Skip to main content

HLA DRA Antibody (19-26.1 (same as MB-26.1)) - Azide and BSA Free

Novus Biologicals, part of Bio-Techne | Catalog # NBP3-11518

Novus Biologicals, part of Bio-Techne
Catalog #
Availability
Size / Price
Qty
Loading...
NBP3-11518

Key Product Details

Species Reactivity

Human

Applications

Immunohistochemistry, Immunohistochemistry-Paraffin, Flow Cytometry, Immunofluorescence, Immunocytochemistry/ Immunofluorescence

Label

Unconjugated

Antibody Source

Monoclonal Mouse IgG2a Kappa Clone # 19-26.1 (same as MB-26.1)

Format

Azide and BSA Free

Concentration

1 mg/ml

Product Specifications

Immunogen

Raji cells

Localization

Cell surface

Specificity

This monoclonal antibody reacts with the HLA-DR antigen, a member of MHC class II molecules. It does not cross react with HLA-DP and HLA-DQ. HLA-DR is a heterodimeric cell surface glycoprotein comprised of a 36kDa alpha (heavy) chain and a 28kDa beta (light) chain. It is expressed on B-cells, activated T-cells, monocytes/macrophages, dendritic cells and other non-professional APCs. In conjunction with the CD3/TCR complex and CD4 molecules, HLA-DR is critical for efficient peptide presentation to CD4+ T cells. It is an excellent histiocytic marker in paraffin sections producing intense cytoplasmic staining. True histiocytic neoplasms are similarly positive. HLA-DR antigens also occur on a variety of epithelial cells and their corresponding neoplastic counterparts.

Clonality

Monoclonal

Host

Mouse

Isotype

IgG2a Kappa

Description

1.0 mg/ml of antibody purified from Bioreactor Concentrate by Protein A/G. Prepared in 10mM PBS WITHOUT BSA & azide. Also available at 200 ug/ml WITH BSA & azide (NBP2-45044).

Antibody with azide - store at 2 to 8C. Antibody without azide - store at -20 to -80C.

Scientific Data Images for HLA DRA Antibody (19-26.1 (same as MB-26.1)) - Azide and BSA Free

HLA DRA Antibody (19-26.1 (same as MB-26.1)) - Azide and BSA Free Flow Cytometry: HLA DRA Antibody (19-26.1 (same as MB-26.1)) - Azide and BSA Free [NBP3-11518] -

Flow Cytometry: HLA DRA Antibody (19-26.1 (same as MB-26.1)) - Azide and BSA Free [NBP3-11518] -

Flow Cytometry: HLA DRA Antibody (19-26.1 (same as MB-26.1)) - Azide and BSA Free [NBP3-11518] - Flow Cytometric Analysis of Raji cells. HLA DRA Antibody (19-26.1 (same as MB-26.1)) followed by goat anti-Mouse IgG-CF488 (Blue); Isotype control (Red).
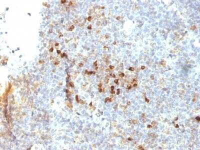
HLA DRA Antibody (19-26.1 (same as MB-26.1)) - Azide and BSA Free Immunohistochemistry-Paraffin: HLA DRA Antibody (19-26.1 (same as MB-26.1)) - Azide and BSA Free [NBP3-11518] -

Immunohistochemistry-Paraffin: HLA DRA Antibody (19-26.1 (same as MB-26.1)) - Azide and BSA Free [NBP3-11518] -

Immunohistochemistry-Paraffin: HLA DRA Antibody (19-26.1 (same as MB-26.1)) - Azide and BSA Free [NBP3-11518] - Human Tonsil stained with HLA-DRA Monoclonal Antibody (19-26.1).

Applications for HLA DRA Antibody (19-26.1 (same as MB-26.1)) - Azide and BSA Free

Application
Recommended Usage

Flow Cytometry

0.5 - 1 ug/million cells in 0.1 ml

Immunocytochemistry/ Immunofluorescence

1-2 ug/ml

Immunofluorescence

0.5 - 1.0 ug/ml

Immunohistochemistry-Paraffin

1 - 2 ug/ml
Application Notes
Immunohistochemistry (Formalin-fixed): 1-2ug/ml for 30 minutes at RT. Staining of formalin-fixed tissues requires heating tissue sections in 10mM Tris with 1mM EDTA, pH 9.0, for 45 min at 95C followed by cooling at RT for 20 minutes.
Optimal dilution for a specific application should be determined.

Formulation, Preparation, and Storage

Purification

Protein A or G purified

Formulation

10 mM PBS

Format

Azide and BSA Free

Preservative

No Preservative

Concentration

1 mg/ml

Shipping

The product is shipped with polar packs. Upon receipt, store it immediately at the temperature recommended below.

Stability & Storage

Store at -20 to -80C. Avoid freeze-thaw cycles.

Background: HLA DRA

HLA-DRA is one of the HLA class II alpha chain paralogues. This class II molecule is a heterodimer consisting of an alpha and a beta chain, both anchored in the membrane. It plays a central role in the immune system by presenting peptides derived from extracellular proteins. Class II molecules are expressed in antigen presenting cells (APC: B lymphocytes, dendritic cells, macrophages). The alpha chain is approximately 33-35 kDa and its gene contains 5 exons. Exon 1 encodes the leader peptide, exons 2 and 3 encode the two extracellular domains, and exon 4 encodes the transmembrane domain and the cytoplasmic tail. DRA does not have polymorphisms in the peptide binding part and acts as the sole alpha chain for DRB1, DRB3, DRB4 and DRB5.

Alternate Names

FLJ51114, histocompatibility antigen HLA-DR alpha, HLA class II histocompatibility antigen, DR alpha chain, HLA-DRA1, major histocompatibility complex, class II, DR alpha, MHC cell surface glycoprotein, MHC class II antigen DRA, MLRW

Gene Symbol

HLA-DRA

Additional HLA DRA Products

Product Documents for HLA DRA Antibody (19-26.1 (same as MB-26.1)) - Azide and BSA Free

Certificate of Analysis

To download a Certificate of Analysis, please enter a lot number in the search box below.

Product Specific Notices for HLA DRA Antibody (19-26.1 (same as MB-26.1)) - Azide and BSA Free

This product is for research use only and is not approved for use in humans or in clinical diagnosis. Primary Antibodies are guaranteed for 1 year from date of receipt.

Loading...
Loading...
Loading...
Loading...
Loading...