Skip to main content

HR6B/UBE2B Antibody (2Z3R2)

Novus Biologicals, part of Bio-Techne | Catalog # NBP3-15271

Recombinant Monoclonal Antibody
Novus Biologicals, part of Bio-Techne
Catalog #
Availability
Size / Price
Qty
Loading...
NBP3-15271-100ul
NBP3-15271-20ul

Key Product Details

Species Reactivity

Human, Mouse, Rat

Applications

Immunohistochemistry, Immunohistochemistry-Paraffin, Western Blot

Label

Unconjugated

Antibody Source

Recombinant Monoclonal Rabbit IgG Clone # 2Z3R2 expressed in HEK293

Concentration

Please see the vial label for concentration. If unlisted please contact technical services.

Product Specifications

Immunogen

A synthetic peptide corresponding to a sequence within amino acids 53-152 of human HR6B/UBE2B (P63146). FKLVIEFSEEYPNKPPTVRFLSKMFHPNVYADGSICLDILQNRWSPTYDVSSILTSIQSLLDEPNPNSPANSQAAQLYQENKREYEKRVSAIVEQSWNDS

Clonality

Monoclonal

Host

Rabbit

Isotype

IgG

Description

Novus Biologicals Rabbit HR6B/UBE2B Antibody (2Z3R2) (NBP3-15271) is a recombinant monoclonal antibody validated for use in IHC and WB. All Novus Biologicals antibodies are covered by our 100% guarantee.

Scientific Data Images for HR6B/UBE2B Antibody (2Z3R2)

Western Blot: HR6B/UBE2B Antibody (2Z3R2) [NBP3-15271]

Western Blot: HR6B/UBE2B Antibody (2Z3R2) [NBP3-15271]

Western Blot: HR6B/UBE2B Antibody (2Z3R2) [NBP3-15271] - Western blot analysis of extracts of Rat testis, using HR6B/UBE2B antibody (NBP3-15271) at 1:1000 dilution. Secondary antibody: HRP Goat Anti-Rabbit IgG (H+L) at 1:10000 dilution. Lysates/proteins: 25ug per lane. Blocking buffer: 3% nonfat dry milk in TBST. Detection: ECL Basic Kit. Exposure time: 1s.
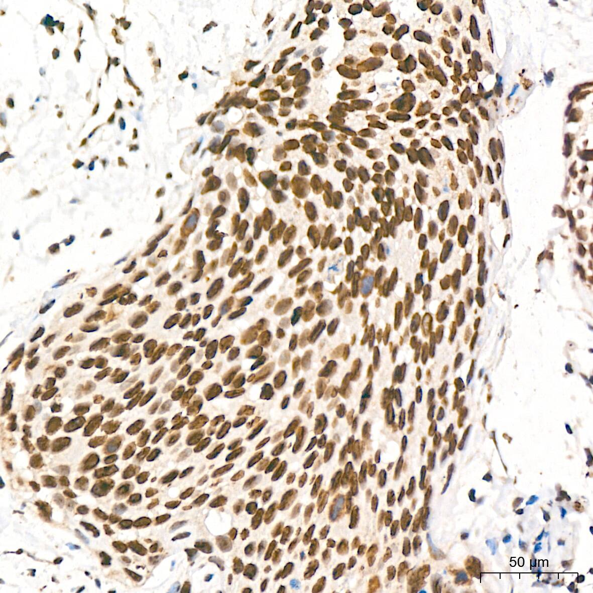
Immunohistochemistry-Paraffin: HR6B/UBE2B Antibody (2Z3R2) [NBP3-15271]

Immunohistochemistry-Paraffin: HR6B/UBE2B Antibody (2Z3R2) [NBP3-15271]

Immunohistochemistry-Paraffin: HR6B/UBE2B Antibody (2Z3R2) [NBP3-15271] - Immunohistochemistry of paraffin-embedded rat brain using HR6B/UBE2B Rabbit mAb (NBP3-15271) at dilution of 1:100 (40x lens).Perform high pressure antigen retrieval with 10 mM citrate buffer pH 6.0 before commencing with IHC staining protocol.
Western Blot: HR6B/UBE2B Antibody (2Z3R2) [NBP3-15271]

Western Blot: HR6B/UBE2B Antibody (2Z3R2) [NBP3-15271]

Western Blot: HR6B/UBE2B Antibody (2Z3R2) [NBP3-15271] - Western blot analysis of extracts of various cell lines, using HR6B/UBE2B antibody (NBP3-15271) at 1:1000 dilution. Secondary antibody: HRP Goat Anti-Rabbit IgG (H+L) at 1:10000 dilution. Lysates/proteins: 25ug per lane. Blocking buffer: 3% nonfat dry milk in TBST. Detection: ECL Basic Kit. Exposure time: 3s.

Applications for HR6B/UBE2B Antibody (2Z3R2)

Application
Recommended Usage

Immunohistochemistry

1:50 - 1:200

Western Blot

1:500 - 1:1000

Formulation, Preparation, and Storage

Purification

Affinity purified

Formulation

PBS (pH 7.3), 50% glycerol, 0.05% BSA

Preservative

0.02% Sodium Azide

Concentration

Please see the vial label for concentration. If unlisted please contact technical services.

Shipping

The product is shipped with polar packs. Upon receipt, store it immediately at the temperature recommended below.

Stability & Storage

Store at -20C. Avoid freeze-thaw cycles.

Background: HR6B/UBE2B

The modification of proteins with ubiquitin is an important cellular mechanism for targeting abnormal or short-lived proteins for degradation. Ubiquitination involves at least three classes of enzymes: ubiquitin-activating enzymes, or E1s, ubiquitin-conjugating enzymes, or E2s, and ubiquitin-protein ligases, or E3s. This gene encodes a member of the E2 ubiquitin-conjugating enzyme family. This enzyme is required for post-replicative DNA damage repair. Its protein sequence is 100% identical to the mouse, rat, and rabbit homologs, which indicates that this enzyme is highly conserved in eukaryotic evolution. [provided by RefSeq]

Long Name

Ubiquitin-conjugating Enzyme E2B

Alternate Names

E2-17k, UBE2B

Gene Symbol

UBE2B

Additional HR6B/UBE2B Products

Product Documents for HR6B/UBE2B Antibody (2Z3R2)

Certificate of Analysis

To download a Certificate of Analysis, please enter a lot number in the search box below.

Product Specific Notices for HR6B/UBE2B Antibody (2Z3R2)

This product is for research use only and is not approved for use in humans or in clinical diagnosis. Primary Antibodies are guaranteed for 1 year from date of receipt.

Loading...
Loading...
Loading...
Loading...