Skip to main content

HspA1B Antibody (HSPA1B/7626)

Novus Biologicals, part of Bio-Techne | Catalog # NBP3-23623

Novus Biologicals, part of Bio-Techne
Catalog #
Availability
Size / Price
Qty
Loading...
NBP3-23623-20ug
NBP3-23623-100ug

Key Product Details

Species Reactivity

Human

Applications

Immunohistochemistry-Paraffin

Label

Unconjugated

Antibody Source

Monoclonal Mouse IgG2b Kappa Clone # HSPA1B/7626

Concentration

0.2 mg/ml

Product Specifications

Immunogen

Recombinant fragment (around aa400-600) of human HspA1B protein (exact sequence is proprietary)

Localization

Cytoplasm. Nucleus.

Clonality

Monoclonal

Host

Mouse

Isotype

IgG2b Kappa

Description

Store at 2 to 8C. Non-hazardous. No MSDS required.

Scientific Data Images for HspA1B Antibody (HSPA1B/7626)

HspA1B Antibody (HSPA1B/7626)

Western Blot: HspA1B Antibody (HSPA1B/7626) [NBP3-23623] -

Western blot analysis of T47D & HEK-293 cell lysates using HspA1B antibody (HSPA1B/7626).
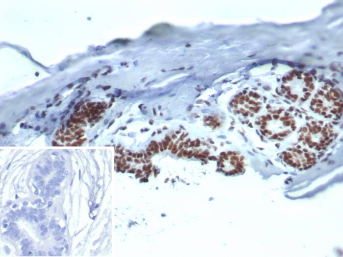
HspA1B Antibody (HSPA1B/7626)

Immunohistochemistry-Paraffin: HspA1B Antibody (HSPA1B/7626) [NBP3-23623] -

Formalin-fixed, paraffin-embedded human breast carcinoma stained with HspA1B antibody (HSPA1B/7626). Inset: PBS instead of primary antibody; secondary only negative control.

Applications for HspA1B Antibody (HSPA1B/7626)

Application
Recommended Usage

Immunohistochemistry-Paraffin

1-2ug/ml
Application Notes
Immunohistochemistry-Paraffin: 1-2ug/ml for 30 minutes at RT. Staining of formalin-fixed tissues requires heating tissue sections in 10mM Tris with 1mM EDTA, pH 9.0, for 45 min at 95C followed by cooling at RT for 20 minutes. Optimal dilution for a specific application should be determined.

Formulation, Preparation, and Storage

Purification

Protein A or G purified

Formulation

10mM PBS with 0.05% BSA

Preservative

0.05% Sodium Azide

Concentration

0.2 mg/ml

Shipping

The product is shipped with polar packs. Upon receipt, store it immediately at the temperature recommended below.

Stability & Storage

Store at 4C.

Background: HspA1B

HSPA1B encodes a 70kDa heat shock protein which is a member of the heat shock protein 70 family. In conjuction with other heat shock proteins, this protein stabilizes existing proteins against aggregation and mediates the folding of newly translated proteins in the cytosol and in organelles. It is also involved in the ubiquitin-proteasome pathway through interaction with the AU-rich element RNA-binding protein 1. The gene is located in the major histocompatibility complex class III region, in a cluster with two closely related genes which encode similar proteins.

Alternate Names

FLJ54328, Heat shock 70 kDa protein 1/2, heat shock 70 kDa protein 1A/1B, heat shock 70kD protein 1B, heat shock 70kDa protein 1B, HSP70.1/HSP70.2, HSP70-1/HSP70-2, HSP70-1B, HSP70-2, HSPA1, HSPA1A

Gene Symbol

HSPA1B

Additional HspA1B Products

Product Documents for HspA1B Antibody (HSPA1B/7626)

Certificate of Analysis

To download a Certificate of Analysis, please enter a lot number in the search box below.

Product Specific Notices for HspA1B Antibody (HSPA1B/7626)

This product is for research use only and is not approved for use in humans or in clinical diagnosis. Primary Antibodies are guaranteed for 1 year from date of receipt.

Loading...
Loading...
Loading...
Loading...