Skip to main content

HMGB2 Antibody (3E5) - Azide and BSA Free

Novus Biologicals, part of Bio-Techne | Catalog # H00003148-M05

Novus Biologicals, part of Bio-Techne
Catalog #
Availability
Size / Price
Qty
Loading...
H00003148-M05

Key Product Details

Species Reactivity

Validated:

Human, Mouse

Cited:

Mouse

Applications

Validated:

Immunohistochemistry, Immunohistochemistry-Paraffin, Western Blot, ELISA, Immunocytochemistry/ Immunofluorescence

Cited:

Immunohistochemistry-Paraffin

Label

Unconjugated

Antibody Source

Monoclonal Mouse IgG2a Kappa Clone # 3E5

Format

Azide and BSA Free

Concentration

Concentrations vary lot to lot. See vial label for concentration. If unlisted please contact technical services.

Product Specifications

Immunogen

HMGB2 (AAH00903.2, 1 a.a. ~ 195 a.a) full-length recombinant protein with GST tag. MW of the GST tag alone is 26 KDa. MGKGDPNKPRGKMSSYAFFVQTCREEHKKKHPDSSVNFAEFSKKCSERWKTMSAKEKSKFEDMAKSDKARYDREMKNYVPPKGDKKGKKKDPNAPKRPPSAFFLFCSEHRPKIKSEHPGLSIGDTAKKLGEMWSEQSAKDKQPYEQKAAKLKEKYEKDIAAYRAKGKSEAGKKGPGRPTGSKKKNEPEDEEEEEE

Reactivity Notes

Mouse reactivity reported in scientific literature (PMID: 25284587). Please note that this antibody is reactive to Mouse and derived from the same host, Mouse. Additional Mouse on Mouse blocking steps may be required for IHC and ICC experiments. Please contact Technical Support for more information.

Specificity

HMGB2 (3E5)

Clonality

Monoclonal

Host

Mouse

Isotype

IgG2a Kappa

Description

Quality control test: Antibody Reactive Against Recombinant Protein.

Scientific Data Images for HMGB2 Antibody (3E5) - Azide and BSA Free

Western Blot: HMGB2 Antibody (3E5) [H00003148-M05]

Western Blot: HMGB2 Antibody (3E5) [H00003148-M05]

Western Blot: HMGB2 Antibody (3E5) [H00003148-M05] - Analysis of HMGB2 expression in Hela S3 NE (Cat # L013V3).
Immunocytochemistry/ Immunofluorescence: HMGB2 Antibody (3E5) [H00003148-M05]

Immunocytochemistry/ Immunofluorescence: HMGB2 Antibody (3E5) [H00003148-M05]

Immunocytochemistry/Immunofluorescence: HMGB2 Antibody (3E5) [H00003148-M05] - Analysis of monoclonal antibody to HMGB2 on HeLa cell. Antibody concentration 10 ug/ml
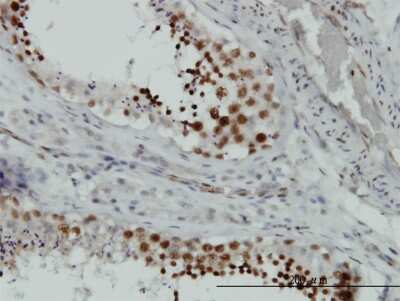
Immunohistochemistry-Paraffin: HMGB2 Antibody (3E5) [H00003148-M05]

Immunohistochemistry-Paraffin: HMGB2 Antibody (3E5) [H00003148-M05]

Immunohistochemistry-Paraffin: HMGB2 Antibody (3E5) [H00003148-M05] - Analysis of monoclonal antibody to HMGB2 on formalin-fixed paraffin-embedded human testis. Antibody concentration 3 ug/ml

Applications for HMGB2 Antibody (3E5) - Azide and BSA Free

Application
Recommended Usage

Immunocytochemistry/ Immunofluorescence

1:10-1:500

Immunohistochemistry

1:10-1:500

Immunohistochemistry-Paraffin

1:10-1:500

Western Blot

1:500
Application Notes
Antibody reactivity against cell lysate and recombinant protein for WB. It has also been used for IF, IHC-P and ELISA.

Formulation, Preparation, and Storage

Purification

IgG purified

Formulation

In 1x PBS, pH 7.4

Format

Azide and BSA Free

Preservative

No Preservative

Concentration

Concentrations vary lot to lot. See vial label for concentration. If unlisted please contact technical services.

Shipping

The product is shipped with polar packs. Upon receipt, store it immediately at the temperature recommended below.

Stability & Storage

Aliquot and store at -20C or -80C. Avoid freeze-thaw cycles.

Background: HMGB2

This gene encodes a member of the non-histone chromosomal high mobility group protein family. The proteins of this family are chromatin-associated and ubiquitously distributed in the nucleus of higher eukaryotic cells. In vitro studies have demonstrated that this protein is able to efficiently bend DNA and form DNA circles. These studies suggest a role in facilitating cooperative interactions between cis-acting proteins by promoting DNA flexibility. This protein was also reported to be involved in the final ligation step in DNA end-joining processes of DNA double-strand breaks repair and V(D)J recombination.

Alternate Names

High mobility group protein 2, high mobility group protein B2, high-mobility group box 2, HMG-2, HMG2high-mobility group (nonhistone chromosomal) protein 2

Entrez Gene IDs

3148 (Human)

Gene Symbol

HMGB2

OMIM

163906 (Human)

Additional HMGB2 Products

Product Documents for HMGB2 Antibody (3E5) - Azide and BSA Free

Certificate of Analysis

To download a Certificate of Analysis, please enter a lot number in the search box below.

Product Specific Notices for HMGB2 Antibody (3E5) - Azide and BSA Free

This product is produced by and distributed for Abnova, a company based in Taiwan.

This product is for research use only and is not approved for use in humans or in clinical diagnosis. Primary Antibodies are guaranteed for 1 year from date of receipt.

Loading...
Loading...
Loading...
Loading...