Skip to main content

Histone H2B [Monomethyl Lys116] Antibody (3R10S2)

Novus Biologicals, part of Bio-Techne | Catalog # NBP3-33182

Novus Biologicals, part of Bio-Techne
Catalog #
Availability
Size / Price
Qty
Loading...
NBP3-33182-100ul
NBP3-33182-20ul

Key Product Details

Species Reactivity

Human, Mouse, Rat

Applications

ELISA, Immunohistochemistry, Immunohistochemistry-Paraffin

Label

Unconjugated

Antibody Source

Monoclonal Rabbit IgG Clone # 3R10S2

Concentration

Please see the vial label for concentration. If unlisted please contact technical services.

Product Specifications

Immunogen

A synthesized peptide derived from human Histone H2B (mono methyl K116).

Modification

Monomethyl Lys116

Clonality

Monoclonal

Host

Rabbit

Isotype

IgG

Theoretical MW

14 kDa.
Disclaimer note: The observed molecular weight of the protein may vary from the listed predicted molecular weight due to post translational modifications, post translation cleavages, relative charges, and other experimental factors.

Description

Novus Biologicals Rabbit Histone H2B [Monomethyl Lys116] Antibody (3R10S2) (NBP3-33182) is a monoclonal antibody validated for use in IHC and ELISA. All Novus Biologicals antibodies are covered by our 100% guarantee.

Scientific Data Images for Histone H2B [Monomethyl Lys116] Antibody (3R10S2)

Histone H2B [Monomethyl Lys116] Antibody (3R10S2)

Immunohistochemistry: Histone H2B [Monomethyl Lys116] Antibody (3R10S2) [NBP3-33182] -

Immunohistochemistry: Histone H2B [Monomethyl Lys116] Antibody (3R10S2) [NBP3-33182] - Immunohistochemistry analysis of paraffin-embedded Mouse spleen using Histone H2B Rabbit mAb at dilution of 1:100 (40x lens). High pressure antigen retrieval performed with 0.01M Citrate Bufferr (pH 6.0) prior to IHC staining.
Histone H2B [Monomethyl Lys116] Antibody (3R10S2)

Immunohistochemistry: Histone H2B [Monomethyl Lys116] Antibody (3R10S2) [NBP3-33182] -

Immunohistochemistry: Histone H2B [Monomethyl Lys116] Antibody (3R10S2) [NBP3-33182] - Immunohistochemistry analysis of paraffin-embedded Rat heart using Histone H2B Rabbit mAb at dilution of 1:100 (40x lens). High pressure antigen retrieval performed with 0.01M Citrate Bufferr (pH 6.0) prior to IHC staining.
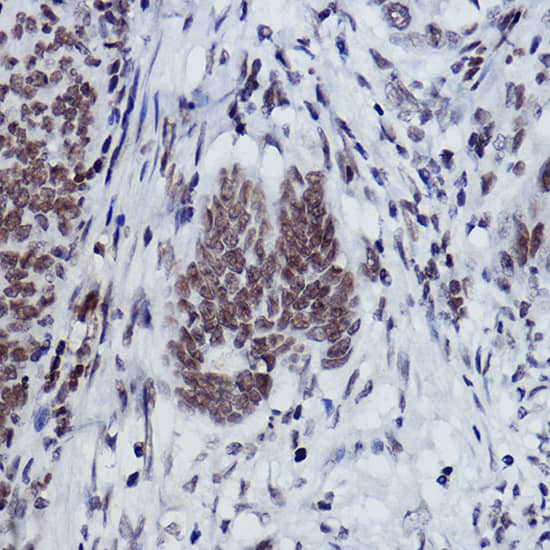
Histone H2B [Monomethyl Lys116] Antibody (3R10S2)

Immunohistochemistry: Histone H2B [Monomethyl Lys116] Antibody (3R10S2) [NBP3-33182] -

Immunohistochemistry: Histone H2B [Monomethyl Lys116] Antibody (3R10S2) [NBP3-33182] - Immunohistochemistry analysis of paraffin-embedded Human colon carcinoma using Histone H2B Rabbit mAb at dilution of 1:100 (40x lens). High pressure antigen retrieval performed with 0.01M Citrate Bufferr (pH 6.0) prior to IHC staining.

Applications for Histone H2B [Monomethyl Lys116] Antibody (3R10S2)

Application
Recommended Usage

ELISA

Recommended starting concentration is 1 ug/mL

Immunohistochemistry-Paraffin

1:50 - 1:200

Formulation, Preparation, and Storage

Purification

Affinity purified

Formulation

PBS (pH 7.3), 50% glycerol, 0.05% BSA

Preservative

0.02% Sodium Azide

Concentration

Please see the vial label for concentration. If unlisted please contact technical services.

Shipping

The product is shipped with polar packs. Upon receipt, store it immediately at the temperature recommended below.

Stability & Storage

Store at -20C. Avoid freeze-thaw cycles.

Background: Histone H2B

Core component of nucleosome. Nucleosomes wrap and compact DNA into chromatin, limiting DNA accessibility tothe cellular machineries which require DNA as a template. Histones thereby play a central role in transcriptionregulation, DNA repair, DNA replication and chromosomal stability. DNA accessibility is regulated via a complex set ofpost-translational modifications of histones, also called histone code, and nucleosome remodeling

Long Name

H2B Histone Family

Alternate Names

HIST1H2BK

Gene Symbol

H2BC21

Additional Histone H2B Products

Product Documents for Histone H2B [Monomethyl Lys116] Antibody (3R10S2)

Certificate of Analysis

To download a Certificate of Analysis, please enter a lot number in the search box below.

Product Specific Notices for Histone H2B [Monomethyl Lys116] Antibody (3R10S2)

This product is for research use only and is not approved for use in humans or in clinical diagnosis. Primary Antibodies are guaranteed for 1 year from date of receipt.

Loading...
Loading...
Loading...
Loading...