Skip to main content

HspA4 Antibody (10A9C5)

Novus Biologicals, part of Bio-Techne | Catalog # NBP3-15869

Recombinant Monoclonal Antibody
Novus Biologicals, part of Bio-Techne
Catalog #
Availability
Size / Price
Qty
Loading...
NBP3-15869-100ul
NBP3-15869-20ul

Key Product Details

Species Reactivity

Human, Mouse, Rat

Applications

Immunohistochemistry, Immunohistochemistry-Paraffin, Western Blot

Label

Unconjugated

Antibody Source

Recombinant Monoclonal Rabbit IgG Clone # 10A9C5 expressed in HEK293

Concentration

Please see the vial label for concentration. If unlisted please contact technical services.

Product Specifications

Immunogen

A synthetic peptide corresponding to a sequence within amino acids 700-800 of human HspA4 (P34932). EELGKQIQQYMKIISSFKNKEDQYDHLDAADMTKVEKSTNEAMEWMNNKLNLQNKQSLTMDPVVKSKEIEAKIKELTSTCSPIISKPKPKVEPPKEEQKNA

Clonality

Monoclonal

Host

Rabbit

Isotype

IgG

Description

Novus Biologicals Rabbit HspA4 Antibody (10A9C5) (NBP3-15869) is a recombinant monoclonal antibody validated for use in IHC and WB. All Novus Biologicals antibodies are covered by our 100% guarantee.

Scientific Data Images for HspA4 Antibody (10A9C5)

Western Blot: HspA4 Antibody (10A9C5) [NBP3-15869]

Western Blot: HspA4 Antibody (10A9C5) [NBP3-15869]

Western Blot: HspA4 Antibody (10A9C5) [NBP3-15869] - Western blot analysis of extracts of various cell lines, using HspA4 Rabbit mAb (NBP3-15869) at 1:1000 dilution. Secondary antibody: HRP Goat Anti-Rabbit IgG (H+L) at 1:10000 dilution. Lysates/proteins: 25ug per lane. Blocking buffer: 3% nonfat dry milk in TBST. Detection: ECL Basic Kit. Exposure time: 90s.
HspA4 Antibody (10A9C5)

Immunohistochemistry: HspA4 Antibody (10A9C5) [HspA4] -

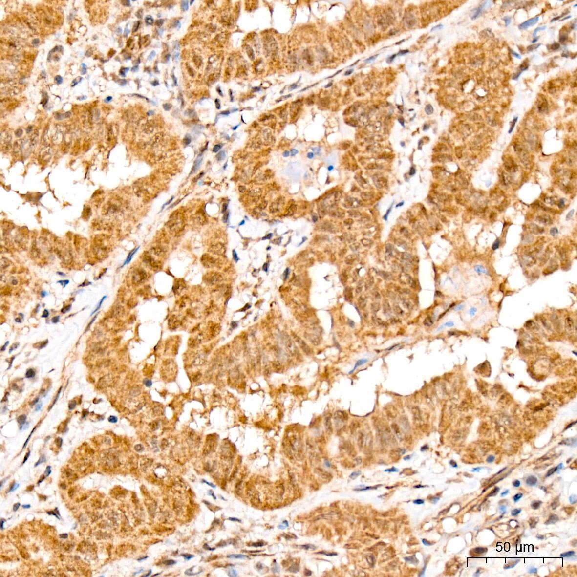
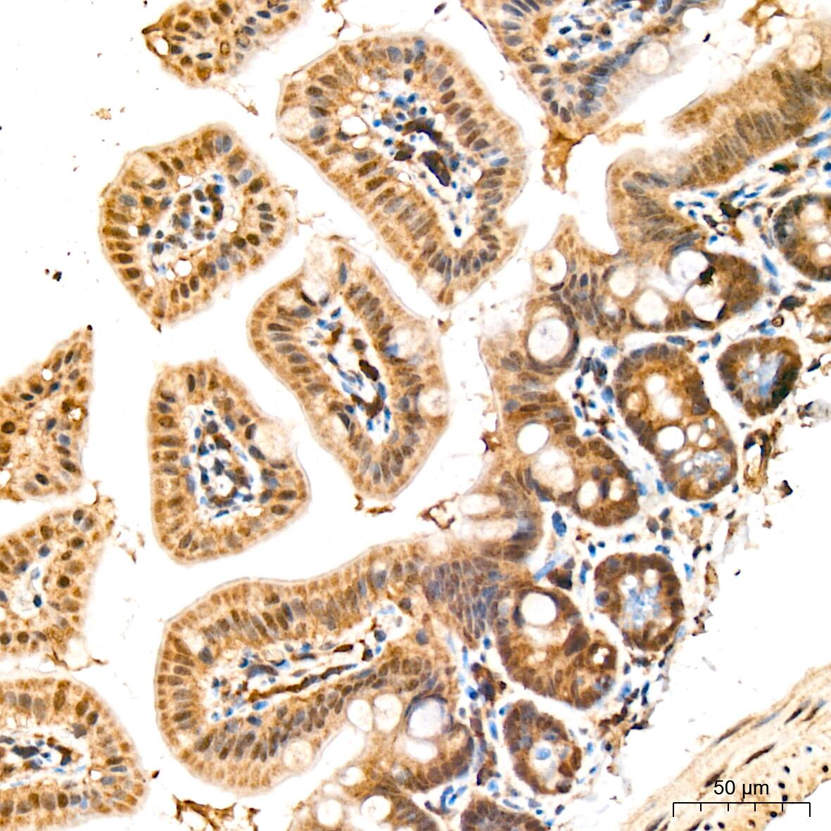
Immunohistochemistry: HspA4 Antibody (10A9C5) [HspA4] - Immunohistochemistry analysis of HspA4 in paraffin-embedded mouse intestin tissue using HspA4 Rabbit mAb at a dilution of 1:200 (40x lens). High pressure antigen retrieval was performed with 0.01 M citrate buffer (pH 6.0) prior to IHC staining.
HspA4 Antibody (10A9C5)

