Skip to main content

HIRA Antibody - BSA Free

Novus Biologicals, part of Bio-Techne | Catalog # NBP3-04894

Novus Biologicals, part of Bio-Techne
Catalog #
Availability
Size / Price
Qty
Loading...
NBP3-04894-100ul
NBP3-04894-20ul

Key Product Details

Validated by

Knockout/Knockdown

Species Reactivity

Human

Applications

Knockout Validated, Immunohistochemistry, Immunohistochemistry-Paraffin, Western Blot, ELISA

Label

Unconjugated

Antibody Source

Polyclonal Rabbit IgG

Format

BSA Free

Concentration

Please see the vial label for concentration. If unlisted please contact technical services.

Product Specifications

Immunogen

Recombinant fusion protein containing a sequence corresponding to amino acids 250-550 of human HIRA (NP_003316.3). AQIIEREGWKTNMDFVGHRKAVTVVKFNPKIFKKKQKNGSSAKPSCPYCCCAVGSKDRSLSVWLTCLKRPLVVIHELFDKSIMDISWTLNGLGILVCSMDGSVAFLDFSQDELGDPLSEEEKSRIHQSTYGKSLAIMTEAQLSTAVIENPEMLKYQRRQQQQQLDQKSAATREMGSATSVAGVVNGESLEDIRKNLLKKQVETRTADGRRRITPLCIAQLDTGDFSTAFFNSIPLSGSLAGTMLSSHSSPQLLPLDSSTPNSFGASKPCTEPVVAASARPAGDSVNKDSMNATSTPAALSP

Clonality

Polyclonal

Host

Rabbit

Isotype

IgG

Theoretical MW

112 kDa.
Disclaimer note: The observed molecular weight of the protein may vary from the listed predicted molecular weight due to post translational modifications, post translation cleavages, relative charges, and other experimental factors.

Description

Novus Biologicals Knockout (KO) Validated Rabbit HIRA Antibody - BSA Free (NBP3-04894) is a polyclonal antibody validated for use in IHC, WB and ELISA. All Novus Biologicals antibodies are covered by our 100% guarantee.

Scientific Data Images for HIRA Antibody - BSA Free

Western Blot: HIRA AntibodyBSA Free [NBP3-04894]

Western Blot: HIRA AntibodyBSA Free [NBP3-04894]

Western Blot: HIRA Antibody [NBP3-04894] - Analysis of extracts from normal (control) and HIRA Rabbit pAb knockout (KO) 293T cells, using HIRA Rabbit pAb antibody at 1:1000 dilution. Secondary antibody: HRP Goat Anti-Rabbit IgG (H+L) at 1:10000 dilution. Lysates/proteins: 25ug per lane.Blocking buffer: 3% nonfat dry milk in TBST. Detection: ECL Basic Kit. Exposure time: 180s.
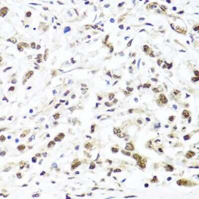
Immunohistochemistry-Paraffin: HIRA Antibody - BSA Free [NBP3-04894]

Immunohistochemistry-Paraffin: HIRA Antibody - BSA Free [NBP3-04894]

Immunohistochemistry-Paraffin: HIRA Antibody [NBP3-04894] - Paraffin-embedded human colon carcinoma using HIRA antibody at dilution of 1:100 (40x lens).
Western Blot: HIRA AntibodyBSA Free [NBP3-04894]

Western Blot: HIRA AntibodyBSA Free [NBP3-04894]

Western Blot: HIRA Antibody [NBP3-04894] - Analysis of extracts of various cell lines, using HIRA antibody at 1:1000 dilution. Secondary antibody: HRP Goat Anti-Rabbit IgG (H+L) at 1:10000 dilution. Lysates/proteins: 25ug per lane. Blocking buffer: 3% nonfat dry milk in TBST. Detection: ECL Basic Kit

Applications for HIRA Antibody - BSA Free

Application
Recommended Usage

Immunohistochemistry

1:100 - 1:200

Western Blot

1:500 - 1:2000

Formulation, Preparation, and Storage

Purification

Affinity purified

Formulation

PBS (pH 7.3), 50% glycerol

Format

BSA Free

Preservative

0.02% Sodium Azide

Concentration

Please see the vial label for concentration. If unlisted please contact technical services.

Shipping

The product is shipped with polar packs. Upon receipt, store it immediately at the temperature recommended below.

Stability & Storage

Store at -20C. Avoid freeze-thaw cycles.

Background: HIRA

HIRA encodes a histone chaperone that preferentially places the variant histone H3.3 in nucleosomes. Orthologs of this gene in yeast, flies, and plants are necessary for the formation of transcriptionally silent heterochomatin. This gene plays an important role in the formation of the senescence-associated heterochromatin foci. These foci likely mediate the irreversible cell cycle changes that occur in senescent cells. It is considered the primary candidate gene in some haploinsufficiency syndromes such as DiGeorge syndrome, and insufficient production of the gene may disrupt normal embryonic development. [provided by RefSeq]

Alternate Names

DGCR1DiGeorge critical region gene 1, HIR, HIR (histone cell cycle regulation defective) homolog A (S. cerevisiae), HIR histone cell cycle regulation defective homolog A (S. cerevisiae), TUP1, TUP1-like enhancer of split protein 1, TUPLE1protein HIRA

Gene Symbol

HIRA

Additional HIRA Products

Product Documents for HIRA Antibody - BSA Free

Certificate of Analysis

To download a Certificate of Analysis, please enter a lot number in the search box below.

Product Specific Notices for HIRA Antibody - BSA Free

This product is for research use only and is not approved for use in humans or in clinical diagnosis. Primary Antibodies are guaranteed for 1 year from date of receipt.

Loading...
Loading...
Loading...
Loading...