Skip to main content

HP1 alpha Antibody - BSA Free

Novus Biologicals, part of Bio-Techne | Catalog # NBP1-89672

Novus Biologicals, part of Bio-Techne
Catalog #
Availability
Size / Price
Qty
Loading...
NBP1-89672
NBP1-89672-25ul

Key Product Details

Validated by

Orthogonal Validation

Species Reactivity

Validated:

Human

Predicted:

Mouse (97%), Rat (97%). Backed by our 100% Guarantee.

Applications

Immunocytochemistry/ Immunofluorescence, Immunohistochemistry, Immunohistochemistry-Paraffin, Western Blot

Label

Unconjugated

Antibody Source

Polyclonal Rabbit IgG

Format

BSA Free

Concentration

Concentrations vary lot to lot. See vial label for concentration. If unlisted please contact technical services.

Product Specifications

Immunogen

This antibody was developed against Recombinant Protein corresponding to amino acids: VVKGQVEYLLKWKGFSEEHNTWEPEKNLDCPELISEFMKKYKKMKEGENNKPREKSESNKRKSNFSNSADDIKSKKKREQSNDIARGFERGLEPEKIIGATDSCGDLM

Marker

Heterochromatin Marker

Clonality

Polyclonal

Host

Rabbit

Isotype

IgG

Description

Novus Biologicals Rabbit HP1 alpha Antibody - BSA Free (NBP1-89672) is a polyclonal antibody validated for use in IHC, WB and ICC/IF. All Novus Biologicals antibodies are covered by our 100% guarantee.

Scientific Data Images for HP1 alpha Antibody - BSA Free

Immunocytochemistry/ Immunofluorescence: HP1 alpha Antibody [NBP1-89672]

Immunocytochemistry/ Immunofluorescence: HP1 alpha Antibody [NBP1-89672]

Immunocytochemistry/Immunofluorescence: HP1 alpha Antibody [NBP1-89672] - Staining of human cell line U-2 OS shows localization to nucleus. Antibody staining is shown in green.
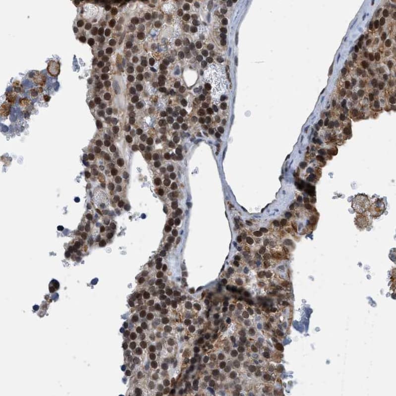
HP1 alpha Antibody - BSA Free Immunohistochemistry-Paraffin: HP1 alpha Antibody - BSA Free [NBP1-89672]

Immunohistochemistry-Paraffin: HP1 alpha Antibody - BSA Free [NBP1-89672]

Analysis in human parathyroid gland and skeletal muscle tissues using NBP1-89672 antibody. Corresponding CBX5 RNA-seq data are presented for the same tissues.
HP1 alpha Antibody - BSA Free Immunohistochemistry-Paraffin: HP1 alpha Antibody - BSA Free [NBP1-89672]

Immunohistochemistry-Paraffin: HP1 alpha Antibody - BSA Free [NBP1-89672]

Staining of human parathyroid gland shows moderate to strong nuclear positivity in chief cells.

Applications for HP1 alpha Antibody - BSA Free

Application
Recommended Usage

Immunocytochemistry/ Immunofluorescence

0.25-2 ug/ml

Immunohistochemistry

1:200 - 1:500

Immunohistochemistry-Paraffin

1:200 - 1:500

Western Blot

0.04-0.4 ug/ml
Application Notes
For IHC-Paraffin, HIER pH 6 retrieval is recommended. ICC/IF Fixation Permeabilization: Use PFA/Triton X-100.

Formulation, Preparation, and Storage

Purification

Immunogen affinity purified

Formulation

PBS (pH 7.2) and 40% Glycerol

Format

BSA Free

Preservative

0.02% Sodium Azide

Concentration

Concentrations vary lot to lot. See vial label for concentration. If unlisted please contact technical services.

Shipping

The product is shipped with polar packs. Upon receipt, store it immediately at the temperature recommended below.

Stability & Storage

Store at 4C short term. Aliquot and store at -20C long term. Avoid freeze-thaw cycles.

Background: HP1 alpha

Heterochromatin protein-1 (HP1) is a methyl-lysine binding adapter protein that is involved in a variety important functions in the cell nucleus. Localized at heterochromatin sites, HP1 is responsible for gene repression by heterochromatin formation, transcriptional activation, regulation of binding of cohesion complexes to centromere, sequesteration of genes to nuclear periphery, transcriptional arrest, maintenance of heterochromatin integrity, gene repression at single nucleosome level and gene repression by heterochromatization of euchromatin.

HP1 antibodies are useful tools for research on transcription regulation and epigenetic signaling.

Alternate Names

Antigen p25, chromobox homolog 5, chromobox homolog 5 (Drosophila HP1 alpha), chromobox homolog 5 (HP1 alpha homolog, Drosophila), chromobox protein homolog 5, Heterochromatin protein 1 homolog alpha, heterochromatin protein 1-alpha, HP1, HP1 alpha, HP1 alpha homolog, HP1A, HP1-ALPHA, HP1Hs alpha, HP1Hs-alpha

Gene Symbol

CBX5

Additional HP1 alpha Products

Product Documents for HP1 alpha Antibody - BSA Free

Certificate of Analysis

To download a Certificate of Analysis, please enter a lot number in the search box below.

Product Specific Notices for HP1 alpha Antibody - BSA Free

This product is for research use only and is not approved for use in humans or in clinical diagnosis. Primary Antibodies are guaranteed for 1 year from date of receipt.

Loading...
Loading...
Loading...
Loading...