Skip to main content

HOOK1 Antibody - BSA Free

Novus Biologicals, part of Bio-Techne | Catalog # NBP1-81745

Novus Biologicals, part of Bio-Techne
Catalog #
Availability
Size / Price
Qty
Loading...
NBP1-81745
NBP1-81745-25ul

Key Product Details

Validated by

Orthogonal Validation, Independent Antibodies

Species Reactivity

Validated:

Human, Mouse

Cited:

Mouse

Predicted:

Rat (94%). Backed by our 100% Guarantee.

Applications

Validated:

Immunohistochemistry, Immunohistochemistry-Paraffin, Western Blot

Cited:

Western Blot, IF/IHC

Label

Unconjugated

Antibody Source

Polyclonal Rabbit IgG

Format

BSA Free

Concentration

Concentrations vary lot to lot. See vial label for concentration. If unlisted please contact technical services.

Product Specifications

Immunogen

This antibody was developed against Recombinant Protein corresponding to amino acids: KRALEELQEALAEKEELRQRCEELDMQVTTLQDEKNSLVSENEMMNEKLDQLDGSFDDPNTVVAKKYFHAQLQLEQLQEENFRLEAAKDDYRVHC

Reactivity Notes

Mouse reactivity reported in scientific literature (26114544).

Clonality

Polyclonal

Host

Rabbit

Isotype

IgG

Description

Novus Biologicals Rabbit HOOK1 Antibody - BSA Free (NBP1-81745) is a polyclonal antibody validated for use in IHC and WB. Anti-HOOK1 Antibody: Cited in 1 publication. All Novus Biologicals antibodies are covered by our 100% guarantee.

Scientific Data Images for HOOK1 Antibody - BSA Free

Immunohistochemistry-Paraffin: HOOK1 Antibody [NBP1-81745]

Immunohistochemistry-Paraffin: HOOK1 Antibody [NBP1-81745]

Immunohistochemistry-Paraffin: HOOK1 Antibody [NBP1-81745] - Analysis in human testis and endometrium tissues using antibody. Corresponding HOOK1 RNA-seq data are presented for the same tissues.
Immunohistochemistry-Paraffin: HOOK1 Antibody [NBP1-81745]

Immunohistochemistry-Paraffin: HOOK1 Antibody [NBP1-81745]

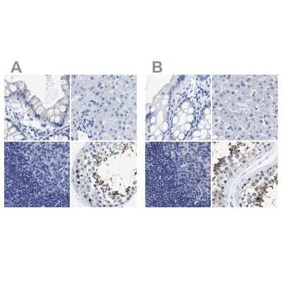
Immunohistochemistry-Paraffin: HOOK1 Antibody [NBP1-81745] - Staining of human colon, liver, lymph node and testis using Anti-HOOK1 antibody NBP1-81745 (A) shows similar protein distribution across tissues to independent antibody NBP1-81744 (B).
Immunohistochemistry-Paraffin: HOOK1 Antibody [NBP1-81745]

Immunohistochemistry-Paraffin: HOOK1 Antibody [NBP1-81745]

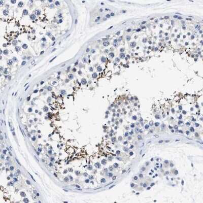
Immunohistochemistry-Paraffin: HOOK1 Antibody [NBP1-81745] - Staining of human testis shows high expression.

Applications for HOOK1 Antibody - BSA Free

Application
Recommended Usage

Immunohistochemistry

1:2500 - 1:5000

Immunohistochemistry-Paraffin

1:2500 - 1:5000

Western Blot

0.04-0.4 ug/ml
Application Notes
For IHC-Paraffin, HIER pH 6 retrieval is recommended.

Formulation, Preparation, and Storage

Purification

Affinity purified

Formulation

PBS (pH 7.2) and 40% Glycerol

Format

BSA Free

Preservative

0.02% Sodium Azide

Concentration

Concentrations vary lot to lot. See vial label for concentration. If unlisted please contact technical services.

Shipping

The product is shipped with polar packs. Upon receipt, store it immediately at the temperature recommended below.

Stability & Storage

Store at 4C short term. Aliquot and store at -20C long term. Avoid freeze-thaw cycles.

Background: HOOK1

HOOK1 encodes a member of the hook family of coiled-coil proteins, which bind to microtubules and organelles through their N- and C-terminal domains, respectively. The encoded protein localizes to discrete punctuate subcellular structures, and interacts with several members of the Rab GTPase family involved in endocytosis. It is thought to link endocytic membrane trafficking to the microtubule cytoskeleton. Several alternatively spliced transcript variants have been identified, but the full-length nature of some of these variants has not been determined. [provided by RefSeq]

Alternate Names

hHK1, HK1h-hook1, hook homolog 1 (Drosophila), MGC10642, protein Hook homolog 1

Gene Symbol

HOOK1

Additional HOOK1 Products

Product Documents for HOOK1 Antibody - BSA Free

Certificate of Analysis

To download a Certificate of Analysis, please enter a lot number in the search box below.

Product Specific Notices for HOOK1 Antibody - BSA Free

This product is for research use only and is not approved for use in humans or in clinical diagnosis. Primary Antibodies are guaranteed for 1 year from date of receipt.

Loading...
Loading...
Loading...
Loading...