Skip to main content

HSP20/HSPB6 Antibody - BSA Free

Novus Biologicals, part of Bio-Techne | Catalog # NBP2-38739

Novus Biologicals, part of Bio-Techne
Catalog #
Availability
Size / Price
Qty
Loading...
NBP2-38739
NBP2-38739-25ul

Key Product Details

Validated by

Orthogonal Validation

Species Reactivity

Validated:

Human

Predicted:

Mouse (97%), Rat (90%). Backed by our 100% Guarantee.

Applications

Immunohistochemistry, Immunohistochemistry-Paraffin, Western Blot

Label

Unconjugated

Antibody Source

Polyclonal Rabbit IgG

Format

BSA Free

Concentration

Concentrations vary lot to lot. See vial label for concentration. If unlisted please contact technical services.

Product Specifications

Immunogen

This antibody was developed against a recombinant protein corresponding to amino acids: MEIPVPVQPSWLRRASAPLPGLSAPGRLFD

Clonality

Polyclonal

Host

Rabbit

Isotype

IgG

Description

Novus Biologicals Rabbit HSP20/HSPB6 Antibody - BSA Free (NBP2-38739) is a polyclonal antibody validated for use in IHC and WB. All Novus Biologicals antibodies are covered by our 100% guarantee.

Scientific Data Images for HSP20/HSPB6 Antibody - BSA Free

Western Blot: HSP20/HSPB6 Antibody [NBP2-38739]

Western Blot: HSP20/HSPB6 Antibody [NBP2-38739]

Western Blot: HSP20/HSPB6 Antibody [NBP2-38739] - Lane 1: Marker [kDa] 250, 130, 100, 70, 55, 35, 25, 15, 10
Lane 2: Human Skeletal muscle tissue
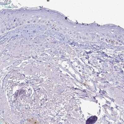
Immunohistochemistry-Paraffin: HSP20/HSPB6 Antibody [NBP2-38739]

Immunohistochemistry-Paraffin: HSP20/HSPB6 Antibody [NBP2-38739]

Immunohistochemistry-Paraffin: HSP20/HSPB6 Antibody [NBP2-38739] - Staining of human skin shows low expression as expected.
Immunohistochemistry: HSP20/HSPB6 Antibody [NBP2-38739]

Immunohistochemistry: HSP20/HSPB6 Antibody [NBP2-38739]

Immunohistochemistry: HSP20/HSPB6 Antibody [NBP2-38739] - Staining of human skeletal muscle shows cytoplasmic positivity in myocytes.

Applications for HSP20/HSPB6 Antibody - BSA Free

Application
Recommended Usage

Immunohistochemistry

1:500 - 1:1000

Immunohistochemistry-Paraffin

1:500 - 1:1000

Western Blot

0.04-0.4 ug/ml
Application Notes
For IHC-Paraffin, HIER pH 6 retrieval is recommended.

Formulation, Preparation, and Storage

Purification

Immunogen affinity purified

Formulation

PBS (pH 7.2) and 40% Glycerol

Format

BSA Free

Preservative

0.02% Sodium Azide

Concentration

Concentrations vary lot to lot. See vial label for concentration. If unlisted please contact technical services.

Shipping

The product is shipped with polar packs. Upon receipt, store it immediately at the temperature recommended below.

Stability & Storage

Store at 4C short term. Aliquot and store at -20C long term. Avoid freeze-thaw cycles.

Background: HSP20/HSPB6

Hsp20 is a small heat shock protein related to Hsp25, Hsp27 and may form different hetercomplexes with these proteins. The specific physiological function of Hsp20 is not yet known. It is distributed ubiquitously in tissues, but is found in higher levels in skeletal, smooth and heart muscle. Under normal conditions, Hsp20 is diffusely distributed in the cytosol, but under heat stress conditions, it translocates to the nucleus. Unlike other heat shock proteins the amount of Hsp20 does not increase after heat shock. The Hsp20 was demonstrated to constitute up to 1.3% of the total cellular protein in vertebrate tissues, especially in muscle, and its expression is related to muscle contraction, specifically in slow-twitch muscle. Hsp20 may form different heterocomplexes with other Hsp's, such as alpha-crystalline and Hsp25. Phosphorylated form of Hsp20 is proposed to interact with monomeric actin whereas dephosphorylated form binds polymeric actin filaments. In normal conditions Hsp20 is diffusely disturbed in cytosol but under the heat stress it undergoes translocation to membrane fraction.

Long Name

Heat Shock Protein 20

Alternate Names

HSPB6

Gene Symbol

HSPB6

UniProt

Additional HSP20/HSPB6 Products

Product Documents for HSP20/HSPB6 Antibody - BSA Free

Certificate of Analysis

To download a Certificate of Analysis, please enter a lot number in the search box below.

Product Specific Notices for HSP20/HSPB6 Antibody - BSA Free

This product is for research use only and is not approved for use in humans or in clinical diagnosis. Primary Antibodies are guaranteed for 1 year from date of receipt.

Loading...
Loading...
Loading...
Loading...