Immunohistochemistry: HspA4 Antibody (10A9C5) [HspA4] -

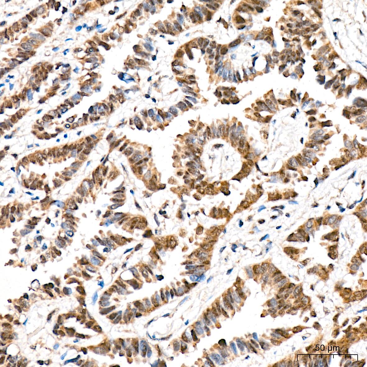
Immunohistochemistry: HspA4 Antibody (10A9C5) [HspA4] - Immunohistochemistry analysis of HspA4 in paraffin-embedded Human lung adenocarcinoma tissue using HspA4 Rabbit mAb at a dilution of 1:200 (40x lens). High pressure antigen retrieval was performed with 0.01 M citrate buffer (pH 6.0) prior to IHC staining.

Applications for HspA4 Antibody (10A9C5)

Application
Recommended Usage

Immunohistochemistry

1:50 - 1:200

Western Blot

1:500 - 1:2000

Formulation, Preparation, and Storage

Purification

Affinity purified

Formulation

PBS (pH 7.3), 50% glycerol, 0.05% BSA

Preservative

0.02% Sodium Azide

Concentration

Please see the vial label for concentration. If unlisted please contact technical services.

Shipping

The product is shipped with polar packs. Upon receipt, store it immediately at the temperature recommended below.

Stability & Storage

Store at -20C. Avoid freeze-thaw cycles.

Background: HspA4

Alternate Names

APG2, APG-2, heat shock 70 kDa protein 4, heat shock 70kD protein 4, heat shock 70kDa protein 4, Heat shock 70-related protein APG-2, heat shock protein, 110 kDa, HS24/P52, hsp70, HSP70RY, MGC131852, RY

Gene Symbol

HSPA4

Additional HspA4 Products

Product Documents for HspA4 Antibody (10A9C5)

Certificate of Analysis

To download a Certificate of Analysis, please enter a lot number in the search box below.

Product Specific Notices for HspA4 Antibody (10A9C5)

This product is for research use only and is not approved for use in humans or in clinical diagnosis. Primary Antibodies are guaranteed for 1 year from date of receipt.

Loading...
Loading...
Loading...
Loading...