Skip to main content

HNRNPUL1 Antibody - BSA Free

Novus Biologicals, part of Bio-Techne | Catalog # NBP2-47431

Novus Biologicals, part of Bio-Techne
Catalog #
Availability
Size / Price
Qty
Loading...
NBP2-47431
NBP2-47431-25ul

Key Product Details

Validated by

Independent Antibodies

Species Reactivity

Validated:

Human

Predicted:

Mouse (93%), Rat (93%). Backed by our 100% Guarantee.

Applications

Immunocytochemistry/ Immunofluorescence, Immunohistochemistry, Immunohistochemistry-Paraffin

Label

Unconjugated

Antibody Source

Polyclonal Rabbit IgG

Format

BSA Free

Concentration

Concentrations vary lot to lot. See vial label for concentration. If unlisted please contact technical services.

Product Specifications

Immunogen

This antibody was developed against a recombinant protein corresponding to amino acids: PTAQTYPQPSYNQYQQYAQQWNQYYQNQGQWPPYYGNYDYGSYSGNTQGGTSTQ

Clonality

Polyclonal

Host

Rabbit

Isotype

IgG

Description

Novus Biologicals Rabbit HNRNPUL1 Antibody - BSA Free (NBP2-47431) is a polyclonal antibody validated for use in IHC and ICC/IF. All Novus Biologicals antibodies are covered by our 100% guarantee.

Scientific Data Images for HNRNPUL1 Antibody - BSA Free

Immunocytochemistry/ Immunofluorescence: HNRNPUL1 Antibody [NBP2-47431]

Immunocytochemistry/ Immunofluorescence: HNRNPUL1 Antibody [NBP2-47431]

Immunocytochemistry/Immunofluorescence: HNRNPUL1 Antibody [NBP2-47431] - Immunofluorescent staining of human cell line MCF7 shows localization to nucleoplasm.
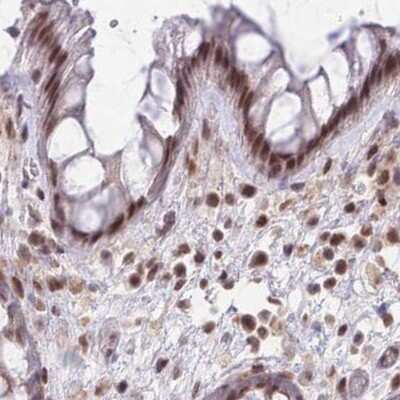
Immunohistochemistry-Paraffin: HNRNPUL1 Antibody [NBP2-47431]

Immunohistochemistry-Paraffin: HNRNPUL1 Antibody [NBP2-47431]

Immunohistochemistry-Paraffin: HNRNPUL1 Antibody [NBP2-47431] - Staining of human colon.
Immunohistochemistry-Paraffin: HNRNPUL1 Antibody [NBP2-47431]

Immunohistochemistry-Paraffin: HNRNPUL1 Antibody [NBP2-47431]

Immunohistochemistry-Paraffin: HNRNPUL1 Antibody [NBP2-47431] - Staining of human stomach shows moderate nuclear positivity in glandular cells.

Applications for HNRNPUL1 Antibody - BSA Free

Application
Recommended Usage

Immunocytochemistry/ Immunofluorescence

0.25-2 ug/ml

Immunohistochemistry

1:20 - 1:50

Immunohistochemistry-Paraffin

1:20 - 1:50
Application Notes
For IHC-Paraffin, HIER pH 6 retrieval is recommended. Immunocytochemistry/Immunofluorescence Fixation Permeabilization: Use PFA/Triton X-100.

Formulation, Preparation, and Storage

Purification

Immunogen affinity purified

Formulation

PBS (pH 7.2) and 40% Glycerol

Format

BSA Free

Preservative

0.02% Sodium Azide

Concentration

Concentrations vary lot to lot. See vial label for concentration. If unlisted please contact technical services.

Shipping

The product is shipped with polar packs. Upon receipt, store it immediately at the temperature recommended below.

Stability & Storage

Store at 4C short term. Aliquot and store at -20C long term. Avoid freeze-thaw cycles.

Background: HNRNPUL1

HNRNPUL1 encodes a nuclear RNA-binding protein of the heterogeneous nuclear ribonucleoprotein (hnRNP) family. This protein binds specifically to adenovirus E1B-55kDa oncoprotein. It may play an important role in nucleocytoplasmic RNA transport, and its function is modulated by E1B-55kDa in adenovirus-infected cells. Two transcript variants encoding different isoforms have been found for this gene. Additional variants have also been found, but their full-length natures have not been determined. [provided by RefSeq]

Alternate Names

Adenovirus early region 1B-associated protein 5, E1B-AP5E1B 55kDa associated protein 5, E1BAP5E1B-55 kDa-associated protein 5, FLJ12944, heterogeneous nuclear ribonucleoprotein U-like 1, heterogeneous nuclear ribonucleoprotein U-like protein 1, HNRPUL1E1B-55kDa-associated protein 5

Gene Symbol

HNRNPUL1

Additional HNRNPUL1 Products

Product Documents for HNRNPUL1 Antibody - BSA Free

Certificate of Analysis

To download a Certificate of Analysis, please enter a lot number in the search box below.

Product Specific Notices for HNRNPUL1 Antibody - BSA Free

This product is for research use only and is not approved for use in humans or in clinical diagnosis. Primary Antibodies are guaranteed for 1 year from date of receipt.

Loading...
Loading...
Loading...
Loading...