hnRNP M Antibody (S06-3B1)
Novus Biologicals, part of Bio-Techne | Catalog # NBP3-15042
Recombinant Monoclonal Antibody
Key Product Details
Species Reactivity
Human, Mouse, Rat
Applications
Immunohistochemistry, Immunohistochemistry-Paraffin, Western Blot
Label
Unconjugated
Antibody Source
Recombinant Monoclonal Rabbit IgG Clone # S06-3B1 expressed in HEK293
Concentration
Please see the vial label for concentration. If unlisted please contact technical services.
Product Specifications
Immunogen
A synthetic peptide of human hnRNP M (Uniprot#: P52272)
Clonality
Monoclonal
Host
Rabbit
Isotype
IgG
Theoretical MW
78 kDa.
Disclaimer note: The observed molecular weight of the protein may vary from the listed predicted molecular weight due to post translational modifications, post translation cleavages, relative charges, and other experimental factors.
Disclaimer note: The observed molecular weight of the protein may vary from the listed predicted molecular weight due to post translational modifications, post translation cleavages, relative charges, and other experimental factors.
Description
Novus Biologicals Rabbit hnRNP M Antibody (S06-3B1) (NBP3-15042) is a recombinant monoclonal antibody validated for use in IHC and WB. All Novus Biologicals antibodies are covered by our 100% guarantee.
Scientific Data Images for hnRNP M Antibody (S06-3B1)
Western Blot: hnRNP M Antibody (S06-3B1) [NBP3-15042]
Western Blot: hnRNP M Antibody (S06-3B1) [NBP3-15042] - Western blot detection of hnRNP M in K562, C6, 3T3, Hela cell lysates using hnRNP M Rabbit mAb (1:1000 diluted). Predicted band size: 78kDa. Observed band size: 78kDa.Immunohistochemistry-Paraffin: hnRNP M Antibody (S06-3B1) [NBP3-15042]
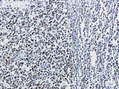
Immunohistochemistry-Paraffin: hnRNP M Antibody (S06-3B1) [NBP3-15042] - Immunohistochemistry of hnRNP M in paraffin-embedded Human tonsil using hnRNP M Rabbit mAb at dilution 1/50Applications for hnRNP M Antibody (S06-3B1)
Application
Recommended Usage
Immunohistochemistry
1/20
Western Blot
1/1000
Formulation, Preparation, and Storage
Purification
Affinity purified
Formulation
50mM Tris-Glycine (pH 7.4), 0.15M NaCl, 40% Glycerol, 0.05% BSA
Preservative
0.01% Sodium Azide
Concentration
Please see the vial label for concentration. If unlisted please contact technical services.
Shipping
The product is shipped with polar packs. Upon receipt, store it immediately at the temperature recommended below.
Stability & Storage
Store at 4C short term. Aliquot and store at -20C long term. Avoid freeze-thaw cycles.
Background: hnRNP M
Alternate Names
DKFZp547H118, heterogeneous nuclear ribonucleoprotein M, hnRNP M, HNRNPM4, HNRPM4heterogenous nuclear ribonucleoprotein M, HNRPMheterogenous nuclear ribonucleoprotein M4, HTGR1, M4 protein, N-acetylglucosamine receptor 1, NAGR1hnRNA-binding protein M4
Gene Symbol
HNRNPM
Additional hnRNP M Products
Product Documents for hnRNP M Antibody (S06-3B1)
Product Specific Notices for hnRNP M Antibody (S06-3B1)
This product is for research use only and is not approved for use in humans or in clinical diagnosis. Primary Antibodies are guaranteed for 1 year from date of receipt.
Loading...
Loading...
Loading...
Loading...