HMGCL Antibody - BSA Free
Novus Biologicals, part of Bio-Techne | Catalog # NBP2-97971
Conjugate
Catalog #
Key Product Details
Species Reactivity
Human
Applications
Immunohistochemistry, Immunohistochemistry-Paraffin, Immunocytochemistry/ Immunofluorescence
Label
Unconjugated
Antibody Source
Polyclonal Rabbit IgG
Format
BSA Free
Concentration
Please see the vial label for concentration. If unlisted please contact technical services.
Product Specifications
Immunogen
Produced in rabbits immunized with E. coli-derived Human HMGCL fragment.
Clonality
Polyclonal
Host
Rabbit
Isotype
IgG
Description
This antibody can be stored at 2C to 8C for one month without detectable loss of activity. Antibody products are stable for twelve months from date of receipt when stored at -20C to -80C. Avoid repeated freeze-thaw cycles.
Scientific Data Images for HMGCL Antibody - BSA Free
Immunohistochemistry-Paraffin: HMGCL Antibody [NBP2-97971]
Immunohistochemistry-Paraffin: HMGCL Antibody [NBP2-97971] - Immunochemical staining of human HMGCL in human liver with rabbit polyclonal antibody at 1:100 dilution, formalin-fixed paraffin embedded sections.Immunohistochemistry-Paraffin: HMGCL Antibody [NBP2-97971]
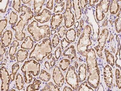
Immunohistochemistry-Paraffin: HMGCL Antibody [NBP2-97971] - Immunochemical staining of human HMGCL in human kidney with rabbit polyclonal antibody at 1:100 dilution, formalin-fixed paraffin embedded sections.Immunocytochemistry/Immunofluorescence: HMGCL Antibody [NBP2-97971] -
Immunocytochemistry/Immunofluorescence: HMGCL Antibody [NBP2-97971] - Immunofluorescence staining of HMGCL in HeLa cells. Cells were fixed with 4% PFA, permeabilzed with 0.1% Triton X-100 in PBS, blocked with 10% serum, and incubated with NBP2-97971 antibody (dilution ratio 1:200) at 4C overnight. Then cells were stained with the Alexa Fluor(R)488-conjugated Goat Anti-rabbit IgG secondary antibody (green) and counterstained with DAPI (blue).Positive staining was localized to Cytoplasm.Applications for HMGCL Antibody - BSA Free
Application
Recommended Usage
Immunocytochemistry/ Immunofluorescence
1:100-1:500
Immunohistochemistry-Paraffin
1:50-1:200
Formulation, Preparation, and Storage
Purification
Antigen and protein A Affinity-purified
Formulation
PBS
Format
BSA Free
Preservative
0.03% Proclin 300
Concentration
Please see the vial label for concentration. If unlisted please contact technical services.
Shipping
The product is shipped with polar packs. Upon receipt, store it immediately at the temperature recommended below.
Stability & Storage
Store at 4C short term. Aliquot and store at -20C long term. Avoid freeze-thaw cycles.
Background: HMGCL
Alternate Names
3-hydroxy-3-methylglutaryl-CoA lyase, 3-hydroxymethyl-3-methylglutaryl-CoA lyase, EC 4.1.3.4, HLmitochondrial
Gene Symbol
HMGCL
Additional HMGCL Products
Product Specific Notices for HMGCL Antibody - BSA Free
This product is for research use only and is not approved for use in humans or in clinical diagnosis. Primary Antibodies are guaranteed for 1 year from date of receipt.
Loading...
Loading...
Loading...
Loading...