hnRNP M Antibody (OTI4C9) - Azide and BSA Free
Novus Biologicals, part of Bio-Techne | Catalog # NBP2-71200
Conjugate
Catalog #
Key Product Details
Species Reactivity
Human, Mouse, Rat
Applications
Immunohistochemistry, Immunohistochemistry-Paraffin, Western Blot
Label
Unconjugated
Antibody Source
Monoclonal Mouse IgG2B Clone # OTI4C9
Format
Azide and BSA Free
Concentration
LYOPH mg/ml
Product Specifications
Immunogen
Human recombinant protein fragment corresponding to amino acids 1-261 of human HNRNPM (NP_112480) produced in E.coli.
Reactivity Notes
Please note that this antibody is reactive to Mouse and derived from the same host, Mouse. Mouse-On-Mouse blocking reagent may be needed for IHC and ICC experiments to reduce high background signal. You can find these reagents under catalog numbers PK-2200-NB and MP-2400-NB. Please contact Technical Support if you have any questions.
Clonality
Monoclonal
Host
Mouse
Isotype
IgG2B
Description
Novus Biologicals Mouse hnRNP M Antibody (OTI4C9) - Azide and BSA Free (NBP2-45991) is a monoclonal antibody validated for use in IHC and WB. All Novus Biologicals antibodies are covered by our 100% guarantee.
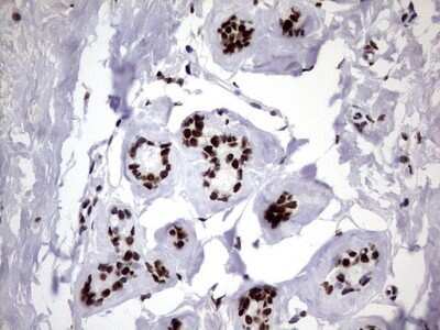
Scientific Data Images for hnRNP M Antibody (OTI4C9) - Azide and BSA Free
Western Blot: hnRNP M Antibody (OTI4C9)Azide and BSA Free [NBP2-71200]
Western Blot: hnRNP M Antibody (OTI4C9) - Azide and BSA Free [NBP2-71200] - Analysis of HEK293T cells were transfected with the pCMV6-ENTRY control (Left lane) or pCMV6-ENTRY hnRNP M.Immunohistochemistry: hnRNP M Antibody (OTI4C9) - Azide and BSA Free [NBP2-71200]
Immunohistochemistry: hnRNP M Antibody (OTI4C9) - Azide and BSA Free [NBP2-71200] - Analysis of Human thyroid tissue. (Heat-induced epitope retrieval by 1 mM EDTA in 10mM Tris, pH8.5, 120C for 3min)Western Blot: hnRNP M Antibody (OTI4C9)Azide and BSA Free [NBP2-71200]
Western Blot: hnRNP M Antibody (OTI4C9) - Azide and BSA Free [NBP2-71200] - Analysis of A549 cell lysate (35ug).Applications for hnRNP M Antibody (OTI4C9) - Azide and BSA Free
Application
Recommended Usage
Immunohistochemistry
1:150
Western Blot
1:2000
Formulation, Preparation, and Storage
Purification
Immunogen affinity purified
Reconstitution
we recommend adding 100uL distilled water to a final antibody concentration of about 1 mg/mL. To use this carrier-free antibody for conjugation experiment, we strongly recommend performing another round of desalting process.
Formulation
Lyophilized from PBS (pH 7.3) with 8% Trehalose
Format
Azide and BSA Free
Preservative
No Preservative
Concentration
LYOPH mg/ml
Shipping
The product is shipped with polar packs. Upon receipt, store it immediately at the temperature recommended below.
Stability & Storage
Store at -20C. Avoid freeze-thaw cycles.
Background: hnRNP M
Alternate Names
DKFZp547H118, heterogeneous nuclear ribonucleoprotein M, hnRNP M, HNRNPM4, HNRPM4heterogenous nuclear ribonucleoprotein M, HNRPMheterogenous nuclear ribonucleoprotein M4, HTGR1, M4 protein, N-acetylglucosamine receptor 1, NAGR1hnRNA-binding protein M4
Gene Symbol
HNRNPM
Additional hnRNP M Products
Product Documents for hnRNP M Antibody (OTI4C9) - Azide and BSA Free
Product Specific Notices for hnRNP M Antibody (OTI4C9) - Azide and BSA Free
This product is for research use only and is not approved for use in humans or in clinical diagnosis. Primary Antibodies are guaranteed for 1 year from date of receipt.
Loading...
Loading...
Loading...
Loading...
Loading...