HSD17B13 Antibody (HSD17B13/13110)
Novus Biologicals, part of Bio-Techne | Catalog # NBP3-44606
Key Product Details
Species Reactivity
Human
Applications
Immunohistochemistry
Label
Unconjugated
Antibody Source
Monoclonal Mouse IgG1 kappa Clone # HSD17B13/13110
Concentration
0.2 mg/ml
Product Specifications
Immunogen
Recombinant fragment (around aa1-200) of human HSD17B13 protein (Uniprot: Q7Z5P4). Exact sequence is proprietary.
Clonality
Monoclonal
Host
Mouse
Isotype
IgG1 kappa
Theoretical MW
30 kDa.
Disclaimer note: The observed molecular weight of the protein may vary from the listed predicted molecular weight due to post translational modifications, post translation cleavages, relative charges, and other experimental factors.
Disclaimer note: The observed molecular weight of the protein may vary from the listed predicted molecular weight due to post translational modifications, post translation cleavages, relative charges, and other experimental factors.
Description
200ug/ml of antibody purified from Bioreactor Concentrate by Protein A/G. Prepared in 10 mM PBS with 0.05% BSA & 0.05% azide. Also available WITHOUT BSA & azide at 1.0 mg/ml.
Antibody with azide - store at 2 to 8C. Antibody without azide - store at -20 to -80C. Non-hazardous. No MSDS required.
Antibody with azide - store at 2 to 8C. Antibody without azide - store at -20 to -80C. Non-hazardous. No MSDS required.
Scientific Data Images for HSD17B13 Antibody (HSD17B13/13110)
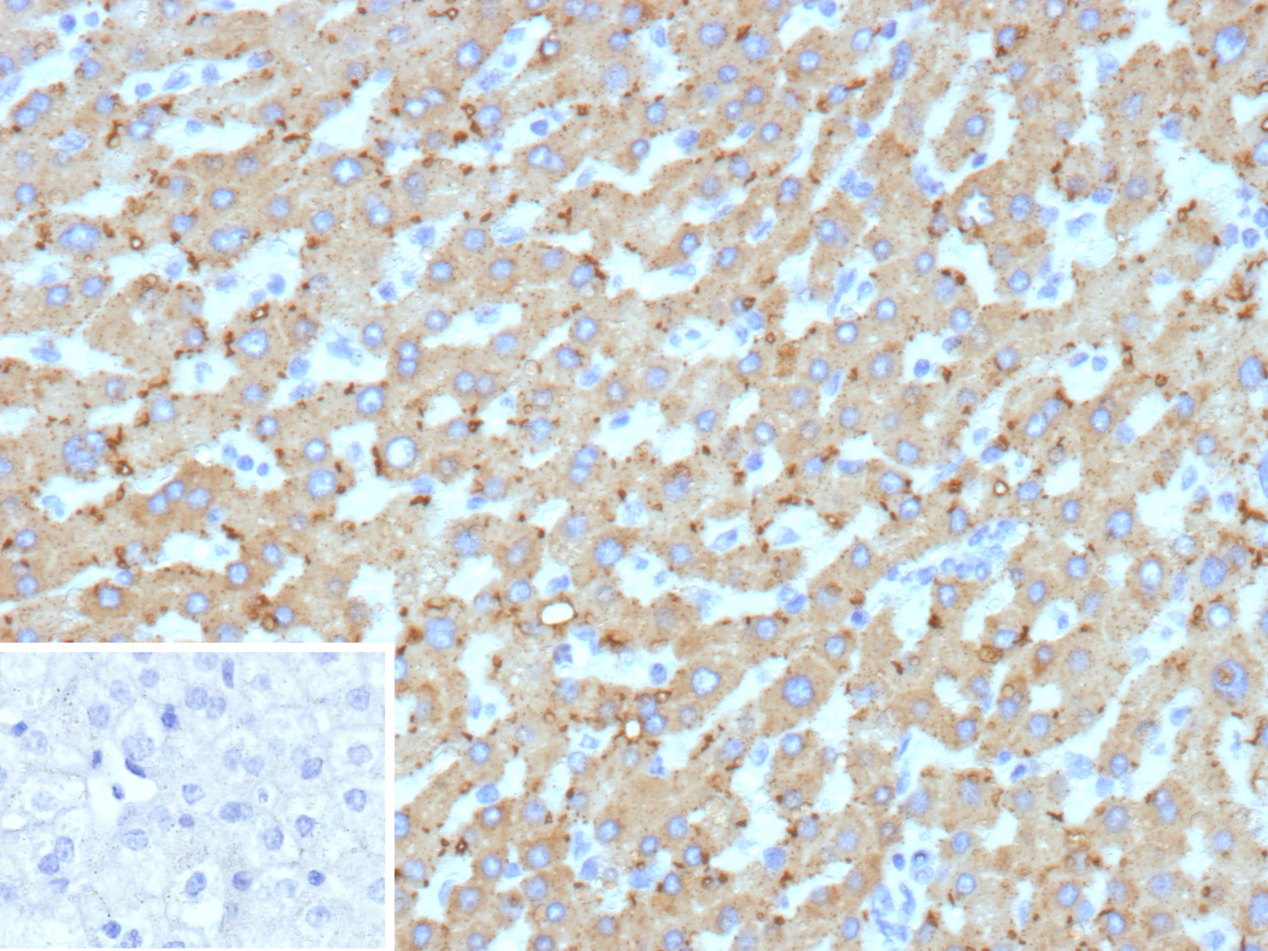
Immunohistochemistry-Paraffin: HSD17B13 Antibody (HSD17B13/13110) [NBP3-44606] -
Formalin-fixed, paraffin-embedded human hepatocellular carcinoma stained with HSD17B13 Antibody (HSD17B13/13110). Inset: PBS instead of primary antibody; secondary only negative control.Applications for HSD17B13 Antibody (HSD17B13/13110)
Application
Recommended Usage
Immunohistochemistry
1-2ug/ml
Application Notes
Immunohistochemistry: 30 min at RT. Staining of formalin-fixed tissues requires heating tissue sections in 10mM Tris with 1mM EDTA, pH 9.0, for 45 min at 95C followed by cooling at RT for 20 minutes.
Formulation, Preparation, and Storage
Purification
Protein G purified
Formulation
10 mM PBS with 0.05% BSA
Preservative
0.05% Sodium Azide
Concentration
0.2 mg/ml
Shipping
The product is shipped with polar packs. Upon receipt, store it immediately at the temperature recommended below.
Stability & Storage
Store at 4C.
Background: HSD17B13
Alternate Names
HMFN0376, hydroxysteroid (17-beta) dehydrogenase 13, member 3,17-beta-hydroxysteroid dehydrogenase 13, MGC138508,17-beta-HSD 13, NIIL497, SCDR9, short-chain dehydrogenase/reductase 9, UNQ497/PRO1014
Gene Symbol
HSD17B13
Additional HSD17B13 Products
Product Documents for HSD17B13 Antibody (HSD17B13/13110)
Product Specific Notices for HSD17B13 Antibody (HSD17B13/13110)
This product is for research use only and is not approved for use in humans or in clinical diagnosis. Primary Antibodies are guaranteed for 1 year from date of receipt.
Loading...
Loading...
Loading...
Loading...