cancer cell line. PVDF membrane was probed with 2 µg/mL of Rabbit Anti-Human 53BP1 Monoclonal Antibody (Catalog # MAB18772) followed by HRP-conjugated Anti-Rabbit IgG Secondary Antibody (Catalog # HAF008). A specific band was detected for 53BP1 at approximately 350 kDa (as indicated). This experiment was conducted under reducing conditions and using Immunoblot Buffer Group 1.
53BP1 antibody in HeLa Human Cell Line by Immunocytochemistry (ICC).

53BP1 in HeLa Human Cell Line.

53BP1 was detected in immersion fixed HeLa human cervical epithelial carcinoma cell line using Rabbit Anti-Human 53BP1 Monoclonal Antibody (Catalog # MAB18772) at 3 µg/mL for 3 hours at room temperature. Cells were stained using the NorthernLights™ 557-conjugated Anti-Rabbit IgG Secondary Antibody (red; Catalog # NL004) and counterstained with DAPI (blue). Specific staining was localized to nuclei. View our protocol for Fluorescent ICC Staining of Cells on Coverslips.
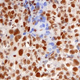
53BP1 antibody in Human Cervical Cancer Tissue by Immunohistochemistry (IHC-P).

53BP1 in Human Cervical Cancer Tissue.

53BP1 was detected in immersion fixed paraffin-embedded sections of human cervical cancer tissue using Rabbit Anti-Human 53BP1 Monoclonal Antibody (Catalog # MAB18772) at 1 µg/mL for 1 hour at room temperature followed by incubation with the Anti-Rabbit IgG VisUCyte™ HRP Polymer Antibody (Catalog # VC003). Tissue was stained using DAB (brown) and counterstained with hematoxylin (blue). Specific staining was localized to nuclei. View our protocol for IHC Staining with VisUCyte HRP Polymer Detection Reagents.

Applications for Human 53BP1 Antibody

Application
Recommended Usage

Immunocytochemistry

3-25 µg/mL
Sample: Immersion fixed HeLa human cervical epithelial carcinoma cell line

Immunohistochemistry

1-25 µg/mL
Sample: Immersion fixed paraffin-embedded sections of human cervical epithelial carcinoma cell line

Knockout Validated

53BP1 is specifically detected in HeLa human cervical epithelial carcinoma parental cell line but is not detectable in 53BP1 knockout HeLa cell line.

Western Blot

2 µg/mL
Sample: HEK293 human embryonic kidney cell line and ZR‑75 human breast cancer cell line

Formulation, Preparation, and Storage

Purification

Protein A or G purified from cell culture supernatant

Reconstitution

Reconstitute at 0.5 mg/mL in sterile PBS. For liquid material, refer to CoA for concentration.

Reconstitution Buffer Available:
Size / Price
Qty
Loading...

Formulation

Lyophilized from a 0.2 μm filtered solution in PBS with Trehalose. *Small pack size (SP) is supplied either lyophilized or as a 0.2 µm filtered solution in PBS.

Shipping

Lyophilized product is shipped at ambient temperature. Liquid small pack size (-SP) is shipped with polar packs. Upon receipt, store immediately at the temperature recommended below.

Stability & Storage

Use a manual defrost freezer and avoid repeated freeze-thaw cycles.
  • 12 months from date of receipt, -20 to -70 °C as supplied.
  • 1 month, 2 to 8 °C under sterile conditions after reconstitution.
  • 6 months, -20 to -70 °C under sterile conditions after reconstitution.

Background: 53BP1

The p53-binding protein 1 (53BP1) localizes to sites of damaged DNA and is phosphorylated by the ATM checkpoint kinase. 53BP1 is required for phosphorylation of other downstream ATM substrates, such as p53 and SMC-1, and therefore aids in nucleating a DNA damage response protein complex. Over aa 1614-1972, human 53BP1 shares 97% aa sequence identity with rat and mouse 53BP1. 

Long Name

p53 Binding Protein 1

Alternate Names

p202, TP53BP1

Entrez Gene IDs

7158 (Human); 27223 (Mouse); 296099 (Rat)

Gene Symbol

TP53BP1

UniProt

Additional 53BP1 Products

Product Documents for Human 53BP1 Antibody

Certificate of Analysis

To download a Certificate of Analysis, please enter a lot number in the search box below.

Note: Certificate of Analysis not available for kit components.

Product Specific Notices for Human 53BP1 Antibody

For research use only

Loading...
Loading...
Loading...
Loading...