Skip to main content

HSP90 alpha Antibody (5G5) - BSA Free

Novus Biologicals, part of Bio-Techne | Catalog # NBP2-22208

Novus Biologicals, part of Bio-Techne
Catalog #
Availability
Size / Price
Qty
Loading...
NBP2-22208-0.025ml
NBP2-22208

Key Product Details

Species Reactivity

Human, Mouse, Monkey

Applications

Immunohistochemistry, Immunohistochemistry-Paraffin, Western Blot, ELISA, Flow Cytometry, CyTOF-ready

Label

Unconjugated

Antibody Source

Monoclonal Mouse IgG1 Clone # 5G5

Format

BSA Free

Concentration

1 mg/ml

Product Specifications

Immunogen

Purified recombinant fragment of human HSP90 alpha expressed in E. Coli.

Reactivity Notes

Please note that this antibody is reactive to Mouse and derived from the same host, Mouse. Additional Mouse on Mouse blocking steps may be required for IHC and ICC experiments. Please contact Technical Support for more information.

Localization

Nucleus, Cytoplasm

Clonality

Monoclonal

Host

Mouse

Isotype

IgG1

Theoretical MW

90 kDa.
Disclaimer note: The observed molecular weight of the protein may vary from the listed predicted molecular weight due to post translational modifications, post translation cleavages, relative charges, and other experimental factors.

Description

Novus Biologicals Mouse HSP90 alpha Antibody (5G5) - BSA Free (NBP2-22208) is a monoclonal antibody validated for use in IHC, WB, ELISA and Flow. All Novus Biologicals antibodies are covered by our 100% guarantee.

Scientific Data Images for HSP90 alpha Antibody (5G5) - BSA Free

Western Blot: HSP90 alpha Antibody (5G5)BSA Free [NBP2-22208]

Western Blot: HSP90 alpha Antibody (5G5)BSA Free [NBP2-22208]

Western Blot: HSP90 alpha Antibody (5G5) [NBP2-22208] - Western blot analysis using Hsp90A mouse mAb against NIH3T3 (1), HeLa (2), HCT116(3), HL-60 (4) and C0S7 (5) cell lysate.
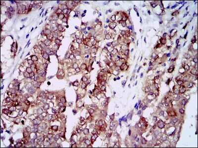
Immunohistochemistry-Paraffin: HSP90 alpha Antibody (5G5) - BSA Free [NBP2-22208]

Immunohistochemistry-Paraffin: HSP90 alpha Antibody (5G5) - BSA Free [NBP2-22208]

Immunohistochemistry-Paraffin: HSP90 alpha Antibody (5G5) [NBP2-22208] - Immunohistochemical analysis of paraffin-embedded lung cancer tissues using Hsp90A mouse mAb with DAB staining.
Flow Cytometry: HSP90 alpha Antibody (5G5) - BSA Free [NBP2-22208]

Flow Cytometry: HSP90 alpha Antibody (5G5) - BSA Free [NBP2-22208]

Flow Cytometry: HSP90 alpha Antibody (5G5) [NBP2-22208] - Flow cytometric analysis of HeLa cells using Hsp90A mouse mAb (green) and negative control (red).

Applications for HSP90 alpha Antibody (5G5) - BSA Free

Application
Recommended Usage

ELISA

1:10000

Flow Cytometry

1:200-1:400

Immunohistochemistry

1:10-1:500

Immunohistochemistry-Paraffin

1:200-1:1000

Western Blot

1:500-1:2000
Application Notes
This antibody is Cytof ready.

Formulation, Preparation, and Storage

Purification

Protein G purified

Formulation

PBS

Format

BSA Free

Preservative

0.05% Sodium Azide

Concentration

1 mg/ml

Shipping

The product is shipped with polar packs. Upon receipt, store it immediately at the temperature recommended below.

Stability & Storage

Store at 4C short term. Aliquot and store at -20C long term. Avoid freeze-thaw cycles.

Background: HSP90 alpha

HSP90 proteins are highly conserved molecular chaperones that have key roles in signal transduction, protein folding, protein degradation, and morphologic evolution. HSP90 proteins normally associate with other cochaperones and play important roles in folding newly synthesized proteins or stabilizing and refolding denatured proteins after stress. There are 2 major cytosolic HSP90 proteins, HSP90AA1, an inducible form, and HSP90AB1 (MIM 140572), a constitutive form. Other HSP90 proteins are found in endoplasmic reticulum (HSP90B1; MIM 191175) and mitochondria (TRAP1; MIM 606219) (Chen et al., 2005 [PubMed 16269234]).

Long Name

Heat Shock Protein 90 alpha

Alternate Names

HSP86, HSP89A, HSP90A, HSP90AA1, HSP90N, HSPC1, HSPCA, HSPCAL1, HSPCAL4, HSPN, LAP2

Gene Symbol

HSP90AA1

Additional HSP90 alpha Products

Product Documents for HSP90 alpha Antibody (5G5) - BSA Free

Certificate of Analysis

To download a Certificate of Analysis, please enter a lot number in the search box below.

Product Specific Notices for HSP90 alpha Antibody (5G5) - BSA Free

This product is for research use only and is not approved for use in humans or in clinical diagnosis. Primary Antibodies are guaranteed for 1 year from date of receipt.

Loading...
Loading...
Loading...
Loading...
Loading...