Skip to main content

HSP20/HSPB6 Antibody (3J5N1)

Novus Biologicals, part of Bio-Techne | Catalog # NBP3-16751

Recombinant Monoclonal Antibody
Novus Biologicals, part of Bio-Techne
Catalog #
Availability
Size / Price
Qty
Loading...
NBP3-16751-100ul
NBP3-16751-20ul

Key Product Details

Species Reactivity

Human, Mouse, Rat

Applications

Immunocytochemistry/ Immunofluorescence, Immunohistochemistry, Immunohistochemistry-Paraffin, Western Blot

Label

Unconjugated

Antibody Source

Recombinant Monoclonal Rabbit IgG Clone # 3J5N1 expressed in HEK293

Concentration

Please see the vial label for concentration. If unlisted please contact technical services.

Product Specifications

Immunogen

A synthetic peptide corresponding to a sequence within amino acids 70-150 of human HSP20/HSPB6 (O14558). DPGHFSVLLDVKHFSPEEIAVKVVGEHVEVHARHEERPDEHGFVAREFHRRYRLPPGVDPAAVTSALSPEGVLSIQAAPAS

Clonality

Monoclonal

Host

Rabbit

Isotype

IgG

Description

Novus Biologicals Rabbit HSP20/HSPB6 Antibody (3J5N1) (NBP3-16751) is a recombinant monoclonal antibody validated for use in IHC, WB and ICC/IF. All Novus Biologicals antibodies are covered by our 100% guarantee.

Scientific Data Images for HSP20/HSPB6 Antibody (3J5N1)

Western Blot: HSP20/HSPB6 Antibody (3J5N1) [NBP3-16751]

Western Blot: HSP20/HSPB6 Antibody (3J5N1) [NBP3-16751]

Western Blot: HSP20/HSPB6 Antibody (3J5N1) [NBP3-16751] - Western blot analysis of extracts of various cell lines, using HSP20/HSPB6 Rabbit mAb (NBP3-16751) at 1:1000 dilution. Secondary antibody: HRP Goat Anti-Rabbit IgG (H+L) at 1:10000 dilution. Lysates/proteins: 25ug per lane. Blocking buffer: 3% nonfat dry milk in TBST. Detection: ECL Basic Kit. Exposure time: 1s.
HSP20/HSPB6 Antibody (3J5N1)

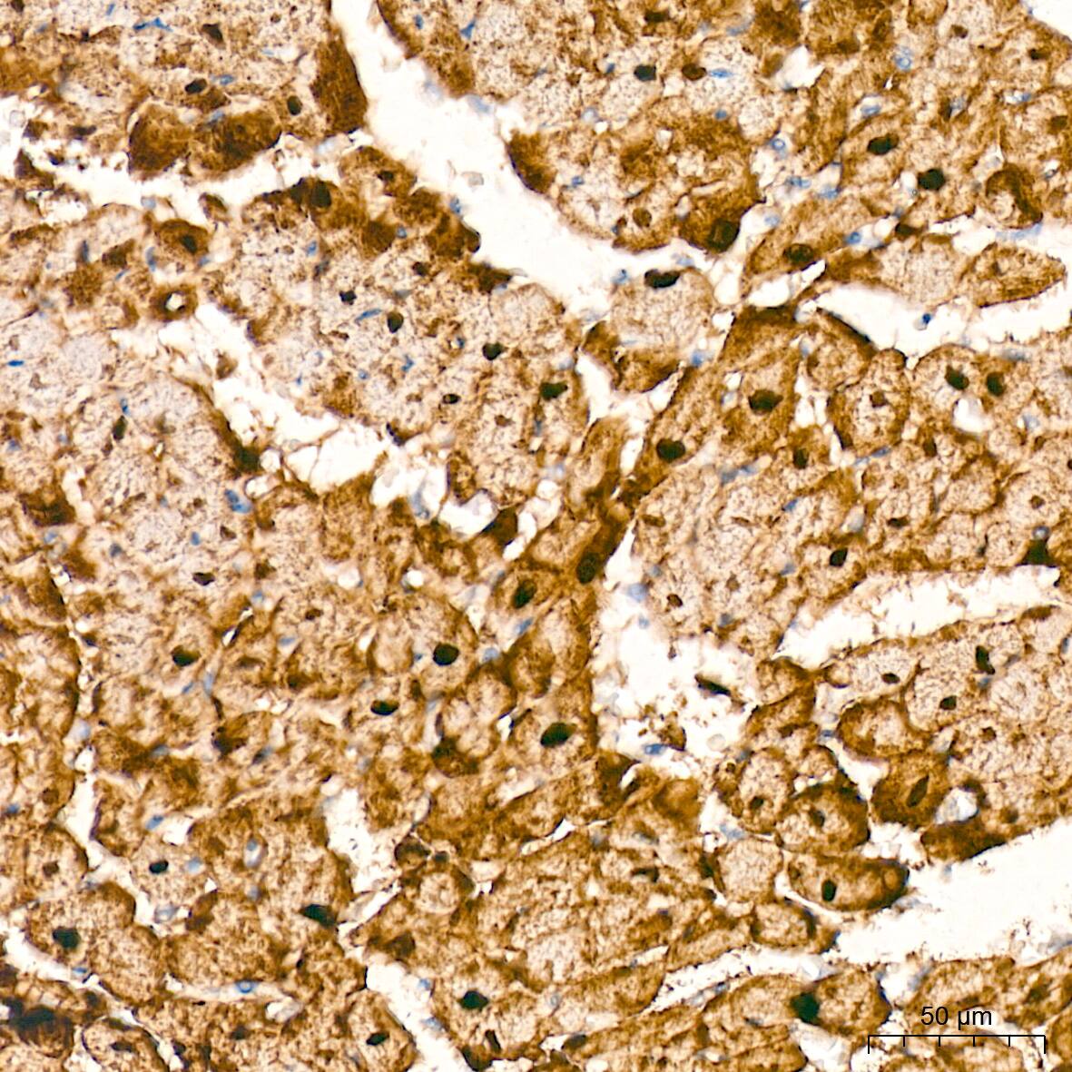
Immunohistochemistry: HSP20/HSPB6 Antibody (3J5N1) [NBP3-16751] -

