Skip to main content

HSP60 Antibody (HSPD1/2206R) - Azide and BSA Free

Novus Biologicals, part of Bio-Techne | Catalog # NBP3-49668

Recombinant Monoclonal Antibody
Novus Biologicals, part of Bio-Techne

Key Product Details

Species Reactivity

Human, Mouse, Rat, Porcine, Bovine, Canine, Chicken, Hamster, Monkey, Rabbit, Sheep

Applications

Immunohistochemistry, Western Blot

Label

Unconjugated

Antibody Source

Recombinant Monoclonal Rabbit IgG Kappa Clone # HSPD1/2206R

Format

Azide and BSA Free

Concentration

Please see the vial label for concentration. If unlisted please contact technical services.

Product Specifications

Immunogen

Recombinant human full-length HSP60 protein (Uniprot: P10809)

Localization

Mitochondrion matrix

Clonality

Monoclonal

Host

Rabbit

Isotype

IgG Kappa

Theoretical MW

60 kDa.
Disclaimer note: The observed molecular weight of the protein may vary from the listed predicted molecular weight due to post translational modifications, post translation cleavages, relative charges, and other experimental factors.

Description

Prepared in 10mM PBS WITHOUT BSA & azide at 1.0mg/ml. Also available with 0.05% BSA & 0.05% azide.

Antibody with azide - store at 2 to 8 C. Antibody without azide - store at -20 to -80 C. Antibody is stable for 24 months. Non-hazardous.

Scientific Data Images for HSP60 Antibody (HSPD1/2206R) - Azide and BSA Free

HSP60 Antibody (HSPD1/2206R) - Azide and BSA Free

Immunohistochemistry-Paraffin: HSP60 Antibody (HSPD1/2206R) - Azide and BSA Free [NBP3-49668] -

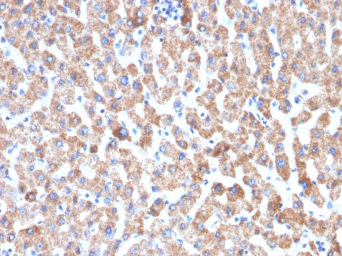
Formalin-fixed, paraffin-embedded human liver stained with HSP60 Antibody (HSPD1/2206R) - Azide and BSA Free.
HSP60 Antibody (HSPD1/2206R) - Azide and BSA Free

Immunohistochemistry-Paraffin: HSP60 Antibody (HSPD1/2206R) - Azide and BSA Free [NBP3-49668] -

Formalin-fixed, paraffin-embedded human liver stained with HSP60 Antibody (HSPD1/2206R) - Azide and BSA Free.
HSP60 Antibody (HSPD1/2206R) - Azide and BSA Free

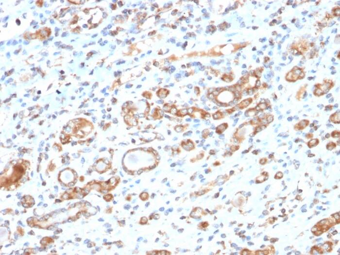
Immunohistochemistry-Paraffin: HSP60 Antibody (HSPD1/2206R) - Azide and BSA Free [NBP3-49668] -

Formalin-fixed, paraffin-embedded dog pancreas stained with HSP60 Antibody (HSPD1/2206R) - Azide and BSA Free.

Applications for HSP60 Antibody (HSPD1/2206R) - Azide and BSA Free

Application
Recommended Usage

Immunohistochemistry

Optimal dilutions of this antibody should be experimentally determined.

Western Blot

Optimal dilutions of this antibody should be experimentally determined.

Formulation, Preparation, and Storage

Purification

Protein A or G purified

Formulation

10 mM PBS

Format

Azide and BSA Free

Preservative

No Preservative

Concentration

Please see the vial label for concentration. If unlisted please contact technical services.

Shipping

The product is shipped with polar packs. Upon receipt, store it immediately at the temperature recommended below.

Stability & Storage

Store at -20 to -80C. Avoid freeze-thaw cycles.

Background: HSP60

Hsp60 is a member of a highly conserved family which includes molecular chaperones from several species such as plant Hsp60 (known as Rubisco binding protein), GroEL, the E.coli Hsp60 and 65 kDa major antigen of mycobacteria. In eukaryotes, Hsp60 is localized in the mitochondrial matrix and in plants Hsp60 is localized in the chloroplast. Mitochondria, chloroplasts and bacteria have a common ancestry (>1 billion years) and this fact together with the high degree of homology between the divergent Hsp60s would indicate that these proteins carry out a primitive but important function which is similar to all of these different species. The common characteristics of the Hsp60s from the divergent species are i) high abundance, ii) induction with environmental stress such as heat shock, iii) homo oligomeric structures of either 7 or 14 subunits which reversibly dissociate in the presence of magnesium ions and ATP, iv) ATPase activity and v) a role in folding and assembly of oligomeric protein structures. These similarities are supported by recent studies where the single ring human mitochondrial homolog, Hsp60 with its co chaperonin, Hsp10 were expressed in a E. coli strain, engineered so that the groE operon is under strict regulatory control. This study has demonstrated that expression of Hsp60-Hsp10 was able to carry out all essential in vivo functions of GroEL and its co chaperonin, GroES. Consistent with their functions as chaperones, Hsp60 and Hsp10 have been suggested to act as docking molecules with a passive role in the maturation of caspase processing. Data demonstrates that recombinant Hsp60 and Hsp10 have been shown to accelerate the activation of procaspase 3 by cytochrome c and dATP in an ATP dependent manner. Hsps are intracellular proteins which are thought to serve protective functions against infection and cellular stress, however several recent studies indicate that members of the Hsp60 family are linked to a number of autoimmune diseases, arthrosclerosis and chlamydial disease.

Long Name

Heat Shock Protein 60

Alternate Names

cpn60, GROEL, HSPD1, SPG13

Gene Symbol

HSPD1

Additional HSP60 Products

Product Documents for HSP60 Antibody (HSPD1/2206R) - Azide and BSA Free

Certificate of Analysis

To download a Certificate of Analysis, please enter a lot number in the search box below.

Product Specific Notices for HSP60 Antibody (HSPD1/2206R) - Azide and BSA Free

This product is for research use only and is not approved for use in humans or in clinical diagnosis. Primary Antibodies are guaranteed for 1 year from date of receipt.

Loading...
Loading...
Loading...
Loading...