Skip to main content

Histone Deacetylase 2/HDAC2 Antibody (OTI7E10)

Novus Biologicals, part of Bio-Techne | Catalog # NBP2-45949

Novus Biologicals, part of Bio-Techne
Catalog #
Availability
Size / Price
Qty
Loading...
NBP2-45949

Key Product Details

Species Reactivity

Human, Mouse, Rat

Applications

Immunohistochemistry, Immunohistochemistry-Paraffin, Western Blot

Label

Unconjugated

Antibody Source

Monoclonal Mouse IgG1 Clone # OTI7E10

Concentration

1 mg/ml

Product Specifications

Immunogen

Human recombinant protein fragment corresponding to amino acids 415-488 of human HDAC2(NP_001518) produced in E.coli.

Reactivity Notes

Please note that this antibody is reactive to Mouse and derived from the same host, Mouse. Mouse-On-Mouse blocking reagent may be needed for IHC and ICC experiments to reduce high background signal. You can find these reagents under catalog numbers PK-2200-NB and MP-2400-NB. Please contact Technical Support if you have any questions.

Clonality

Monoclonal

Host

Mouse

Isotype

IgG1

Theoretical MW

55.8 kDa.
Disclaimer note: The observed molecular weight of the protein may vary from the listed predicted molecular weight due to post translational modifications, post translation cleavages, relative charges, and other experimental factors.

Description

Novus Biologicals Mouse Histone Deacetylase 2/HDAC2 Antibody (OTI7E10) (NBP2-45949) is a monoclonal antibody validated for use in IHC and WB. All Novus Biologicals antibodies are covered by our 100% guarantee.

Scientific Data Images for Histone Deacetylase 2/HDAC2 Antibody (OTI7E10)

Western Blot: Histone Deacetylase 2/HDAC2 Antibody (OTI7E10) [NBP2-45949]

Western Blot: Histone Deacetylase 2/HDAC2 Antibody (OTI7E10) [NBP2-45949]

Western Blot: Histone Deacetylase 2/HDAC2 Antibody (7E10) [NBP2-45949] - Analysis of HEK293T cells were transfected with the pCMV6-ENTRY control (Left lane) or pCMV6-ENTRY HDAC2.
Immunohistochemistry: Histone Deacetylase 2/HDAC2 Antibody (OTI7E10) [NBP2-45949]

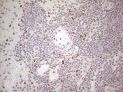
Immunohistochemistry: Histone Deacetylase 2/HDAC2 Antibody (OTI7E10) [NBP2-45949]

Immunohistochemistry: Histone Deacetylase 2/HDAC2 Antibody (7E10) [NBP2-45949] - Analysis of Human tonsil tissue. (Heat-induced epitope retrieval by 1mM EDTA in 10mM Tris buffer (pH8.5) at 120C for 3 min)
Immunohistochemistry: Histone Deacetylase 2/HDAC2 Antibody (OTI7E10) [NBP2-45949]

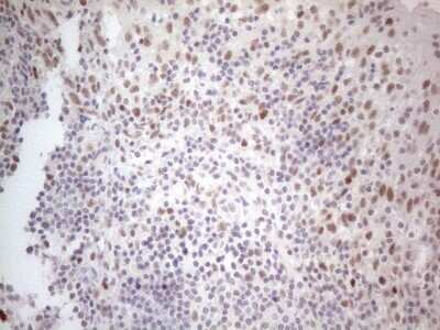
Immunohistochemistry: Histone Deacetylase 2/HDAC2 Antibody (OTI7E10) [NBP2-45949]

Immunohistochemistry: Histone Deacetylase 2/HDAC2 Antibody (7E10) [NBP2-45949] - Analysis of Human colon tissue. (Heat-induced epitope retrieval by 1mM EDTA in 10mM Tris buffer (pH8.5) at 120C for 3 min)

Applications for Histone Deacetylase 2/HDAC2 Antibody (OTI7E10)

Application
Recommended Usage

Immunohistochemistry

1:150

Western Blot

1:2000

Formulation, Preparation, and Storage

Purification

Immunogen affinity purified

Formulation

PBS (pH 7.3), 1.0% BSA and 50% Glycerol

Preservative

0.02% Sodium Azide

Concentration

1 mg/ml

Shipping

The product is shipped with polar packs. Upon receipt, store it immediately at the temperature recommended below.

Stability & Storage

Store at -20C. Avoid freeze-thaw cycles.

Background: Histone Deacetylase 2/HDAC2

Histone deacetylase 2 (HDAC2), or transcriptional regulator homolog RPD3 L1, is highly homologous to the yeast transcription factor RPD3 (reduced potassium dependency 3) gene. As in yeast, human HDA2 is likely to be involved in regulating chromatin structure during transcription. It has been implicated to associate with YY1, a mammalian zinc-finger transcription factor, which negatively regulates transcription by tethering RPD3 to DNA as a cofactor. This process is highly conserved from yeast to human.

Long Name

Histone Deacetylase 2

Alternate Names

HDAC2, YAF1

Gene Symbol

HDAC2

Additional Histone Deacetylase 2/HDAC2 Products

Product Documents for Histone Deacetylase 2/HDAC2 Antibody (OTI7E10)

Certificate of Analysis

To download a Certificate of Analysis, please enter a lot number in the search box below.

Product Specific Notices for Histone Deacetylase 2/HDAC2 Antibody (OTI7E10)

This product is for research use only and is not approved for use in humans or in clinical diagnosis. Primary Antibodies are guaranteed for 1 year from date of receipt.

Loading...
Loading...
Loading...
Loading...