Skip to main content

hnRNP M Antibody (2A6) - BSA Free

Novus Biologicals, part of Bio-Techne | Catalog # NB200-315

Novus Biologicals, part of Bio-Techne
Catalog #
Availability
Size / Price
Qty
Loading...
NB200-315
NB200-315SS

Key Product Details

Species Reactivity

Validated:

Human, Mouse, Rat, Porcine, Bovine, Rabbit

Cited:

Human, Mouse

Applications

Validated:

Immunohistochemistry, Immunohistochemistry-Paraffin, Immunohistochemistry-Frozen, Western Blot, Immunocytochemistry/ Immunofluorescence, Simple Western, Immunoprecipitation

Cited:

Western Blot, Immunocytochemistry/ Immunofluorescence

Label

Unconjugated

Antibody Source

Monoclonal Mouse IgG2b Kappa Clone # 2A6

Format

BSA Free

Concentration

This product is unpurified. The exact concentration of antibody is not quantifiable.

Product Specifications

Immunogen

M19 fusion protein containing full-length human protein. [UniProt# P52272]

Specificity

NB200-315 is specific for hnRNP M3 and M4 proteins.

Clonality

Monoclonal

Host

Mouse

Isotype

IgG2b Kappa

Theoretical MW

68 kDa.
Disclaimer note: The observed molecular weight of the protein may vary from the listed predicted molecular weight due to post translational modifications, post translation cleavages, relative charges, and other experimental factors.

Description

Novus Biologicals Mouse hnRNP M Antibody (2A6) - BSA Free (NB200-315) is a monoclonal antibody validated for use in IHC, WB, ICC/IF, Simple Western and IP. Anti-hnRNP M Antibody: Cited in 3 publications. All Novus Biologicals antibodies are covered by our 100% guarantee.

Scientific Data Images for hnRNP M Antibody (2A6) - BSA Free

Western Blot: hnRNP M Antibody (2A6) [NB200-315]

Western Blot: hnRNP M Antibody (2A6) [NB200-315]

Western Blot: hnRNP M Antibody (2A6) [NB200-315] - Analysis of hnRNP M3-M4 in HeLa cell lysate.
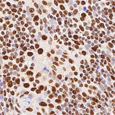
Immunohistochemistry-Paraffin: hnRNP M Antibody (2A6) [NB200-315]

Immunohistochemistry-Paraffin: hnRNP M Antibody (2A6) [NB200-315]

Immunohistochemistry-Paraffin: hnRNP M Antibody (2A6) [NB200-315] - IHC analysis of formalin fixed paraffin-embedded (FFPE) human tonsil using hnRNP M (2A6) antibody at 1:500 on a Bond Rx autostainer (Leica Biosystems). The assay involved 20 minutes of heat induced antigen retrieval (HIER) using 10mM sodium citrate buffer (pH 6.0) and endogenous peroxidase quenching with peroxide block. The sections were incubated with primary antibody for 30 minutes and Bond Polymer Refine Detection (Leica Biosystems) with DAB was used for signal development followed by counterstaining with hematoxylin. Whole slide scanning and capturing of representative images was performed using Aperio AT2 (Leica Biosystems). Nuclear riboprotein staining was observed. Staining was performed by Histowiz.
Simple Western: hnRNP M Antibody (2A6) [NB200-315]

Simple Western: hnRNP M Antibody (2A6) [NB200-315]

Simple Western: hnRNP M Antibody (2A6) [NB200-315] - Simple Western lane view shows a specific band for hnRNP M in 0.05 mg/ml of HeLa lysate. This experiment was performed under reducing conditions using the 12-230 kDa separation system.

Applications for hnRNP M Antibody (2A6) - BSA Free

Application
Recommended Usage

Immunocytochemistry/ Immunofluorescence

1:10-1:500

Immunohistochemistry

1:10-1:500

Immunohistochemistry-Frozen

1:10-1:500

Immunohistochemistry-Paraffin

1:10-1:500

Immunoprecipitation

1:10-1:500

Simple Western

1:3000

Western Blot

1:1000
Application Notes
This hnRNP M (2A6) antibody is useful for Immunocytochemistry/Immunofluorescence, Immunohistochemistry on paraffin-embedded and frozen sections, Immunoprecipitation and Western Blot. A 68 kDa band can be seen in a Western blot using HeLa cell lysate.

In Simple Western only 10 - 15 uL of the recommended dilution is used per data point.
See Simple Western Antibody Database for Simple Western validation: Tested in HeLa lysate 0.05 mg/mL, separated by Size, antibody dilution of 1:3000, apparent MW was 76 kDa. Separated by Size-Wes, Sally Sue/Peggy Sue.
The observed molecular weight of the protein may vary from the listed predicted molecular weight due to post translational modifications, post translation cleavages, relative charges, and other experimental factors.

Formulation, Preparation, and Storage

Purification

Unpurified

Formulation

Ascites

Format

BSA Free

Preservative

0.1% Sodium Azide

Concentration

This product is unpurified. The exact concentration of antibody is not quantifiable.

Shipping

The product is shipped with polar packs. Upon receipt, store it immediately at the temperature recommended below.

Stability & Storage

Aliquot and store at -20C or -80C. Avoid freeze-thaw cycles.

Background: hnRNP M

RNA-binding proteins of mammalian hnRNP (heterogeneous nuclear ribonucleo protein) family represents a group of over 20 distinct evolutionary conserved proteins which share a capability to bind pre-mRNA/mRNA, and also binds to specific RNA motifs with high-affinity. They exhibit huge functional diversity and implicates in almost every step in mRNA's life cycle (from transcription and processing to transport and translation). HnRNP M is an abundant protein containing three RNA recognition motifs (RRM), a glycine/methionine-rich region and a methionine/arginine-rich repeat motif. It has four protein variants, hnRNP M1-4, ranging in molecular size from 68 to 72 kD which corresponds to spliced isoforms and/or posttranslationally modified forms. hnRNP M is a nucleolar protein and has been Identified in the spliceosome C complex. It acts as a pre-mRNA binding protein in vivo, binds avidly to poly(G) and poly(U) RNA homopolymers in vitro, and is involved in splicing. hnRNP M acts as a receptor for carcinoembryonic antigen in Kupffer cells, may initiate a series of signaling events leading to tyrosine phosphorylation of proteins and induction of IL-1 alpha, IL-6, IL-10 and TNF-alpha cytokines.

Alternate Names

DKFZp547H118, heterogeneous nuclear ribonucleoprotein M, hnRNP M, HNRNPM4, HNRPM4heterogenous nuclear ribonucleoprotein M, HNRPMheterogenous nuclear ribonucleoprotein M4, HTGR1, M4 protein, N-acetylglucosamine receptor 1, NAGR1hnRNA-binding protein M4

Entrez Gene IDs

4670 (Human); 76936 (Mouse); 116655 (Rat)

Gene Symbol

HNRNPM

UniProt

Additional hnRNP M Products

Product Documents for hnRNP M Antibody (2A6) - BSA Free

Certificate of Analysis

To download a Certificate of Analysis, please enter a lot number in the search box below.

Product Specific Notices for hnRNP M Antibody (2A6) - BSA Free

This product is for research use only and is not approved for use in humans or in clinical diagnosis. Primary Antibodies are guaranteed for 1 year from date of receipt.

Loading...
Loading...
Loading...
Loading...