Skip to main content

HIST1H2BK Antibody (SR3153) - BSA Free

Novus Biologicals, part of Bio-Techne | Catalog # NBP3-27749

Recombinant Monoclonal Antibody
Novus Biologicals, part of Bio-Techne
Catalog #
Availability
Size / Price
Qty
Loading...
NBP3-27749-100ul
NBP3-27749-50ul

Key Product Details

Species Reactivity

Human, Mouse, Rat

Applications

Flow Cytometry, Immunocytochemistry/ Immunofluorescence, Immunohistochemistry, Immunoprecipitation, Western Blot

Label

Unconjugated

Antibody Source

Recombinant Monoclonal Rabbit IgG Clone # SR3153 expressed in HEK293

Format

BSA Free

Concentration

Please see the vial label for concentration. If unlisted please contact technical services.

Product Specifications

Immunogen

A synthesized peptide derived from human HIST1H2BK (Uniprot #: O60814)

Specificity

Detects endogenous levels of HIST1H2BK

Clonality

Monoclonal

Host

Rabbit

Isotype

IgG

Theoretical MW

14 kDa.
Disclaimer note: The observed molecular weight of the protein may vary from the listed predicted molecular weight due to post translational modifications, post translation cleavages, relative charges, and other experimental factors.

Description

Novus Biologicals Rabbit HIST1H2BK Antibody (SR3153) - BSA Free (NBP3-27749) is a recombinant monoclonal antibody validated for use in IHC, WB, Flow, ICC/IF and IP. All Novus Biologicals antibodies are covered by our 100% guarantee.

Scientific Data Images for HIST1H2BK Antibody (SR3153) - BSA Free

Western Blot: HIST1H2BK Antibody (SR3153) [NBP3-27749] -

Western Blot: HIST1H2BK Antibody (SR3153) [NBP3-27749] - Western blot analysis of A431 cell lysate.

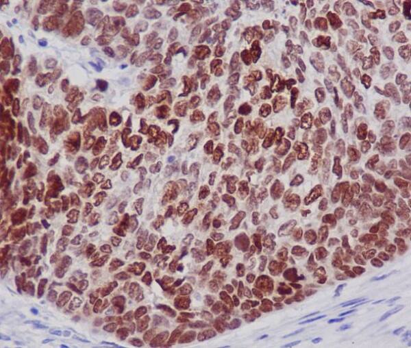
Immunohistochemistry-Paraffin: HIST1H2BK Antibody (SR3153) [NBP3-27749] -

Immunohistochemistry-Paraffin: HIST1H2BK Antibody (SR3153) [NBP3-27749] - Immunohistochemical analysis of paraffin-embedded human lung cancer

Applications for HIST1H2BK Antibody (SR3153) - BSA Free

Application
Recommended Usage

Flow Cytometry

1:50

Immunocytochemistry/ Immunofluorescence

1:50-1:200

Immunohistochemistry

1:50-1:200

Immunoprecipitation

1:30

Western Blot

1:5000-1:20000

Formulation, Preparation, and Storage

Purification

Affinity purified

Formulation

PBS (pH 7.4), 150mM NaCl, 50% glycerol

Format

BSA Free

Preservative

0.02% Sodium Azide

Concentration

Please see the vial label for concentration. If unlisted please contact technical services.

Shipping

The product is shipped with polar packs. Upon receipt, store it immediately at the temperature recommended below.

Stability & Storage

Store at 4C short term. Aliquot and store at -20C long term. Avoid freeze-thaw cycles.

Background: HIST1H2BK

HIST1H2BK is 126 amino acids long, weighs approximately 14 kDa, and the gene codes for a part of a group of basic nuclear proteins called histones, which are responsible for nucleosome structure of the chromosomal fiber in eukaryotes. Current studies are being done on several diseases and disorders including systemic lupus erythematosus, lupus erythematosus, and immunodeficiency. HIST1H2BK has also been shown to have interactions with HIST1H4A, HIST1H4B, HIST1H4C, HIST1H4D, and HIST1H4E in pathways such as the telomere maintenance, nucleosome assembly, cell cycle, and systemic lupus erythematosus pathways.

Alternate Names

H2B histone family, member T, H2B K, H2B/S, H2BFAiii, H2BFT, H2bk, HIRA-interacting protein 1, HIRIP1, histone cluster 1, H2bk, histone family member, histone H2B type 1-K, MGC131989

Gene Symbol

H2BC12

Additional HIST1H2BK Products

Product Documents for HIST1H2BK Antibody (SR3153) - BSA Free

Certificate of Analysis

To download a Certificate of Analysis, please enter a lot number in the search box below.

Product Specific Notices for HIST1H2BK Antibody (SR3153) - BSA Free

This product is for research use only and is not approved for use in humans or in clinical diagnosis. Primary Antibodies are guaranteed for 1 year from date of receipt.

Loading...
Loading...
Loading...
Loading...
Loading...