Skip to main content

HSPH1/HSP105 Antibody - BSA Free

Novus Biologicals, part of Bio-Techne | Catalog # NBP1-89662

Novus Biologicals, part of Bio-Techne
Catalog #
Availability
Size / Price
Qty
Loading...
NBP1-89662-25ul
NBP1-89662

Key Product Details

Validated by

Independent Antibodies

Species Reactivity

Validated:

Human

Cited:

Mouse

Predicted:

Mouse (94%), Rat (97%). Backed by our 100% Guarantee.

Applications

Validated:

Immunohistochemistry, Immunohistochemistry-Paraffin, Western Blot, Immunocytochemistry/ Immunofluorescence

Cited:

Western Blot

Label

Unconjugated

Antibody Source

Polyclonal Rabbit IgG

Format

BSA Free

Concentration

Concentrations vary lot to lot. See vial label for concentration. If unlisted please contact technical services.

Product Specifications

Immunogen

This antibody was developed against Recombinant Protein corresponding to amino acids: TQPQVQTDAQQTSQSPPSPELTSEENKIPDADKANEKKVDQPPEAKKPKIKVVNVELPIEANLVWQLG

Clonality

Polyclonal

Host

Rabbit

Isotype

IgG

Description

Novus Biologicals Rabbit HSPH1/HSP105 Antibody - BSA Free (NBP1-89662) is a polyclonal antibody validated for use in IHC, WB and ICC/IF. Anti-HSPH1/HSP105 Antibody: Cited in 1 publication. All Novus Biologicals antibodies are covered by our 100% guarantee.

Scientific Data Images for HSPH1/HSP105 Antibody - BSA Free

Immunocytochemistry/ Immunofluorescence: HSPH1/HSP105 Antibody [NBP1-89662]

Immunocytochemistry/ Immunofluorescence: HSPH1/HSP105 Antibody [NBP1-89662]

Immunocytochemistry/Immunofluorescence: HSPH1/HSP105 Antibody [NBP1-89662] - Staining of human cell line U-251 MG shows localization to nucleoplasm & cytosol. Antibody staining is shown in green.
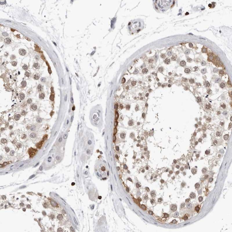
HSPH1/HSP105 Antibody - BSA Free Immunohistochemistry-Paraffin: HSPH1/HSP105 Antibody - BSA Free [NBP1-89662]

Immunohistochemistry-Paraffin: HSPH1/HSP105 Antibody - BSA Free [NBP1-89662]

Staining of human testis shows strong cytoplasmic positivity in seminiferous ducts.
HSPH1/HSP105 Antibody - BSA Free Western Blot: HSPH1/HSP105 Antibody - BSA Free [NBP1-89662]

Western Blot: HSPH1/HSP105 Antibody - BSA Free [NBP1-89662]

Analysis using Anti-HSPH1 antibody NBP1-89662 (A) shows similar pattern to independent antibody NBP2-55047 (B).

Applications for HSPH1/HSP105 Antibody - BSA Free

Application
Recommended Usage

Immunocytochemistry/ Immunofluorescence

0.25-2 ug/ml

Immunohistochemistry

1:200 - 1:500

Immunohistochemistry-Paraffin

1:200 - 1:500

Western Blot

0.04-0.4 ug/ml
Application Notes
For IHC-Paraffin, HIER pH 6 retrieval is recommended. ICC/IF Fixation Permeabilization: Use PFA/Triton X-100.

Formulation, Preparation, and Storage

Purification

Immunogen affinity purified

Formulation

PBS (pH 7.2) and 40% Glycerol

Format

BSA Free

Preservative

0.02% Sodium Azide

Concentration

Concentrations vary lot to lot. See vial label for concentration. If unlisted please contact technical services.

Shipping

The product is shipped with polar packs. Upon receipt, store it immediately at the temperature recommended below.

Stability & Storage

Store at 4C short term. Aliquot and store at -20C long term. Avoid freeze-thaw cycles.

Background: HSPH1

The heat shock proteins (HSPs) comprise a group of highly conserved, abundantly expressed proteins with diverse functions, including the assembly and sequestering of multiprotein complexes, transportation of nascent polypeptide chains across cellular membranes and regulation of protein folding. Heat shock proteins (also known as molecular chaperones) fall into six general families: HSP 90, HSP 70, HSP 60, the low molecular weight HSPs, the immunophilins and the HSP 110 family. The HSP 110 family (also known as the HSP 105 family) is composed of HSP 105, Apg-1 and Apg-2. HSP 105 is a testis-specific and HSP 90-related protein. Research indicates that HSP 105 is specifically localized in the germ cells and may translocate into the nucleus after heat shock. It is suggested that HSP 105 may contribute to the stabilization of p53 proteins in the cytoplasm of the germ cells, preventing the potential induction of apoptosis by p53.

Long Name

Heat Shock Protein H1

Alternate Names

HSP105a, HSP110, NY-CO-25

Gene Symbol

HSPH1

Additional HSPH1 Products

Product Documents for HSPH1/HSP105 Antibody - BSA Free

Certificate of Analysis

To download a Certificate of Analysis, please enter a lot number in the search box below.

Product Specific Notices for HSPH1/HSP105 Antibody - BSA Free

This product is for research use only and is not approved for use in humans or in clinical diagnosis. Primary Antibodies are guaranteed for 1 year from date of receipt.

Loading...
Loading...
Loading...
Loading...