Skip to main content

HIST1H3A [ac Lys18] Antibody (30A7) - BSA Free

Novus Biologicals, part of Bio-Techne | Catalog # NBP3-26535

Recombinant monoclonal antibody expressed in HEK293F cells
Novus Biologicals, part of Bio-Techne
Catalog #
Availability
Size / Price
Qty
Loading...
NBP3-26535-100ul
NBP3-26535-50ul

Key Product Details

Species Reactivity

Human

Applications

ELISA, Flow Cytometry, Immunocytochemistry/ Immunofluorescence, Immunohistochemistry

Label

Unconjugated

Antibody Source

Recombinant Monoclonal Rabbit IgG Clone # 30A7 expressed in HEK293

Format

BSA Free

Concentration

Please see the vial label for concentration. If unlisted please contact technical services.

Product Specifications

Immunogen

A synthesized peptide derived from Human HIST1H3A. The HIST1H3A [ac Lys18] Recombinant Monoclonal Antibody was raised against the peptide PR-(acetyl)K-QL acetylated at K18. [UniProt P68431]

Modification

ac Lys 18

Clonality

Monoclonal

Host

Rabbit

Isotype

IgG

Description

Novus Biologicals Rabbit HIST1H3A [ac Lys18] Antibody (30A7) - BSA Free (NBP3-26535) is a recombinant monoclonal antibody validated for use in IHC, ELISA, Flow and ICC/IF. All Novus Biologicals antibodies are covered by our 100% guarantee.

Scientific Data Images for HIST1H3A [ac Lys18] Antibody (30A7) - BSA Free

HIST1H3A [ac Lys18] Antibody (30A7)

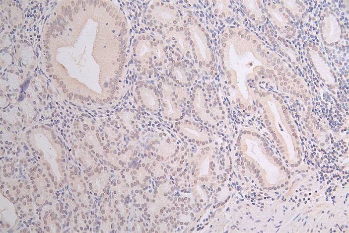
Immunohistochemistry: HIST1H3A [ac Lys18] Antibody (30A7) [NBP3-26535] -

Immunohistochemistry: HIST1H3A [ac Lys18] Antibody (30A7) [NBP3-26535] - Image of HIST1H3A [ac Lys18] Antibody (30A7) diluted at 1:100 and staining in paraffin-embedded human breast cancer performed. After dewaxing and hydration, antigen retrieval was mediated by high pressure in a citrate buffer (pH 6.0). Section was blocked with 10% normal goat serum 30min at RT. Then primary antibody (1% BSA) was incubated at 4C overnight. The primary is detected by a Goat anti-rabbit polymer IgG labeled by HRP and visualized using 0.07% DAB.
HIST1H3A [ac Lys18] Antibody (30A7)

Immunohistochemistry: HIST1H3A [ac Lys18] Antibody (30A7) [NBP3-26535] -

Immunohistochemistry: HIST1H3A [ac Lys18] Antibody (30A7) [NBP3-26535] - Image of HIST1H3A [ac Lys18] Antibody (30A7) diluted at 1:100 and staining in paraffin-embedded human breast cancer performed. After dewaxing and hydration, antigen retrieval was mediated by high pressure in a citrate buffer (pH 6.0). Section was blocked with 10% normal goat serum 30min at RT. Then primary antibody (1% BSA) was incubated at 4°C overnight. The primary is detected by a Goat anti-rabbit polymer IgG labeled by HRP and visualized using 0.07% DAB.
HIST1H3A [ac Lys18] Antibody (30A7)

Immunocytochemistry/Immunofluorescence: HIST1H3A [ac Lys18] Antibody (30A7) [NBP3-26535] -

Immunocytochemistry/Immunofluorescence: HIST1H3A [ac Lys18] Antibody (30A7) [NBP3-26535] - Staining of A549 with HIST1H3A [ac Lys18] Antibody (30A7) at 1:10, counter-stained with DAPI. The cells were fixed in 4% formaldehyde and blocked in 10% normal Goat Serum. The cells were then incubated with the antibody overnight at 4C. The secondary antibody was Alexa Fluor 490-conjugated Goat Anti-Rabbit IgG (H+L).

Applications for HIST1H3A [ac Lys18] Antibody (30A7) - BSA Free

Application
Recommended Usage

Flow Cytometry

1:50-1:200

Immunocytochemistry/ Immunofluorescence

1:50-1:200

Immunohistochemistry

1:50-1:200

Formulation, Preparation, and Storage

Purification

Affinity purified

Formulation

PBS, pH 7.4, 150mM NaCl, and 50% glycerol

Format

BSA Free

Preservative

0.02% Sodium Azide

Concentration

Please see the vial label for concentration. If unlisted please contact technical services.

Shipping

The product is shipped with polar packs. Upon receipt, store it immediately at the temperature recommended below.

Stability & Storage

Store at -20 to -70C. Avoid freeze-thaw cycles.

Background: HIST1H3A

Alternate Names

H3 histone family, member A, H3/A, H3FAHIST1H3E, H3FB, H3FC, H3FD, H3FF, H3FH, H3FI, H3FJ, H3FK, H3FL, HIST1H3B, HIST1H3C, HIST1H3D, HIST1H3F, HIST1H3G, HIST1H3H, HIST1H3I, HIST1H3J, histone 1, H3a, histone cluster 1, H3a, histone H3.1, Histone H3/a, Histone H3/b, Histone H3/c, Histone H3/d, Histone H3/f, Histone H3/h, Histone H3/i, Histone H3/j, Histone H3/k, Histone H3/l

Gene Symbol

H3C1

Additional HIST1H3A Products

Product Documents for HIST1H3A [ac Lys18] Antibody (30A7) - BSA Free

Certificate of Analysis

To download a Certificate of Analysis, please enter a lot number in the search box below.

Product Specific Notices for HIST1H3A [ac Lys18] Antibody (30A7) - BSA Free

This product is for research use only and is not approved for use in humans or in clinical diagnosis. Primary Antibodies are guaranteed for 1 year from date of receipt.

Loading...
Loading...
Loading...
Loading...
Loading...