Skip to main content

HSP90 alpha Antibody (Hyb-K41009) - BSA Free

Novus Biologicals, part of Bio-Techne | Catalog # NB110-61641

Novus Biologicals, part of Bio-Techne

Key Product Details

Species Reactivity

Human, Mouse, Rat

Applications

Immunohistochemistry, Immunohistochemistry-Paraffin, Western Blot, ELISA

Label

Unconjugated

Antibody Source

Monoclonal Mouse IgG2A Clone # Hyb-K41009

Format

BSA Free

Concentration

1.0 mg/ml

Product Specifications

Immunogen

Recombinant human HSP90alpha; Specificity mapped to amino acids 604-731

Reactivity Notes

Human

Localization

Cytoplasm , Melanosome

Specificity

Detects 90kD proteins corresponding to the molecular mass of hsp90alpha.

Clonality

Monoclonal

Host

Mouse

Isotype

IgG2A

Description

Novus Biologicals Mouse HSP90 alpha Antibody (Hyb-K41009) - BSA Free (NB110-61641) is a monoclonal antibody validated for use in IHC, WB and ELISA. All Novus Biologicals antibodies are covered by our 100% guarantee.

Scientific Data Images for HSP90 alpha Antibody (Hyb-K41009) - BSA Free

Western Blot: HSP90 alpha Antibody (Hyb-K41009) [NB110-61641]

Western Blot: HSP90 alpha Antibody (Hyb-K41009) [NB110-61641]

Western Blot: HSP90 alpha Antibody (Hyb-K41009) [NB110-61641] - analysis of Rat Lysates showing detection of Hsp90 alpha protein using Mouse Anti-Hsp90 alpha Monoclonal Antibody, Clone K41009 . Load: 15 ug protein. Block: 1.5% BSA for 30 minutes at RT. Primary Antibody: Mouse Anti-Hsp90 alpha Monoclonal Antibody at 1:1000 for 2 hours at RT. Secondary Antibody: Sheep Anti-Mouse IgG: HRP for 1 hour at RT.
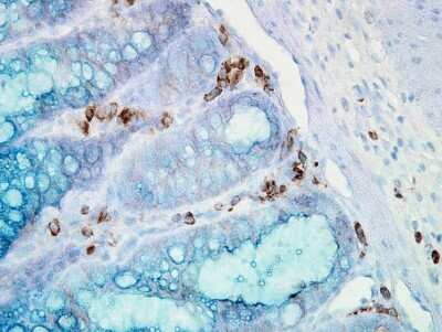
Immunohistochemistry: HSP90 alpha Antibody (Hyb-K41009) [NB110-61641]

Immunohistochemistry: HSP90 alpha Antibody (Hyb-K41009) [NB110-61641]

Immunohistochemistry: HSP90 alpha Antibody (Hyb-K41009) [NB110-61641] - Immunohistochemistry analysis using Mouse Anti-Hsp90 alpha Monoclonal Antibody, Clone K41009 (NB110-61641). Tissue: colon carcinoma. Species: Human. Fixation: Formalin. Primary Antibody: Mouse Anti-Hsp90 alpha Monoclonal Antibody (NB110-61641) at 1:5000 for 12 hours at 4C. Secondary Antibody: Biotin Goat Anti-Mouse at 1:2000 for 1 hour at RT. Counterstain: Mayer Hematoxylin (purple/blue) nuclear stain at 200 l for 2 minutes at RT. Localization: Inflammatory cells. Magnification: 40x. This image was produced using an amplifying IHC wash buffer. The antibody has therefore been diluted more than is recommended for other applications..
Immunohistochemistry: HSP90 alpha Antibody (Hyb-K41009) [NB110-61641]

Immunohistochemistry: HSP90 alpha Antibody (Hyb-K41009) [NB110-61641]

Immunohistochemistry: HSP90 alpha Antibody (Hyb-K41009) [NB110-61641] - Immunohistochemistry analysis using Mouse Anti-Hsp90 alpha Monoclonal Antibody, Clone K41009 (NB110-61641). Tissue: inflamed colon. Species: Mouse. Fixation: Formalin. Primary Antibody: Mouse Anti-Hsp90 alpha Monoclonal Antibody (NB110-61641) at 1:5000 for 12 hours at 4C. Secondary Antibody: Biotin Goat Anti-Mouse at 1:2000 for 1 hour at RT. Counterstain: Mayer Hematoxylin (purple/blue) nuclear stain at 200 l for 2 minutes at RT. Localization: Inflammatory cells. Magnification: 40x. Inflammatory cells. This image was produced using an amplifying IHC wash buffer. The antibody has therefore been diluted more than is recommended for other applications..

Applications for HSP90 alpha Antibody (Hyb-K41009) - BSA Free

Application
Recommended Usage

Immunohistochemistry

1:5000

Immunohistochemistry-Paraffin

1:10-1:500

Western Blot

1:1000

Formulation, Preparation, and Storage

Purification

Protein G purified

Formulation

PBS (pH 7.2), 50% Glycerol

Format

BSA Free

Preservative

0.09% Sodium Azide

Concentration

1.0 mg/ml

Shipping

The product is shipped with polar packs. Upon receipt, store it immediately at the temperature recommended below.

Stability & Storage

Store at -20C. Avoid freeze-thaw cycles.

Background: HSP90 alpha

1 ug/mL was sufficient for detection of Hsp90alpha in 20ug of heat shocked HeLa cell lysate by colorimetric immunoblot analysis using Goat anti-mouse IgG: HRP as the secondary antibody.

Long Name

Heat Shock Protein 90 alpha

Alternate Names

HSP86, HSP89A, HSP90A, HSP90AA1, HSP90N, HSPC1, HSPCA, HSPCAL1, HSPCAL4, HSPN, LAP2

Entrez Gene IDs

3320 (Human); 299331 (Rat)

Gene Symbol

HSP90AA1

UniProt

Additional HSP90 alpha Products

Product Documents for HSP90 alpha Antibody (Hyb-K41009) - BSA Free

Certificate of Analysis

To download a Certificate of Analysis, please enter a lot number in the search box below.

Product Specific Notices for HSP90 alpha Antibody (Hyb-K41009) - BSA Free

This product is for research use only and is not approved for use in humans or in clinical diagnosis. Primary Antibodies are guaranteed for 1 year from date of receipt.

Loading...
Loading...
Loading...
Loading...