Skip to main content

hnRNP K/J Antibody (S07-5H0)

Novus Biologicals, part of Bio-Techne | Catalog # NBP3-14943

Recombinant Monoclonal Antibody
Novus Biologicals, part of Bio-Techne
Catalog #
Availability
Size / Price
Qty
Loading...
NBP3-14943-100ul
NBP3-14943-25ul

Key Product Details

Species Reactivity

Human, Mouse, Rat

Applications

Immunohistochemistry, Immunohistochemistry-Paraffin, Western Blot

Label

Unconjugated

Antibody Source

Recombinant Monoclonal Rabbit IgG Clone # S07-5H0 expressed in HEK293

Concentration

Please see the vial label for concentration. If unlisted please contact technical services.

Product Specifications

Immunogen

A synthetic peptide of human hnRNP K/J (Uniprot#: P61978)

Clonality

Monoclonal

Host

Rabbit

Isotype

IgG

Theoretical MW

62 kDa.
Disclaimer note: The observed molecular weight of the protein may vary from the listed predicted molecular weight due to post translational modifications, post translation cleavages, relative charges, and other experimental factors.

Description

Novus Biologicals Rabbit hnRNP K/J Antibody (S07-5H0) (NBP3-14943) is a recombinant monoclonal antibody validated for use in IHC and WB. All Novus Biologicals antibodies are covered by our 100% guarantee.

Scientific Data Images for hnRNP K/J Antibody (S07-5H0)

Western Blot: hnRNP K/J Antibody (S07-5H0) [NBP3-14943]

Western Blot: hnRNP K/J Antibody (S07-5H0) [NBP3-14943]

Western Blot: hnRNP K/J Antibody (S07-5H0) [NBP3-14943] - Western blot detection of hnRNP K/J in K562, PC3, Hela cell lysates using hnRNP K/J Rabbit mAb (1:500 diluted). Predicted band size: 51kDa. Observed band size: 62kDa.
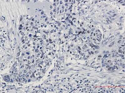
Immunohistochemistry-Paraffin: hnRNP K/J Antibody (S07-5H0) [NBP3-14943]

Immunohistochemistry-Paraffin: hnRNP K/J Antibody (S07-5H0) [NBP3-14943]

Immunohistochemistry-Paraffin: hnRNP K/J Antibody (S07-5H0) [NBP3-14943] - Immunohistochemistry of hnRNP K/J in paraffin-embedded Human lung cancer tissue using hnRNP K/J Rabbit mAb at dilution 1/50

Applications for hnRNP K/J Antibody (S07-5H0)

Application
Recommended Usage

Immunohistochemistry

1/20-1/50

Western Blot

1/1000-1/5000

Formulation, Preparation, and Storage

Purification

Affinity purified

Formulation

50mM Tris-Glycine (pH 7.4), 0.15M NaCl, 40% Glycerol, 0.05% BSA

Preservative

0.01% Sodium Azide

Concentration

Please see the vial label for concentration. If unlisted please contact technical services.

Shipping

The product is shipped with polar packs. Upon receipt, store it immediately at the temperature recommended below.

Stability & Storage

Store at 4C short term. Aliquot and store at -20C long term. Avoid freeze-thaw cycles.

Background: hnRNP K/J

The hnRNP K / J gene belongs to the subfamily of ubiquitously expressed heterogeneous nuclear ribonucleoproteins (hnRNPs). ThehnRNPs are RNA binding proteins and they complex with heterogeneous nuclear RNA (hnRNA). These proteins are associatedwith pre-mRNAs in the

Alternate Names

dC-stretch binding protein, FLJ41122, heterogeneous nuclear ribonucleoprotein K, hnRNP K, transformation upregulated nuclear protein, Transformation up-regulated nuclear protein, TUNPHNRPKCSBP

Gene Symbol

HNRNPK

Additional hnRNP K/J Products

Product Documents for hnRNP K/J Antibody (S07-5H0)

Certificate of Analysis

To download a Certificate of Analysis, please enter a lot number in the search box below.

Product Specific Notices for hnRNP K/J Antibody (S07-5H0)

This product is for research use only and is not approved for use in humans or in clinical diagnosis. Primary Antibodies are guaranteed for 1 year from date of receipt.

Loading...
Loading...
Loading...
Loading...