Skip to main content

HLA DRA Antibody (CL10964) - Azide and BSA Free

Novus Biologicals, part of Bio-Techne | Catalog # NBP3-44200

Novus Biologicals, part of Bio-Techne

Key Product Details

Validated by

Orthogonal Validation

Species Reactivity

Human

Applications

Immunohistochemistry-Paraffin, Western Blot

Label

Unconjugated

Antibody Source

Monoclonal Mouse IgG1 Clone # CL10964

Format

Azide and BSA Free

Concentration

LYOPH mg/ml

Product Specifications

Immunogen

This antibody was generated using a synthetic peptide of P01903, with the exact immunogen sequence remaining proprietary.

Clonality

Monoclonal

Host

Mouse

Isotype

IgG1

Description

Novus Biologicals Mouse HLA DRA Antibody (CL10964) - Azide and BSA Free (NBP3-07996) is a monoclonal antibody validated for use in IHC and WB. All Novus Biologicals antibodies are covered by our 100% guarantee.

Scientific Data Images for HLA DRA Antibody (CL10964) - Azide and BSA Free

HLA DRA Antibody (CL10964) - Azide and BSA Free Immunohistochemistry-Paraffin: HLA DRA Antibody [NBP3-44200]

Immunohistochemistry-Paraffin: HLA DRA Antibody [NBP3-44200]

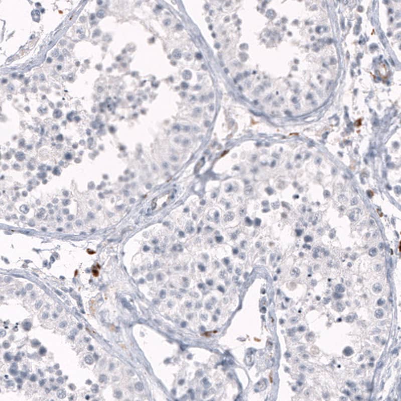
Analysis in human lymph node and testis tissues using NBP3-44200 antibody. Corresponding HLA DRA RNA-seq data are presented for the same tissues.
HLA DRA Antibody (CL10964) - Azide and BSA Free Immunohistochemistry-Paraffin: HLA DRA Antibody [NBP3-44200]

Immunohistochemistry-Paraffin: HLA DRA Antibody [NBP3-44200]

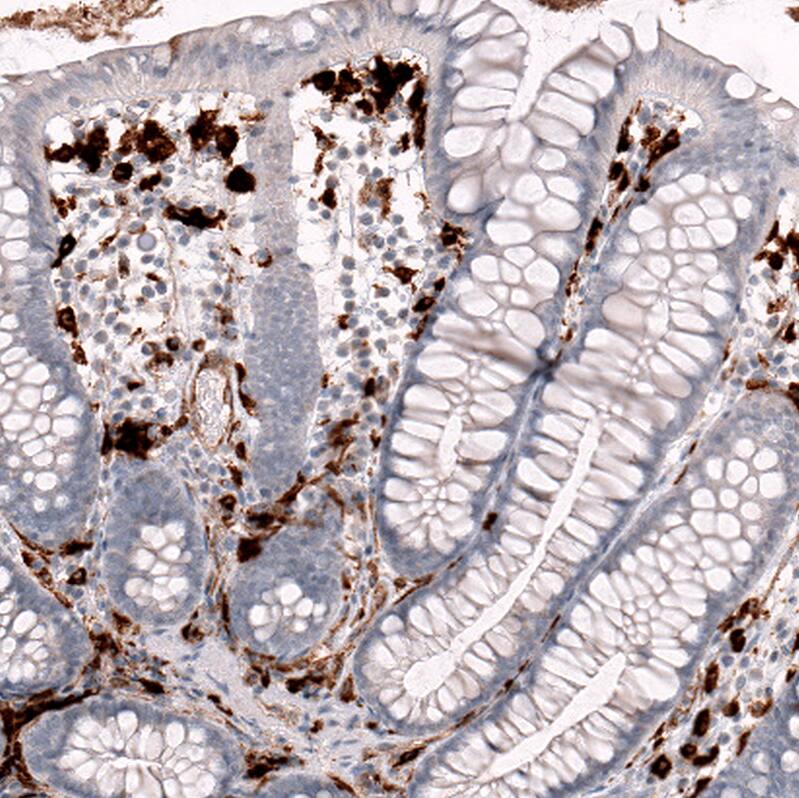
Staining of human colon shows strong cytoplasmic positivity in lymphoid cells.
HLA DRA Antibody (CL10964) - Azide and BSA Free Immunohistochemistry-Paraffin: HLA DRA Antibody [NBP3-44200]

Immunohistochemistry-Paraffin: HLA DRA Antibody [NBP3-44200]

Staining of human cerebral cortex (Alzheimer disease) shows strong cytoplasmic positivity in microglia.

Applications for HLA DRA Antibody (CL10964) - Azide and BSA Free

Application
Recommended Usage

Immunohistochemistry-Paraffin

1:2000 - 1:5000

Western Blot

1 ug/ml
Application Notes
For IHC-Paraffin, HIER pH 6 retrieval is recommended.

Formulation, Preparation, and Storage

Purification

Protein A purified

Reconstitution

Centrifuge the vial of lyophilized antibody at 12,000 x g for 20 seconds. Reconstitute by adding sterile, distilled water to achieve a final antibody concentration of 1mg/ml.

Formulation

Lyophilized from a 0.2 um filtered solution in PBS with Trehalose

Format

Azide and BSA Free

Preservative

No Preservative

Concentration

LYOPH mg/ml

Shipping

The product is shipped at ambient temperature. Upon receipt, store it immediately at the temperature recommended below.

Stability & Storage

Store at 4C short term. Aliquot and store at -20C long term. Avoid freeze-thaw cycles.

Background: HLA DRA

HLA-DRA is one of the HLA class II alpha chain paralogues. This class II molecule is a heterodimer consisting of an alpha and a beta chain, both anchored in the membrane. It plays a central role in the immune system by presenting peptides derived from extracellular proteins. Class II molecules are expressed in antigen presenting cells (APC: B lymphocytes, dendritic cells, macrophages). The alpha chain is approximately 33-35 kDa and its gene contains 5 exons. Exon 1 encodes the leader peptide, exons 2 and 3 encode the two extracellular domains, and exon 4 encodes the transmembrane domain and the cytoplasmic tail. DRA does not have polymorphisms in the peptide binding part and acts as the sole alpha chain for DRB1, DRB3, DRB4 and DRB5.

Alternate Names

FLJ51114, histocompatibility antigen HLA-DR alpha, HLA class II histocompatibility antigen, DR alpha chain, HLA-DRA1, major histocompatibility complex, class II, DR alpha, MHC cell surface glycoprotein, MHC class II antigen DRA, MLRW

Gene Symbol

HLA-DRA

Additional HLA DRA Products

Product Documents for HLA DRA Antibody (CL10964) - Azide and BSA Free

Certificate of Analysis

To download a Certificate of Analysis, please enter a lot number in the search box below.

Product Specific Notices for HLA DRA Antibody (CL10964) - Azide and BSA Free

This product is for research use only and is not approved for use in humans or in clinical diagnosis. Primary Antibodies are guaranteed for 1 year from date of receipt.

Loading...
Loading...
Loading...
Loading...
Loading...