Skip to main content

HOXD4 Antibody (OTI1E9)

Novus Biologicals, part of Bio-Techne | Catalog # NBP2-46001

Novus Biologicals, part of Bio-Techne
Catalog #
Availability
Size / Price
Qty
Loading...
NBP2-46001

Key Product Details

Species Reactivity

Human, Mouse, Rat

Applications

Immunohistochemistry, Immunohistochemistry-Paraffin, Western Blot

Label

Unconjugated

Antibody Source

Monoclonal Mouse IgG2A Clone # OTI1E9

Concentration

1 mg/ml

Product Specifications

Immunogen

Full length human recombinant protein of human HOXD4 (NP_055436) produced in E.coli.

Reactivity Notes

Please note that this antibody is reactive to Mouse and derived from the same host, Mouse. Mouse-On-Mouse blocking reagent may be needed for IHC and ICC experiments to reduce high background signal. You can find these reagents under catalog numbers PK-2200-NB and MP-2400-NB. Please contact Technical Support if you have any questions.

Clonality

Monoclonal

Host

Mouse

Isotype

IgG2A

Description

Novus Biologicals Mouse HOXD4 Antibody (OTI1E9) (NBP2-46001) is a monoclonal antibody validated for use in IHC and WB. All Novus Biologicals antibodies are covered by our 100% guarantee.

Scientific Data Images for HOXD4 Antibody (OTI1E9)

Western Blot: HOXD4 Antibody (OTI1E9) [NBP2-46001]

Western Blot: HOXD4 Antibody (OTI1E9) [NBP2-46001]

Western Blot: HOXD4 Antibody (OTI1E9) [NBP2-46001] - HEK293T cells were transfected with the pCMV6-ENTRY control (Left lane) or pCMV6-ENTRY HOXD4 (Right lane) cDNA for 48 hrs and lysed. Equivalent amounts of cell lysates (5 ug per lane) were separated by SDS-PAGE and immunoblotted with anti-HOXD4.
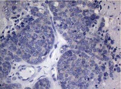
Immunohistochemistry-Paraffin: HOXD4 Antibody (OTI1E9) [NBP2-46001]

Immunohistochemistry-Paraffin: HOXD4 Antibody (OTI1E9) [NBP2-46001]

Immunohistochemistry-Paraffin: HOXD4 Antibody (OTI1E9) [NBP2-46001] - Staining of paraffin-embedded Adenocarcinoma of Human endometrium tissue using anti-HOXD4 mouse monoclonal antibody.

Applications for HOXD4 Antibody (OTI1E9)

Application
Recommended Usage

Immunohistochemistry

1:150

Western Blot

1:2000

Formulation, Preparation, and Storage

Purification

Immunogen affinity purified

Formulation

PBS (pH 7.3), 1.0% BSA and 50% Glycerol

Preservative

0.02% Sodium Azide

Concentration

1 mg/ml

Shipping

The product is shipped with polar packs. Upon receipt, store it immediately at the temperature recommended below.

Stability & Storage

Store at -20C. Avoid freeze-thaw cycles.

Background: HOXD4

HOXD4 belongs to the homeobox family of genes. The homeobox genes encode a highly conserved family of transcription factors that play an important role in morphogenesis in all multicellular organisms. Mammals possess four similar homeobox gene clusters, HOXA, HOXB, HOXC and HOXD, located on different chromosomes, consisting of 9 to 11 genes arranged in tandem. This gene is one of several homeobox HOXD genes located at 2q31-2q37 chromosome regions. Deletions that removed the entire HOXD gene cluster or 5' end of this cluster have been associated with severe limb and genital abnormalities. The protein encoded by this gene may play a role in determining positional values in developing limb buds. Alternatively spliced variants have been described but their full length nature has not been determined. [provided by RefSeq]

Alternate Names

HHO.C13, homeo box D4, homeobox D4, Homeobox protein HHO.C13, Homeobox protein Hox-4B, Homeobox protein Hox-5.1, homeobox protein Hox-D4, HOX4, Hox-4.2, Hox-4.2, mouse, homolog of homeo box X, HOX4BHOX-5.1

Gene Symbol

HOXD4

Additional HOXD4 Products

Product Documents for HOXD4 Antibody (OTI1E9)

Certificate of Analysis

To download a Certificate of Analysis, please enter a lot number in the search box below.

Product Specific Notices for HOXD4 Antibody (OTI1E9)

This product is for research use only and is not approved for use in humans or in clinical diagnosis. Primary Antibodies are guaranteed for 1 year from date of receipt.

Loading...
Loading...
Loading...
Loading...