HspA1B Antibody (HSPA1B/7628) - Azide and BSA Free
Novus Biologicals, part of Bio-Techne | Catalog # NBP3-24288
Conjugate
Catalog #
Key Product Details
Species Reactivity
Human
Applications
Immunohistochemistry-Paraffin
Label
Unconjugated
Antibody Source
Monoclonal Mouse IgG1 Lambda Clone # HSPA1B/7628
Format
Azide and BSA Free
Concentration
1 mg/ml
Product Specifications
Immunogen
Recombinant fragment (around aa400-600) of human HspA1B protein (exact sequence is proprietary)
Localization
Cytoplasm. Nucleus.
Clonality
Monoclonal
Host
Mouse
Isotype
IgG1 Lambda
Description
Antibody without azide - store at -20 to -80C.
Scientific Data Images for HspA1B Antibody (HSPA1B/7628) - Azide and BSA Free
Immunohistochemistry-Paraffin: HspA1B Antibody (HSPA1B/7628) - Azide and BSA Free [NBP3-24288] -
Formalin-fixed, paraffin-embedded human salivary gland stained with HspA1B antibody (HSPA1B/7628) - Azide and BSA Free. HIER: Tris/EDTA, pH9.0, 45min. Secondary: HRP-polymer, 30min. DAB, 5min.Immunohistochemistry-Paraffin: HspA1B Antibody (HSPA1B/7628) - Azide and BSA Free [NBP3-24288] -
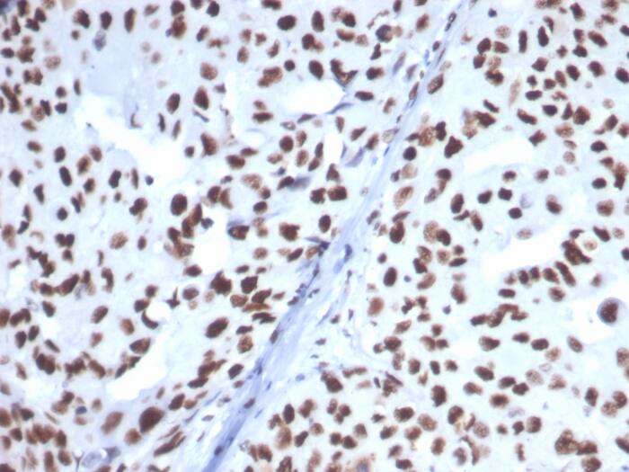
Formalin-fixed, paraffin-embedded human breast carcinoma stained with HspA1B antibody (HSPA1B/7628) - Azide and BSA Free. HIER: Tris/EDTA, pH9.0, 45min. Secondary: HRP-polymer, 30min. DAB, 5min.Applications for HspA1B Antibody (HSPA1B/7628) - Azide and BSA Free
Application
Recommended Usage
Immunohistochemistry-Paraffin
1-2ug/ml
Application Notes
Immunohistochemistry-Paraffin: 1-2ug/ml for 30 minutes at RT. Staining of formalin-fixed tissues requires heating tissue sections in 10mM Tris with 1mM EDTA, pH 9.0, for 45 min at 95C followed by cooling at RT for 20 minutes. Optimal dilution for a specific application should be determined.
Formulation, Preparation, and Storage
Purification
Protein A or G purified
Formulation
10mM PBS
Format
Azide and BSA Free
Preservative
No Preservative
Concentration
1 mg/ml
Shipping
The product is shipped with polar packs. Upon receipt, store it immediately at the temperature recommended below.
Stability & Storage
Store at -20 to -80C. Avoid freeze-thaw cycles.
Background: HspA1B
Alternate Names
FLJ54328, Heat shock 70 kDa protein 1/2, heat shock 70 kDa protein 1A/1B, heat shock 70kD protein 1B, heat shock 70kDa protein 1B, HSP70.1/HSP70.2, HSP70-1/HSP70-2, HSP70-1B, HSP70-2, HSPA1, HSPA1A
Gene Symbol
HSPA1B
Additional HspA1B Products
Product Documents for HspA1B Antibody (HSPA1B/7628) - Azide and BSA Free
Product Specific Notices for HspA1B Antibody (HSPA1B/7628) - Azide and BSA Free
This product is for research use only and is not approved for use in humans or in clinical diagnosis. Primary Antibodies are guaranteed for 1 year from date of receipt.
Loading...
Loading...
Loading...
Loading...