Skip to main content

HPRT Antibody - BSA Free

Novus Biologicals, part of Bio-Techne | Catalog # NBP1-33527

Novus Biologicals, part of Bio-Techne
Catalog #
Availability
Size / Price
Qty
Loading...
NBP1-33527

Key Product Details

Validated by

Knockout/Knockdown

Species Reactivity

Validated:

Human, Mouse, Rat

Cited:

Human

Predicted:

Bovine (94%), Canine (96%), Chicken (94%), Chimpanzee (99%), Porcine (97%), Rabbit (98%), Xenopus (92%), Zebrafish (93%). Backed by our 100% Guarantee.

Applications

Validated:

Knockout Validated, Immunohistochemistry, Immunohistochemistry-Paraffin, Western Blot, Immunocytochemistry/ Immunofluorescence, Simple Western

Cited:

Western Blot

Label

Unconjugated

Antibody Source

Polyclonal Rabbit IgG

Format

BSA Free

Concentration

Concentrations vary lot to lot. See vial label for concentration. If unlisted please contact technical services.

Product Specifications

Immunogen

Recombinant protein encompassing a sequence within the center region of human HPRT. The exact sequence is proprietary.

Reactivity Notes

Xenopus laevis (92%).

Localization

Cytoplasm

Clonality

Polyclonal

Host

Rabbit

Isotype

IgG

Theoretical MW

25 kDa.
Disclaimer note: The observed molecular weight of the protein may vary from the listed predicted molecular weight due to post translational modifications, post translation cleavages, relative charges, and other experimental factors.

Description

Novus Biologicals Knockout (KO) Validated Rabbit HPRT Antibody - BSA Free (NBP1-33527) is a polyclonal antibody validated for use in IHC, WB, ICC/IF and Simple Western. Anti-HPRT Antibody: Cited in 4 publications. All Novus Biologicals antibodies are covered by our 100% guarantee.

Scientific Data Images for HPRT Antibody - BSA Free

Western Blot: HPRT Antibody [NBP1-33527]

Western Blot: HPRT Antibody [NBP1-33527]

Western Blot: HPRT Antibody [NBP1-33527] - Various whole cell extracts (30 ug) were separated by 12% SDS-PAGE, and the membrane was blotted with HPRT antibody diluted at 1:500. HRP-conjugated anti-rabbit IgG antibody was used to detect the primary antibody.
Immunocytochemistry/ Immunofluorescence: HPRT Antibody [NBP1-33527]

Immunocytochemistry/ Immunofluorescence: HPRT Antibody [NBP1-33527]

Immunocytochemistry/Immunofluorescence: HPRT Antibody [NBP1-33527] - Paraformaldehyde-fixed HeLa, using antibody at 1:200 dilution.
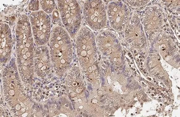
Immunohistochemistry-Paraffin: HPRT Antibody [NBP1-33527]

Immunohistochemistry-Paraffin: HPRT Antibody [NBP1-33527]

Immunohistochemistry-Paraffin: HPRT Antibody [NBP1-33527] - Rat colon. HPRT antibody diluted at 1:500. Antigen Retrieval: Citrate buffer, pH 6.0, 15 min.

Applications for HPRT Antibody - BSA Free

Application
Recommended Usage

Immunocytochemistry/ Immunofluorescence

1:100-1:1000

Immunohistochemistry

1:100-1:1000

Immunohistochemistry-Paraffin

1:100-1:1000

Simple Western

1:100

Western Blot

1:500-1:3000
Application Notes
See Simple Western Antibody Database for Simple Western validation: Tested in Tissue lysates, antibody dilution of 1:100

Formulation, Preparation, and Storage

Purification

Antigen Affinity-purified

Formulation

PBS, 20% Glycerol

Format

BSA Free

Preservative

0.025% Proclin 300

Concentration

Concentrations vary lot to lot. See vial label for concentration. If unlisted please contact technical services.

Shipping

The product is shipped with polar packs. Upon receipt, store it immediately at the temperature recommended below.

Stability & Storage

Aliquot and store at -20C or -80C. Avoid freeze-thaw cycles.

Background: HPRT

The protein encoded by this gene is a transferase, which catalyzes conversion of hypoxanthine to inosine monophosphate and guanine to guanosine monophosphate via transfer of the 5-phosphoribosyl group from 5-phosphoribosyl 1-pyrophosphate. This enzyme plays a central role in the generation of purine nucleotides through the purine salvage pathway. Mutations in this gene result in Lesch-Nyhan syndrome or gout.

Long Name

Hypoxanthine-Guanine Phosphoribosyltransferase

Alternate Names

HGPRT, HGPRT1, HPRT1

Gene Symbol

HPRT1

Additional HPRT Products

Product Documents for HPRT Antibody - BSA Free

Certificate of Analysis

To download a Certificate of Analysis, please enter a lot number in the search box below.

Product Specific Notices for HPRT Antibody - BSA Free

This product is for research use only and is not approved for use in humans or in clinical diagnosis. Primary Antibodies are guaranteed for 1 year from date of receipt.

Loading...
Loading...
Loading...
Loading...