Skip to main content

HRAS Antibody (JE42-15)

Novus Biologicals, part of Bio-Techne | Catalog # NBP3-32413

Recombinant Monoclonal Antibody
Novus Biologicals, part of Bio-Techne
Catalog #
Availability
Size / Price
Qty
Loading...
NBP3-32413

Key Product Details

Species Reactivity

Human, Mouse, Rat

Applications

Immunohistochemistry, Immunohistochemistry-Paraffin, Western Blot

Label

Unconjugated

Antibody Source

Recombinant Monoclonal Rabbit IgG Clone # JE42-15 expressed in HEK293

Concentration

1 mg/ml

Product Specifications

Immunogen

Synthetic peptide within Human HRAS aa 1-50. (Uniprot: P01112)

Localization

Cell membrane, Golgi apparatus, Golgi apparatus membrane; Nucleus, Cytoplasm, perinuclear region.

Clonality

Monoclonal

Host

Rabbit

Isotype

IgG

Theoretical MW

21 kDa.
Disclaimer note: The observed molecular weight of the protein may vary from the listed predicted molecular weight due to post translational modifications, post translation cleavages, relative charges, and other experimental factors.

Description

Novus Biologicals Rabbit HRAS Antibody (JE42-15) (NBP3-32413) is a recombinant monoclonal antibody validated for use in IHC and WB. All Novus Biologicals antibodies are covered by our 100% guarantee.

Scientific Data Images for HRAS Antibody (JE42-15)

HRAS Antibody (JE42-15)

Western Blot: HRAS Antibody (JE42-15) [NBP3-32413]

Western Blot: HRAS Antibody (JE42-15) [NBP3-32413] - Western blot analysis of HRAS on different lysates with Rabbit anti-HRAS antibody (NBP3-32413) at 1/1,000 dilution.

Lane 1: HeLa cell lysate (40 ug/Lane)
Lane 2: Jurkat cell lysate (40 ug/Lane)
Lane 3: NIH/3T3 cell lysate (40 ug/Lane)
Lane 4: PC-12 cell lysate (40 ug/Lane)
Lane 5: Rat brain tissue lysate (10 ug/Lane)
Lane 6: Mouse kidney tissue lysate (20 ug/Lane)

Predicted band size: 21 kDa
Observed band size: 21 kDa

Exposure time: 2 minutes;

4-20% SDS-PAGE gel.

Proteins were transferred to a PVDF membrane and blocked with 5% NFDM/TBST for 1 hour at room temperature. The primary antibody (NBP3-32413) at 1/1,000 dilution was used in 5% NFDM/TBST at room temperature for 2 hours. Goat Anti-Rabbit IgG - HRP Secondary Antibody at 1:100,000 dilution was used for 1 hour at room temperature.
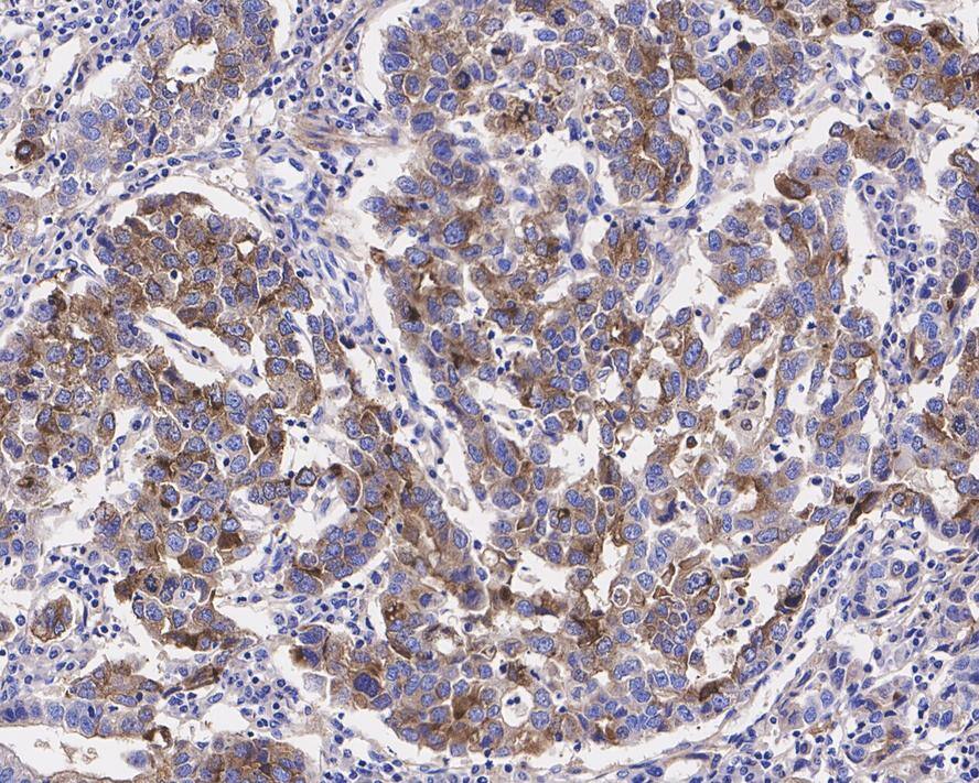
HRAS Antibody (JE42-15)

Immunohistochemistry: HRAS Antibody (JE42-15) [NBP3-32413]

Immunohistochemistry: HRAS Antibody (JE42-15) [NBP3-32413] - Immunohistochemical analysis of paraffin-embedded human stomach carcinoma tissue with Rabbit anti-HRAS antibody (NBP3-32413) at 1/1,000 dilution.

The section was pre-treated using heat mediated antigen retrieval with Tris-EDTA buffer (pH 9.0) for 20 minutes. The tissues were blocked in 1% BSA for 20 minutes at room temperature, washed with ddH2O and PBS, and then probed with the primary antibody (NBP3-32413) at 1/1,000 dilution for 1 hour at room temperature. The detection was performed using an HRP conjugated compact polymer system. DAB was used as the chromogen. Tissues were counterstained with hematoxylin and mounted with DPX.

Applications for HRAS Antibody (JE42-15)

Application
Recommended Usage

Immunohistochemistry-Paraffin

1:1000

Western Blot

1:1000

Formulation, Preparation, and Storage

Purification

Protein A purified

Formulation

1*TBS (pH7.4), 0.05% BSA and 40% Glycerol

Preservative

0.05% Sodium Azide

Concentration

1 mg/ml

Shipping

The product is shipped with polar packs. Upon receipt, store it immediately at the temperature recommended below.

Stability & Storage

Store at 4C short term. Aliquot and store at -20C long term. Avoid freeze-thaw cycles.

Background: HRAS

Alternate Names

C-BAS/HAS;C-HA-RAS1;C-H-RAS;CTLO;GTPase HRas;HAMSV;HRAS1;H-RASIDX;p21ras;RASH1

Gene Symbol

HRAS

Additional HRAS Products

Product Documents for HRAS Antibody (JE42-15)

Certificate of Analysis

To download a Certificate of Analysis, please enter a lot number in the search box below.

Product Specific Notices for HRAS Antibody (JE42-15)

This product is for research use only and is not approved for use in humans or in clinical diagnosis. Primary Antibodies are guaranteed for 1 year from date of receipt.

Loading...
Loading...
Loading...
Loading...