Histone H2B [ac Lys20] Antibody (GT578) - Azide and BSA Free
Novus Biologicals, part of Bio-Techne | Catalog # NBP3-13538
Key Product Details
Validated by
Biological Validation
Species Reactivity
Human
Applications
Immunocytochemistry/ Immunofluorescence, Western Blot
Label
Unconjugated
Antibody Source
Monoclonal Mouse IgG1 Clone # GT578
Format
Azide and BSA Free
Concentration
Concentrations vary lot to lot. See vial label for concentration. If unlisted please contact technical services.
Product Specifications
Immunogen
Carrier-protein conjugated synthetic peptide surrounding acetyl Lys20 of human Histone H2B. The exact sequence is proprietary.
Modification
ac Lys 20
Clonality
Monoclonal
Host
Mouse
Isotype
IgG1
Description
Centrifuge briefly prior to opening.
Scientific Data Images for Histone H2B [ac Lys20] Antibody (GT578) - Azide and BSA Free
Immunocytochemistry/Immunofluorescence: Histone H2B [ac Lys20] Antibody (GT578) [NBP3-13538] - Histone H2B (acetyl Lys20) antibody [GT578] detects Histone H2B (acetyl Lys20) protein at nucleus by immunofluorescent analysis. Sample: Mock and treated HeLa cells were fixed in 4% paraformaldehyde at RT for 15 min. Green: Histone H2B (acetyl Lys20) stained by Histone H2B (acetyl Lys20) antibody [GT578] (NBP3-13538) diluted at 1:500. Red: phalloidin, a cytoskeleton marker, diluted at 1:100. Scale bar= 10 um.
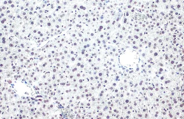
Immunohistochemistry-Paraffin: Histone H2B [ac Lys20] Antibody (GT578) [NBP3-13538] -
Immunohistochemistry-Paraffin: Histone H2B [ac Lys20] Antibody (GT578) [NBP3-13538] - Histone H2B antibody [GT578] detects Histone H2B protein at nucleus by immunohistochemical analysis.Sample: Paraffin-embedded mouse liver.Histone H2B stained by Histone H2B antibody [GT578] (NBP3-13538) diluted at 1:200.Antigen Retrieval: Citrate buffer, pH 6.0, 15 minApplications for Histone H2B [ac Lys20] Antibody (GT578) - Azide and BSA Free
Application
Recommended Usage
Immunocytochemistry/ Immunofluorescence
Optimal dilutions of this antibody should be experimentally determined.
Western Blot
Optimal dilutions of this antibody should be experimentally determined.
Formulation, Preparation, and Storage
Purification
Protein G purified
Formulation
PBS
Format
Azide and BSA Free
Preservative
No Preservative
Concentration
Concentrations vary lot to lot. See vial label for concentration. If unlisted please contact technical services.
Shipping
The product is shipped with polar packs. Upon receipt, store it immediately at the temperature recommended below.
Stability & Storage
Store at 4C short term. Aliquot and store at -20C long term. Avoid freeze-thaw cycles.
Background: Histone H2B
Long Name
H2B Histone Family
Alternate Names
HIST1H2BK
Gene Symbol
H2BC18
Additional Histone H2B Products
Product Documents for Histone H2B [ac Lys20] Antibody (GT578) - Azide and BSA Free
Product Specific Notices for Histone H2B [ac Lys20] Antibody (GT578) - Azide and BSA Free
This product is for research use only and is not approved for use in humans or in clinical diagnosis. Primary Antibodies are guaranteed for 1 year from date of receipt.
Loading...
Loading...
Loading...
Loading...