Immunohistochemistry: HSP20/HSPB6 Antibody (3J5N1) [NBP3-16751] - Immunohistochemistry analysis of HSP20/HSPB6 in paraffin-embedded human colon carcinoma tissue using HSP20/HSPB6 Rabbit mAb at a dilution of 1:200 (40x lens). High pressure antigen retrieval was performed with 0.01 M Tris-EDTA buffer (pH 9.0) prior to IHC staining.
HSP20/HSPB6 Antibody (3J5N1)

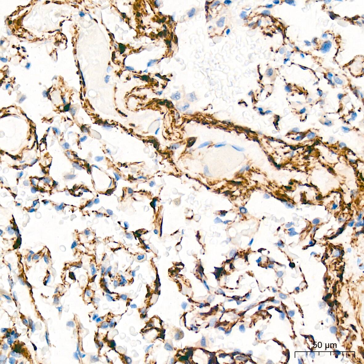
Immunohistochemistry: HSP20/HSPB6 Antibody (3J5N1) [NBP3-16751] -

Immunohistochemistry: HSP20/HSPB6 Antibody (3J5N1) [NBP3-16751] - Immunohistochemistry analysis of HSP20/HSPB6 in paraffin-embedded rat heart tissue using HSP20/HSPB6 Rabbit mAb at a dilution of 1:200 (40x lens). High pressure antigen retrieval was performed with 0.01 M Tris-EDTA buffer (pH 9.0) prior to IHC staining.

Applications for HSP20/HSPB6 Antibody (3J5N1)

Application
Recommended Usage

Immunocytochemistry/ Immunofluorescence

1:50 - 1:200

Immunohistochemistry

1:50 - 1:200

Western Blot

1:500 - 1:1000

Formulation, Preparation, and Storage

Purification

Affinity purified

Formulation

PBS (pH 7.3), 50% glycerol, 0.05% BSA

Preservative

0.02% Sodium Azide

Concentration

Please see the vial label for concentration. If unlisted please contact technical services.

Shipping

The product is shipped with polar packs. Upon receipt, store it immediately at the temperature recommended below.

Stability & Storage

Store at -20C. Avoid freeze-thaw cycles.

Background: HSP20/HSPB6

Hsp20 is a small heat shock protein related to Hsp25, Hsp27 and may form different hetercomplexes with these proteins. The specific physiological function of Hsp20 is not yet known. It is distributed ubiquitously in tissues, but is found in higher levels in skeletal, smooth and heart muscle. Under normal conditions, Hsp20 is diffusely distributed in the cytosol, but under heat stress conditions, it translocates to the nucleus. Unlike other heat shock proteins the amount of Hsp20 does not increase after heat shock. The Hsp20 was demonstrated to constitute up to 1.3% of the total cellular protein in vertebrate tissues, especially in muscle, and its expression is related to muscle contraction, specifically in slow-twitch muscle. Hsp20 may form different heterocomplexes with other Hsp's, such as alpha-crystalline and Hsp25. Phosphorylated form of Hsp20 is proposed to interact with monomeric actin whereas dephosphorylated form binds polymeric actin filaments. In normal conditions Hsp20 is diffusely disturbed in cytosol but under the heat stress it undergoes translocation to membrane fraction.

Long Name

Heat Shock Protein 20

Alternate Names

HSPB6

Gene Symbol

HSPB6

Additional HSP20/HSPB6 Products

Product Documents for HSP20/HSPB6 Antibody (3J5N1)

Certificate of Analysis

To download a Certificate of Analysis, please enter a lot number in the search box below.

Product Specific Notices for HSP20/HSPB6 Antibody (3J5N1)

This product is for research use only and is not approved for use in humans or in clinical diagnosis. Primary Antibodies are guaranteed for 1 year from date of receipt.

Loading...
Loading...
Loading...
Loading...