Skip to main content

Homez Antibody - BSA Free

Novus Biologicals, part of Bio-Techne | Catalog # NBP1-81405

Novus Biologicals, part of Bio-Techne
Catalog #
Availability
Size / Price
Qty
Loading...
NBP1-81405
NBP1-81405-25ul

Key Product Details

Validated by

Independent Antibodies

Species Reactivity

Human

Applications

Immunohistochemistry, Immunohistochemistry-Paraffin, Western Blot

Label

Unconjugated

Antibody Source

Polyclonal Rabbit IgG

Format

BSA Free

Concentration

Concentrations vary lot to lot. See vial label for concentration. If unlisted please contact technical services.

Product Specifications

Immunogen

This antibody was developed against Recombinant Protein corresponding to amino acids: PDIQPLERYWAAHQQLRETDIPQLSQASRLSTQQVLDWFDSRLPQPAEVVVCLDE

Reactivity Notes

Immunogen displays the following percentage of sequence identity for non-tested species: Mouse (87%), Rat (89%)

Clonality

Polyclonal

Host

Rabbit

Isotype

IgG

Description

Novus Biologicals Rabbit Homez Antibody - BSA Free (NBP1-81405) is a polyclonal antibody validated for use in IHC and WB. All Novus Biologicals antibodies are covered by our 100% guarantee.

Scientific Data Images for Homez Antibody - BSA Free

Western Blot: Homez Antibody [NBP1-81405]

Western Blot: Homez Antibody [NBP1-81405]

Western Blot: Homez Antibody [NBP1-81405] - Analysis using Anti-HOMEZ antibody NBP1-81405 (A) shows similar pattern to independent antibody NBP2-32661 (B).
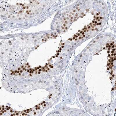
Immunohistochemistry-Paraffin: Homez Antibody [NBP1-81405]

Immunohistochemistry-Paraffin: Homez Antibody [NBP1-81405]

Immunohistochemistry-Paraffin: Homez Antibody [NBP1-81405] - Staining of human testis shows strong nuclear positivity in a subset of cells in seminiferus ducts.

Applications for Homez Antibody - BSA Free

Application
Recommended Usage

Immunohistochemistry

1:50 - 1:200

Immunohistochemistry-Paraffin

1:50 - 1:200

Western Blot

0.04-0.4 ug/ml
Application Notes
For IHC-Paraffin, HIER pH 6 retrieval is recommended.

Formulation, Preparation, and Storage

Purification

Immunogen affinity purified

Formulation

PBS (pH 7.2) and 40% Glycerol

Format

BSA Free

Preservative

0.02% Sodium Azide

Concentration

Concentrations vary lot to lot. See vial label for concentration. If unlisted please contact technical services.

Shipping

The product is shipped with polar packs. Upon receipt, store it immediately at the temperature recommended below.

Stability & Storage

Store at 4C short term. Aliquot and store at -20C long term. Avoid freeze-thaw cycles.

Background: Homez

Homez may function as a transcriptional regulator

Alternate Names

homeobox and leucine zipper encoding, homeobox and leucine zipper protein Homez, KIAA1443Homeodomain leucine zipper-containing factor

Gene Symbol

HOMEZ

Additional Homez Products

Product Documents for Homez Antibody - BSA Free

Certificate of Analysis

To download a Certificate of Analysis, please enter a lot number in the search box below.

Product Specific Notices for Homez Antibody - BSA Free

This product is for research use only and is not approved for use in humans or in clinical diagnosis. Primary Antibodies are guaranteed for 1 year from date of receipt.

Loading...
Loading...
Loading...
Loading...