Skip to main content

hnRNP A2B1 Antibody - BSA Free

Novus Biologicals, part of Bio-Techne | Catalog # NBP1-89675

Novus Biologicals, part of Bio-Techne
Catalog #
Availability
Size / Price
Qty
Loading...
NBP1-89675

Key Product Details

Validated by

Knockout/Knockdown

Species Reactivity

Human, Mouse, Rat

Applications

Immunohistochemistry, Immunohistochemistry-Paraffin, Western Blot

Label

Unconjugated

Antibody Source

Polyclonal Rabbit IgG

Format

BSA Free

Concentration

Concentrations vary lot to lot. See vial label for concentration. If unlisted please contact technical services.

Product Specifications

Immunogen

This antibody was developed against Recombinant Protein corresponding to amino acids: VMRDPASKRSRGFGFVTFSSMAEVDAAMAARPHSIDGRVVEPKRAVAREESGKPGAHVTVKKLFVGGIKEDTEEHHLRDYFEEYGKIDTIEIITDRQSGKKRGFGFVTFDDHDPVDKIVLQKYHTINGHNAEVRKAL

Clonality

Polyclonal

Host

Rabbit

Isotype

IgG

Description

Novus Biologicals Rabbit hnRNP A2B1 Antibody - BSA Free (NBP1-89675) is a polyclonal antibody validated for use in IHC and WB. All Novus Biologicals antibodies are covered by our 100% guarantee.

Scientific Data Images for hnRNP A2B1 Antibody - BSA Free

hnRNP A2B1 Antibody - BSA Free Immunohistochemistry-Paraffin: hnRNP A2B1 Antibody - BSA Free [NBP1-89675]

Immunohistochemistry-Paraffin: hnRNP A2B1 Antibody - BSA Free [NBP1-89675]

Staining of human small intestine shows strong nuclear positivity in glandular cells.
hnRNP A2B1 Antibody - BSA Free Immunohistochemistry-Paraffin: hnRNP A2B1 Antibody - BSA Free [NBP1-89675]

Immunohistochemistry-Paraffin: hnRNP A2B1 Antibody - BSA Free [NBP1-89675]

Staining of human endometrium shows moderate nuclear positivity in glandular cells.
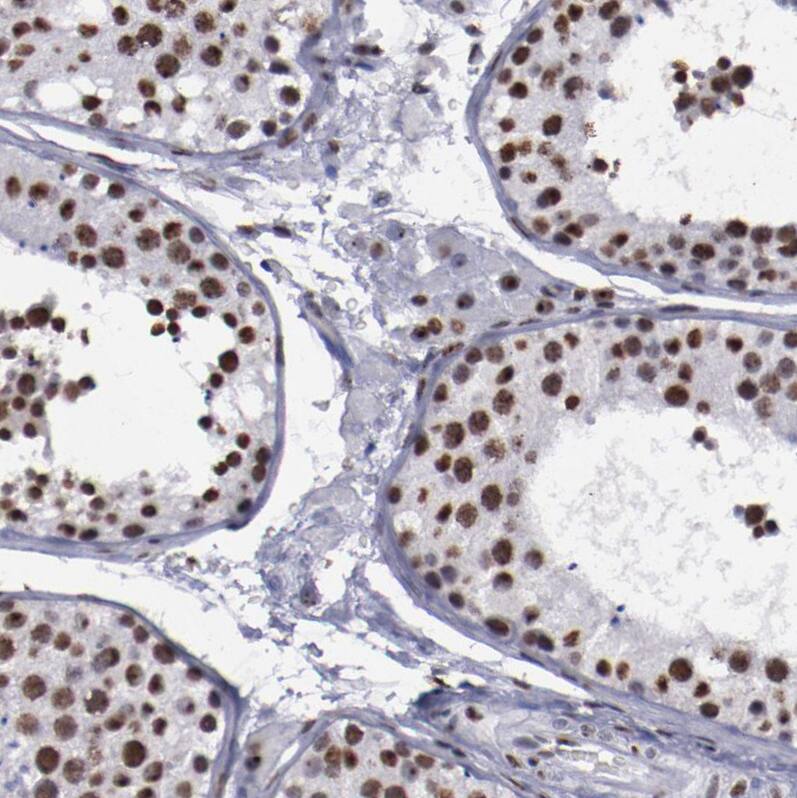
hnRNP A2B1 Antibody - BSA Free Immunohistochemistry-Paraffin: hnRNP A2B1 Antibody - BSA Free [NBP1-89675]

Immunohistochemistry-Paraffin: hnRNP A2B1 Antibody - BSA Free [NBP1-89675]

Staining of human testis shows strong nuclear positivity in cells in seminiferous ducts.

Applications for hnRNP A2B1 Antibody - BSA Free

Application
Recommended Usage

Immunohistochemistry

1:500 - 1:1000

Immunohistochemistry-Paraffin

1:500 - 1:1000

Western Blot

0.04-0.4 ug/ml
Application Notes
For IHC-Paraffin, HIER pH 6 retrieval is recommended.

Formulation, Preparation, and Storage

Purification

Affinity purified

Formulation

PBS (pH 7.2) and 40% Glycerol

Format

BSA Free

Preservative

0.02% Sodium Azide

Concentration

Concentrations vary lot to lot. See vial label for concentration. If unlisted please contact technical services.

Shipping

The product is shipped with polar packs. Upon receipt, store it immediately at the temperature recommended below.

Stability & Storage

Store at 4C short term. Aliquot and store at -20C long term. Avoid freeze-thaw cycles.

Background: hnRNP A2B1

RNA polymerase II transcripts in the nucleus are in complex with several different proteins called heterogeneous nuclear ribonucleoproteins (hnRNPs). These proteins act in biological activities such as transcription, pre-mRNA processing, cytoplasmic mRNA ranslation, and turnover.2. hnRNPs can be isolated either by immunoprecipitation or by sucrose gradient fractionation of cell extracts. Isolated hnRNPs consist of protein groups named A to U and many of these protein groups consist of more than one isoform.3 The major steadystate proteins of the isolated hnRNP complex are the A1, A2, B1, B2, C1, and C2 with a range of molecular weights (34-43 kDa).3 hnRNP-A2/B1 proteins are located in the nucleus of most tissues cells; however, the hnRNP-A2 protein is found also in the cytoplasm of skin and esophagus cells. In rat brain, hnRNP-A2/B1 proteins are found in neurons in the cerebral cortices, hippocampal formation, olfactory regions, caudate-putamin, and the supraoptic ucleus of the hypothalamus.4 Expression of hnRNP-A2/B1 proteins was found also in lung development and its over expression correlated with lung cancer.5

Alternate Names

DKFZp779B0244, FLJ22720, heterogeneous nuclear ribonucleoprotein A2/B1, heterogeneous nuclear ribonucleoprotein B1, heterogeneous nuclear ribonucleoproteins A2/B1, hnRNP A2 / hnRNP B1, HNRNPA2, HNRNPB1, HNRPA2, HNRPA2B1hnRNP A2/B1, HNRPB1, nuclear ribonucleoprotein particle A2 protein, RNPA2, SNRPB1

Gene Symbol

HNRNPA2B1

Additional hnRNP A2B1 Products

Product Documents for hnRNP A2B1 Antibody - BSA Free

Certificate of Analysis

To download a Certificate of Analysis, please enter a lot number in the search box below.

Product Specific Notices for hnRNP A2B1 Antibody - BSA Free

This product is for research use only and is not approved for use in humans or in clinical diagnosis. Primary Antibodies are guaranteed for 1 year from date of receipt.

Loading...
Loading...
Loading...
Loading...