Skip to main content

HOMER1 Antibody - BSA Free

Novus Biologicals, part of Bio-Techne | Catalog # NBP2-38308

Novus Biologicals, part of Bio-Techne
Catalog #
Availability
Size / Price
Qty
Loading...
NBP2-38308
NBP2-38308-25ul

Key Product Details

Validated by

Orthogonal Validation, Independent Antibodies

Species Reactivity

Validated:

Human

Predicted:

Mouse (99%), Rat (99%). Backed by our 100% Guarantee.

Applications

Immunohistochemistry, Immunohistochemistry-Paraffin

Label

Unconjugated

Antibody Source

Polyclonal Rabbit IgG

Format

BSA Free

Concentration

Concentrations vary lot to lot. See vial label for concentration. If unlisted please contact technical services.

Product Specifications

Immunogen

This antibody was developed against a recombinant protein corresponding to amino acids: MELTSTPSQESAGGDLQSPLTPESINGTDDERTPDVTQNSEPRAEPTQNALPFSHSSAISKHWEAELATL

Clonality

Polyclonal

Host

Rabbit

Isotype

IgG

Description

Novus Biologicals Rabbit HOMER1 Antibody - BSA Free (NBP2-38308) is a polyclonal antibody validated for use in IHC. All Novus Biologicals antibodies are covered by our 100% guarantee.

Scientific Data Images for HOMER1 Antibody - BSA Free

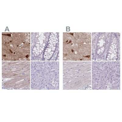
Immunohistochemistry-Paraffin: HOMER1 Antibody [NBP2-38308]

Immunohistochemistry-Paraffin: HOMER1 Antibody [NBP2-38308]

Immunohistochemistry-Paraffin: HOMER1 Antibody [NBP2-38308] - Staining of human colon.
Immunohistochemistry-Paraffin: HOMER1 Antibody [NBP2-38308]

Immunohistochemistry-Paraffin: HOMER1 Antibody [NBP2-38308]

Immunohistochemistry-Paraffin: HOMER1 Antibody [NBP2-38308] - Staining of human cerebral cortex shows high expression.
Immunohistochemistry-Paraffin: HOMER1 Antibody [NBP2-38308]

Immunohistochemistry-Paraffin: HOMER1 Antibody [NBP2-38308]

Immunohistochemistry-Paraffin: HOMER1 Antibody [NBP2-38308] - Staining of human pancreas shows low expression as expected.

Applications for HOMER1 Antibody - BSA Free

Application
Recommended Usage

Immunohistochemistry

1:50 - 1:200

Immunohistochemistry-Paraffin

1:50 - 1:200
Application Notes
For IHC-Paraffin, HIER pH 6 retrieval is recommended.

Formulation, Preparation, and Storage

Purification

Immunogen affinity purified

Formulation

PBS (pH 7.2) and 40% Glycerol

Format

BSA Free

Preservative

0.02% Sodium Azide

Concentration

Concentrations vary lot to lot. See vial label for concentration. If unlisted please contact technical services.

Shipping

The product is shipped with polar packs. Upon receipt, store it immediately at the temperature recommended below.

Stability & Storage

Store at 4C short term. Aliquot and store at -20C long term. Avoid freeze-thaw cycles.

Background: HOMER1

The HOMER1 gene encodes a member of the homer family of dendritic proteins. Members of this family regulate group 1 metabotrophic glutamate receptor function. (provided by RefSeq)

Long Name

Homer Protein Homolog 1

Alternate Names

HOMER1A, HOMER1B, HOMER1C, SYN47, Ves-1

Gene Symbol

HOMER1

UniProt

Additional HOMER1 Products

Product Documents for HOMER1 Antibody - BSA Free

Certificate of Analysis

To download a Certificate of Analysis, please enter a lot number in the search box below.

Product Specific Notices for HOMER1 Antibody - BSA Free

This product is for research use only and is not approved for use in humans or in clinical diagnosis. Primary Antibodies are guaranteed for 1 year from date of receipt.

Loading...
Loading...
Loading...
Loading...