HRAS Antibody - BSA Free
Novus Biologicals, part of Bio-Techne | Catalog # NBP3-04117
Key Product Details
Species Reactivity
Human, Mouse, Rat
Applications
Immunohistochemistry, Immunohistochemistry-Paraffin, Western Blot
Label
Unconjugated
Antibody Source
Polyclonal Rabbit IgG
Format
BSA Free
Concentration
Please see the vial label for concentration. If unlisted please contact technical services.
Product Specifications
Immunogen
A synthetic peptide corresponding to a sequence within amino acids 1-100 of human HRAS (NP_203524.1). MTEYKLVVVGAGGVGKSALTIQLIQNHFVDEYDPTIEDSYRKQVVIDGETCLLDILDTAGQEEYSAMRDQYMRTGEGFLCVFAINNTKSFEDIHHYREQI
Clonality
Polyclonal
Host
Rabbit
Isotype
IgG
Description
Novus Biologicals Rabbit HRAS Antibody - BSA Free (NBP3-04117) is a polyclonal antibody validated for use in IHC and WB. All Novus Biologicals antibodies are covered by our 100% guarantee.
Scientific Data Images for HRAS Antibody - BSA Free
Western Blot: HRAS AntibodyBSA Free [NBP3-04117]
Western Blot: HRAS Antibody [NBP3-04117] - Analysis of extracts of various cell lines, using HRAS antibody at 1:1000 dilution. Secondary antibody: HRP Goat Anti-Rabbit IgG (H+L) at 1:10000 dilution. Lysates/proteins: 25ug per lane. Blocking buffer: 3% nonfat dry milk in TBST. Detection: ECL Enhanced Kit.Immunohistochemistry-Paraffin: HRAS Antibody - BSA Free [NBP3-04117]
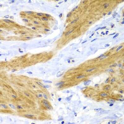
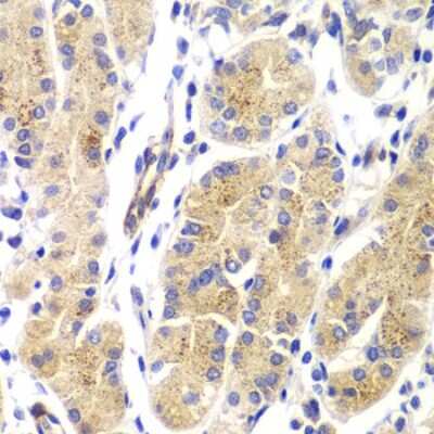
Immunohistochemistry-Paraffin: HRAS Antibody [NBP3-04117] - Paraffin-embedded human gastric cancer using HRAS antibody at dilution of 1:100 (40x lens).Immunohistochemistry-Paraffin: HRAS Antibody - BSA Free [NBP3-04117]
Immunohistochemistry-Paraffin: HRAS Antibody [NBP3-04117] - Paraffin-embedded human gastric using HRAS antibody at dilution of 1:100 (40x lens).Applications for HRAS Antibody - BSA Free
Application
Recommended Usage
Immunohistochemistry
1:50-1:200
Western Blot
1:500-1:2000
Formulation, Preparation, and Storage
Purification
Affinity purified
Formulation
PBS (pH 7.3), 50% glycerol
Format
BSA Free
Preservative
0.02% Sodium Azide
Concentration
Please see the vial label for concentration. If unlisted please contact technical services.
Shipping
The product is shipped with polar packs. Upon receipt, store it immediately at the temperature recommended below.
Stability & Storage
Store at -20C. Avoid freeze-thaw cycles.
Background: HRAS
Alternate Names
C-BAS/HAS;C-HA-RAS1;C-H-RAS;CTLO;GTPase HRas;HAMSV;HRAS1;H-RASIDX;p21ras;RASH1
Gene Symbol
HRAS
Additional HRAS Products
Product Documents for HRAS Antibody - BSA Free
Product Specific Notices for HRAS Antibody - BSA Free
This product is for research use only and is not approved for use in humans or in clinical diagnosis. Primary Antibodies are guaranteed for 1 year from date of receipt.
Loading...
Loading...
Loading...
Loading...