Skip to main content

Histone H2A.Z Antibody (ST46-09)

Novus Biologicals, part of Bio-Techne | Catalog # NBP2-67499

Recombinant Monoclonal Antibody
Novus Biologicals, part of Bio-Techne
Catalog #
Availability
Size / Price
Qty
Loading...
NBP2-67499

Key Product Details

Validated by

Biological Validation

Species Reactivity

Human, Mouse, Rat

Applications

Immunohistochemistry, Immunohistochemistry-Paraffin, Western Blot, Immunocytochemistry/ Immunofluorescence

Label

Unconjugated

Antibody Source

Recombinant Monoclonal Rabbit IgG Clone # ST46-09 expressed in HEK293

Concentration

1 mg/ml

Product Specifications

Immunogen

Synthetic peptide within human Histone H2A.Z aa 1-50. (SwissProt: P0C0S5 Human; SwissProt: P0C0S6 Mouse; SwissProt: P0C0S7 Rat)

Localization

Nucleus, Chromosome, Nucleosome core.

Clonality

Monoclonal

Host

Rabbit

Isotype

IgG

Description

Novus Biologicals Rabbit Histone H2A.Z Antibody (ST46-09) (NBP2-67499) is a recombinant monoclonal antibody validated for use in IHC, WB and ICC/IF. All Novus Biologicals antibodies are covered by our 100% guarantee.

Scientific Data Images for Histone H2A.Z Antibody (ST46-09)

Immunocytochemistry/ Immunofluorescence: Histone H2A.Z Antibody (ST46-09) [NBP2-67499]

Immunocytochemistry/ Immunofluorescence: Histone H2A.Z Antibody (ST46-09) [NBP2-67499]

Immunocytochemistry/Immunofluorescence: Histone H2A.Z Antibody (ST46-09) [NBP2-67499] - Staining of Histone H2A.Z in Hela cells (green). Formalin fixed cells were permeabilized with 0.1% Triton X-100 in TBS for 10 minutes at room temperature and blocked with 1% Blocker BSA for 15 minutes at room temperature. Cells were probed with the primary antibody (1/50) for 1 hour at room temperature, washed with PBS. Alexa Fluor®488 Goat anti-Rabbit IgG was used as the secondary antibody at 1/1,000 dilution. The nuclear counter stain is DAPI (blue).
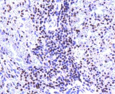
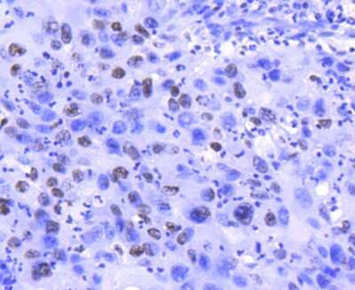
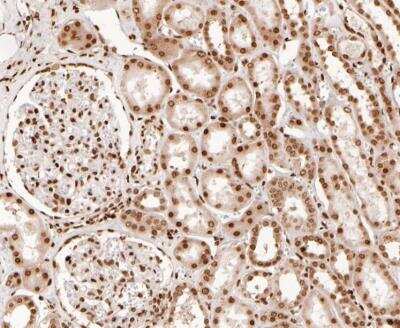
Immunohistochemistry-Paraffin: Histone H2A.Z Antibody (ST46-09) [NBP2-67499]

Immunohistochemistry-Paraffin: Histone H2A.Z Antibody (ST46-09) [NBP2-67499]

Immunohistochemistry-Paraffin: Histone H2A.Z Antibody (ST46-09) [NBP2-67499] - Human kidney tissue with Rabbit anti-Histone H2A.Z antibody at 1/200 dilution.The section was pre-treated using heat mediated antigen retrieval with sodium citrate buffer (pH 6.0) for 2 minutes. The tissues were blocked in 1% BSA for 20 minutes at room temperature, washed with ddH2O and PBS, and then probed with the primary antibody at 1/200 dilution for 1 hour at room temperature. The detection was performed using an HRP conjugated compact polymer system. DAB was used as the chromogen. Tissues were counterstained with hematoxylin and mounted with DPX.
Immunocytochemistry/ Immunofluorescence: Histone H2A.Z Antibody (ST46-09) [NBP2-67499]

Immunocytochemistry/ Immunofluorescence: Histone H2A.Z Antibody (ST46-09) [NBP2-67499]

Immunocytochemistry/Immunofluorescence: Histone H2A.Z Antibody (ST46-09) [NBP2-67499] - Staining Histone H2A.Z in Hela cells (green). The nuclear counter stain is DAPI (blue). Cells were fixed in paraformaldehyde, permeabilised with 0.25% Triton X100/PBS.

Applications for Histone H2A.Z Antibody (ST46-09)

Application
Recommended Usage

Immunocytochemistry/ Immunofluorescence

1:50-1:200

Immunohistochemistry-Paraffin

1:50-1:200

Western Blot

1:500-1:1000

Formulation, Preparation, and Storage

Purification

Protein A purified

Formulation

TBS (pH7.4), 0.05% BSA, 40% Glycerol

Preservative

0.05% Sodium Azide

Concentration

1 mg/ml

Shipping

The product is shipped with polar packs. Upon receipt, store it immediately at the temperature recommended below.

Stability & Storage

Store at 4C short term. Aliquot and store at -20C long term. Avoid freeze-thaw cycles.

Background: Histone H2A.Z

Alternate Names

H2A histone family, member Z, H2A.Z, H2A/z, H2AZ histone, H2AZMGC117173, histone H2A.Z

Gene Symbol

H2AZ1

Additional Histone H2A.Z Products

Product Documents for Histone H2A.Z Antibody (ST46-09)

Certificate of Analysis

To download a Certificate of Analysis, please enter a lot number in the search box below.

Product Specific Notices for Histone H2A.Z Antibody (ST46-09)

This product is for research use only and is not approved for use in humans or in clinical diagnosis. Primary Antibodies are guaranteed for 1 year from date of receipt.

Loading...
Loading...
Loading...
Loading...