Skip to main content

Histone H2B [ac Lys20] Antibody (PS01-46)

Novus Biologicals, part of Bio-Techne | Catalog # NBP3-32427

Recombinant Monoclonal Antibody
Novus Biologicals, part of Bio-Techne
Catalog #
Availability
Size / Price
Qty
Loading...
NBP3-32427

Key Product Details

Species Reactivity

Human, Mouse, Rat

Applications

Immunocytochemistry/ Immunofluorescence, Immunohistochemistry, Immunohistochemistry-Paraffin, Western Blot

Label

Unconjugated

Antibody Source

Recombinant Monoclonal Rabbit IgG Clone # PS01-46 expressed in HEK293

Concentration

1 mg/ml

Product Specifications

Immunogen

Synthetic peptide. (Uniprot: O60814)

Modification

ac Lys 20

Localization

Nucleus, Chromosome.

Clonality

Monoclonal

Host

Rabbit

Isotype

IgG

Theoretical MW

14 kDa.
Disclaimer note: The observed molecular weight of the protein may vary from the listed predicted molecular weight due to post translational modifications, post translation cleavages, relative charges, and other experimental factors.

Description

Novus Biologicals Rabbit Histone H2B [ac Lys20] Antibody (PS01-46) (NBP3-32427) is a recombinant monoclonal antibody validated for use in IHC, WB and ICC/IF. All Novus Biologicals antibodies are covered by our 100% guarantee.

Scientific Data Images for Histone H2B [ac Lys20] Antibody (PS01-46)

Histone H2B [ac Lys20] Antibody (PS01-46)

Western Blot: Histone H2B [ac Lys20] Antibody (PS01-46) [NBP3-32427]

Western Blot: Histone H2B [ac Lys20] Antibody (PS01-46) [NBP3-32427] - Western blot analysis of Histone H2B on different lysates with Rabbit anti-Histone H2B antibody (NBP3-32427) at 1/1,000 dilution.

Lane 1: Hela whole cell lysate
Lane 2: Hela treated with 500 ng/ml TSA for 4 hours whole cell lysate

Lysates/proteins at 20 ug/Lane.

Predicted band size: 14 kDa
Observed band size: 14 kDa

Exposure time: 2 minutes;

15% SDS-PAGE gel.

Proteins were transferred to a PVDF membrane and blocked with 5% NFDM/TBST for 1 hour at room temperature. The primary antibody (NBP3-32427) at 1/1,000 dilution was used in 5% NFDM/TBST at room temperature for 2 hours. Goat Anti-Rabbit IgG - HRP Secondary Antibody at 1:300,000 dilution was used for 1 hour at room temperature.
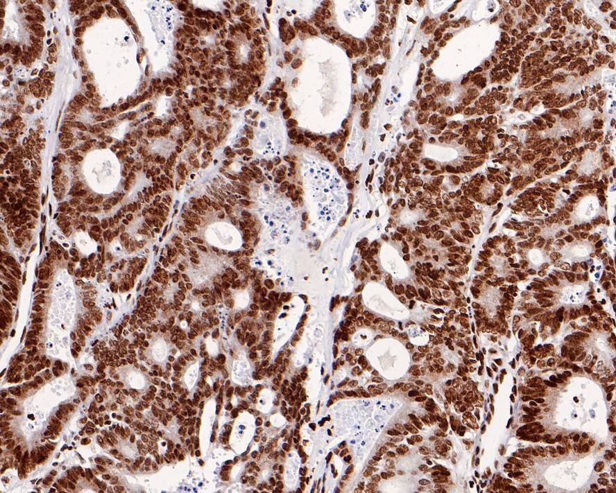
Histone H2B [ac Lys20] Antibody (PS01-46)

Immunohistochemistry: Histone H2B [ac Lys20] Antibody (PS01-46) [NBP3-32427]

Immunohistochemistry: Histone H2B [ac Lys20] Antibody (PS01-46) [NBP3-32427] - Immunohistochemical analysis of paraffin-embedded human colon carcinoma tissue with Rabbit anti-Histone H2B antibody (NBP3-32427) at 1/1,000 dilution.

The section was pre-treated using heat mediated antigen retrieval with sodium citrate buffer (pH 6.0) for 2 minutes. The tissues were blocked in 1% BSA for 20 minutes at room temperature, washed with ddH2O and PBS, and then probed with the primary antibody (NBP3-32427) at 1/1,000 dilution for 1 hour at room temperature. The detection was performed using an HRP conjugated compact polymer system. DAB was used as the chromogen. Tissues were counterstained with hematoxylin and mounted with DPX.
Histone H2B [ac Lys20] Antibody (PS01-46)

Immunocytochemistry/ Immunofluorescence: Histone H2B [ac Lys20] Antibody (PS01-46) [NBP3-32427]

Immunocytochemistry/ Immunofluorescence: Histone H2B [ac Lys20] Antibody (PS01-46) [NBP3-32427] - Immunocytochemistry analysis of Hela cells labeling Histone H2B with Rabbit anti-Histone H2B antibody (NBP3-32427) at 1/50 dilution.

Cells were fixed in 4% paraformaldehyde for 10 minutes at 37 ℃, permeabilized with 0.05% Triton X-100 in PBS for 20 minutes, and then blocked with 2% negative goat serum for 30 minutes at room temperature. Cells were then incubated with Rabbit anti-Histone H2B antibody (NBP3-32427) at 1/50 dilution in 2% negative goat serum overnight at 4 ℃. Goat Anti-Rabbit IgG H&L (iFluor™ 488) was used as the secondary antibody at 1/1,000 dilution. PBS instead of the primary antibody was used as the secondary antibody only control. Nuclear DNA was labelled in blue with DAPI.

Applications for Histone H2B [ac Lys20] Antibody (PS01-46)

Application
Recommended Usage

Immunocytochemistry/ Immunofluorescence

1:50

Immunohistochemistry-Paraffin

1:1000

Western Blot

1:1000

Formulation, Preparation, and Storage

Purification

Protein A purified

Formulation

PBS (pH7.4), 0.1% BSA and 40% Glycerol

Preservative

0.05% Sodium Azide

Concentration

1 mg/ml

Shipping

The product is shipped with polar packs. Upon receipt, store it immediately at the temperature recommended below.

Stability & Storage

Store at 4C short term. Aliquot and store at -20C long term. Avoid freeze-thaw cycles.

Background: Histone H2B

Core component of nucleosome. Nucleosomes wrap and compact DNA into chromatin, limiting DNA accessibility tothe cellular machineries which require DNA as a template. Histones thereby play a central role in transcriptionregulation, DNA repair, DNA replication and chromosomal stability. DNA accessibility is regulated via a complex set ofpost-translational modifications of histones, also called histone code, and nucleosome remodeling

Long Name

H2B Histone Family

Alternate Names

HIST1H2BK

Gene Symbol

H2BC18

Additional Histone H2B Products

Product Documents for Histone H2B [ac Lys20] Antibody (PS01-46)

Certificate of Analysis

To download a Certificate of Analysis, please enter a lot number in the search box below.

Product Specific Notices for Histone H2B [ac Lys20] Antibody (PS01-46)

This product is for research use only and is not approved for use in humans or in clinical diagnosis. Primary Antibodies are guaranteed for 1 year from date of receipt.

Loading...
Loading...
Loading...
Loading...