HSPA8/HSC71/Hsc70 Antibody (OTI1H3) - Azide and BSA Free
Novus Biologicals, part of Bio-Techne | Catalog # NBP2-70962
Conjugate
Catalog #
Key Product Details
Species Reactivity
Human, Mouse, Rat, Canine, Monkey
Applications
Immunohistochemistry, Immunohistochemistry-Paraffin, Western Blot, Immunocytochemistry/ Immunofluorescence
Label
Unconjugated
Antibody Source
Monoclonal Mouse IgG3 Clone # OTI1H3
Format
Azide and BSA Free
Concentration
LYOPH mg/ml
Product Specifications
Immunogen
Full length human recombinant protein of human HSPA8(NP_006588) produced in HEK293T cell.
Reactivity Notes
Please note that this antibody is reactive to Mouse and derived from the same host, Mouse. Mouse-On-Mouse blocking reagent may be needed for IHC and ICC experiments to reduce high background signal. You can find these reagents under catalog numbers PK-2200-NB and MP-2400-NB. Please contact Technical Support if you have any questions.
Clonality
Monoclonal
Host
Mouse
Isotype
IgG3
Theoretical MW
70.7 kDa.
Disclaimer note: The observed molecular weight of the protein may vary from the listed predicted molecular weight due to post translational modifications, post translation cleavages, relative charges, and other experimental factors.
Disclaimer note: The observed molecular weight of the protein may vary from the listed predicted molecular weight due to post translational modifications, post translation cleavages, relative charges, and other experimental factors.
Description
Novus Biologicals Mouse HSPA8/HSC71/Hsc70 Antibody (OTI1H3) - Azide and BSA Free (NBP2-45746) is a monoclonal antibody validated for use in IHC, WB and ICC/IF. All Novus Biologicals antibodies are covered by our 100% guarantee.
Scientific Data Images for HSPA8/HSC71/Hsc70 Antibody (OTI1H3) - Azide and BSA Free
Western Blot: HSPA8/HSC71/Hsc70 Antibody (OTI1H3)Azide and BSA Free [NBP2-70962]
Western Blot: HSPA8/HSC71/Hsc70 Antibody (OTI1H3) - Azide and BSA Free [NBP2-70962] - Analysis of HEK293T cells were transfected with the pCMV6-ENTRY control (Left lane) or pCMV6-ENTRY HSPA8.Immunocytochemistry/ Immunofluorescence: HSPA8/HSC71/Hsc70 Antibody (OTI1H3) - Azide and BSA Free [NBP2-70962]
Immunocytochemistry/Immunofluorescence: HSPA8/HSC71/Hsc70 Antibody (OTI1H3) - Azide and BSA Free [NBP2-70962] - Staining of COS7 cells transiently transfected by pCMV6-ENTRY HSPA8 .Immunohistochemistry: HSPA8/HSC71/Hsc70 Antibody (OTI1H3) - Azide and BSA Free [NBP2-70962]
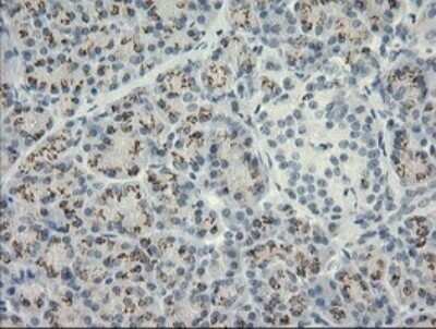
Immunohistochemistry: HSPA8/HSC71/Hsc70 Antibody (OTI1H3) - Azide and BSA Free [NBP2-70962] - Analysis of Human pancreas tissue. (Heat-induced epitope retrieval by 10mM citric buffer, pH6.0, 120C for 3min)Applications for HSPA8/HSC71/Hsc70 Antibody (OTI1H3) - Azide and BSA Free
Application
Recommended Usage
Immunocytochemistry/ Immunofluorescence
1:100
Immunohistochemistry
1:150
Western Blot
1:1000
Formulation, Preparation, and Storage
Purification
Immunogen affinity purified
Reconstitution
we recommend adding 100uL distilled water to a final antibody concentration of about 1 mg/mL. To use this carrier-free antibody for conjugation experiment, we strongly recommend performing another round of desalting process.
Formulation
Lyophilized from PBS (pH 7.3) with 8% Trehalose
Format
Azide and BSA Free
Preservative
No Preservative
Concentration
LYOPH mg/ml
Shipping
The product is shipped with polar packs. Upon receipt, store it immediately at the temperature recommended below.
Stability & Storage
Store at -20C. Avoid freeze-thaw cycles.
Background: HSPA8/HSC71
Long Name
Heat Shock 70 kDa Protein 8
Alternate Names
HSC54, HSC70, HSC71, HSP71, HSP73, HSPA10, NIP71
Gene Symbol
HSPA8
Additional HSPA8/HSC71 Products
Product Documents for HSPA8/HSC71/Hsc70 Antibody (OTI1H3) - Azide and BSA Free
Product Specific Notices for HSPA8/HSC71/Hsc70 Antibody (OTI1H3) - Azide and BSA Free
This product is for research use only and is not approved for use in humans or in clinical diagnosis. Primary Antibodies are guaranteed for 1 year from date of receipt.
Loading...
Loading...
Loading...
Loading...
Loading...