Skip to main content

HTRA2/Omi Antibody (ST54-05)

Novus Biologicals, part of Bio-Techne | Catalog # NBP2-67543

Recombinant Monoclonal Antibody.
Novus Biologicals, part of Bio-Techne
Catalog #
Availability
Size / Price
Qty
Loading...
NBP2-67543

Key Product Details

Species Reactivity

Human, Mouse, Rat

Applications

Immunohistochemistry, Immunohistochemistry-Paraffin, Western Blot, Immunoprecipitation

Label

Unconjugated

Antibody Source

Recombinant Monoclonal Rabbit IgG Clone # ST54-05 expressed in HEK293

Concentration

1 mg/ml

Product Specifications

Immunogen

Recombinant protein within Human HTRA2/Omi aa 800-188 / 458. (SwissProt: O43464 Human; SwissProt: Q9JIY5 Mouse; Unigene: 107325 Rat)

Localization

Mitochondrion intermembrane space, Mitochondrion membrane.

Clonality

Monoclonal

Host

Rabbit

Isotype

IgG

Description

Novus Biologicals Rabbit HTRA2/Omi Antibody (ST54-05) (NBP2-67543) is a recombinant monoclonal antibody validated for use in IHC, WB and IP. All Novus Biologicals antibodies are covered by our 100% guarantee.

Scientific Data Images for HTRA2/Omi Antibody (ST54-05)

Western Blot: HTRA2/Omi Antibody (ST54-05) [NBP2-67543]

Western Blot: HTRA2/Omi Antibody (ST54-05) [NBP2-67543]

Western Blot: HTRA2/Omi Antibody (ST54-05) [NBP2-67543] - Analysis of HtrA2 on 293 cell lysates using anti-HtrA2 antibody at 1/1,000 dilution.
Immunohistochemistry-Paraffin: HTRA2/Omi Antibody (ST54-05) [NBP2-67543]

Immunohistochemistry-Paraffin: HTRA2/Omi Antibody (ST54-05) [NBP2-67543]

Immunohistochemistry-Paraffin: HTRA2/Omi Antibody (ST54-05) [NBP2-67543] - Analysis of paraffin-embedded mouse liver tissue using anti-HtrA2 antibody. Counter stained with hematoxylin.
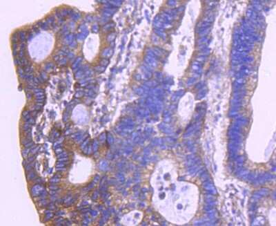
Immunohistochemistry-Paraffin: HTRA2/Omi Antibody (ST54-05) [NBP2-67543]

Immunohistochemistry-Paraffin: HTRA2/Omi Antibody (ST54-05) [NBP2-67543]

Immunohistochemistry-Paraffin: HTRA2/Omi Antibody (ST54-05) [NBP2-67543] - Analysis of paraffin-embedded human colon cancer tissue using anti-HtrA2 antibody. Counter stained with hematoxylin.

Applications for HTRA2/Omi Antibody (ST54-05)

Application
Recommended Usage

Immunohistochemistry-Paraffin

1:50-1:200

Western Blot

1:1000-1:2000

Formulation, Preparation, and Storage

Purification

Protein A purified

Formulation

TBS (pH7.4), 0.05% BSA, 40% Glycerol

Preservative

0.05% Sodium Azide

Concentration

1 mg/ml

Shipping

The product is shipped with polar packs. Upon receipt, store it immediately at the temperature recommended below.

Stability & Storage

Store at 4C short term. Aliquot and store at -20C long term. Avoid freeze-thaw cycles.

Background: HTRA2/Omi

HtrA2 (Omi) is a serine protease that plays a significant role in programmed cell death, or apoptosis. Localized to the intermembrane space of the mitochondria, HtrA2 exists predominantly as two isoforms (1). In response to cellular stress signals, HtrA2 is released into the cytosol. One way that HtrA2 induces apoptosis is by binding to BIRC proteins (also called inhibitor of apoptosis proteins, IAPs), and thereby inhibiting their caspase-inhibitory activity (2,3).

Long Name

High Temperature Requirement Protein-2

Alternate Names

Omi, PRSS25

Gene Symbol

HTRA2

Additional HTRA2/Omi Products

Product Documents for HTRA2/Omi Antibody (ST54-05)

Certificate of Analysis

To download a Certificate of Analysis, please enter a lot number in the search box below.

Product Specific Notices for HTRA2/Omi Antibody (ST54-05)

This product is for research use only and is not approved for use in humans or in clinical diagnosis. Primary Antibodies are guaranteed for 1 year from date of receipt.

Loading...
Loading...
Loading...
Loading...