Skip to main content

HIP1 Related Antibody - BSA Free

Novus Biologicals, part of Bio-Techne | Catalog # NBP2-38390

Novus Biologicals, part of Bio-Techne
Catalog #
Availability
Size / Price
Qty
Loading...
NBP2-38390
NBP2-38390-25ul

Key Product Details

Validated by

Independent Antibodies

Species Reactivity

Human

Applications

Immunocytochemistry/ Immunofluorescence, Immunohistochemistry, Immunohistochemistry-Paraffin, Western Blot

Label

Unconjugated

Antibody Source

Polyclonal Rabbit IgG

Format

BSA Free

Concentration

Concentrations vary lot to lot. See vial label for concentration. If unlisted please contact technical services.

Product Specifications

Immunogen

This antibody was developed against a recombinant protein corresponding to amino acids: VVADLFDQTFGPPNGSVKDDRDLQIESLKREVEMLRSELEKIKLEAQRYIAQLKSQVNALEGELEEQRKQKQKALVDNEQLR

Reactivity Notes

Immunogen displays the following percentage of sequence identity for non-tested species: Mouse (89%), Rat (89%)

Clonality

Polyclonal

Host

Rabbit

Isotype

IgG

Description

Novus Biologicals Rabbit HIP1 Related Antibody - BSA Free (NBP2-38390) is a polyclonal antibody validated for use in IHC, WB and ICC/IF. All Novus Biologicals antibodies are covered by our 100% guarantee.

Scientific Data Images for HIP1 Related Antibody - BSA Free

Western Blot: HIP1 Related Antibody [NBP2-38390]

Western Blot: HIP1 Related Antibody [NBP2-38390]

Western Blot: HIP1 Related Antibody [NBP2-38390] - Lane 1: Marker [kDa] 250, 130, 95, 72, 55, 36, 28, 17, 10. Lane 2: Human cell line RT-4
Immunocytochemistry/ Immunofluorescence: HIP1 Related Antibody [NBP2-38390]

Immunocytochemistry/ Immunofluorescence: HIP1 Related Antibody [NBP2-38390]

Immunocytochemistry/Immunofluorescence: HIP1 Related Antibody [NBP2-38390] - Immunofluorescent staining of human cell line A-431 shows localization to cytosol & vesicles.
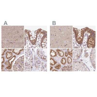
Immunohistochemistry-Paraffin: HIP1 Related Antibody [NBP2-38390]

Immunohistochemistry-Paraffin: HIP1 Related Antibody [NBP2-38390]

Immunohistochemistry-Paraffin: HIP1 Related Antibody [NBP2-38390] - Staining of human testis.

Applications for HIP1 Related Antibody - BSA Free

Application
Recommended Usage

Immunocytochemistry/ Immunofluorescence

0.25-2 ug/ml

Immunohistochemistry

1:1000 - 1:2500

Immunohistochemistry-Paraffin

1:1000 - 1:2500

Western Blot

0.04-0.4 ug/ml
Application Notes
For IHC-Paraffin, HIER pH 6 retrieval is recommended. Immunocytochemistry/Immunofluorescence Fixation Permeabilization: Use PFA/Triton X-100.

Formulation, Preparation, and Storage

Purification

Immunogen affinity purified

Formulation

PBS (pH 7.2) and 40% Glycerol

Format

BSA Free

Preservative

0.02% Sodium Azide

Concentration

Concentrations vary lot to lot. See vial label for concentration. If unlisted please contact technical services.

Shipping

The product is shipped with polar packs. Upon receipt, store it immediately at the temperature recommended below.

Stability & Storage

Store at 4C short term. Aliquot and store at -20C long term. Avoid freeze-thaw cycles.

Background: HIP1 Related

Huntingtin Interacting Protein (HIP1) is a reportedly proapoptotic, cargo-specific adaptor protein that may be involved in the pathogenesis of Huntingtin's disease. Huntingtin's is a neurodegenerate disease caused by the expansion of a polymorphic glutamine tract in Huntingtin.

In addition to playing a role in Huntingtin disease, HIP1 is likely to be involved in the recruitment of clathrin coats to lipid membranes, and it may also factor in tumorigenesis by allowing the survival of precancerous and cancerous cells. Since HIP-1 expression is significantly associated with prostate and colon cancer metastasis, HIP-1 can serve as a putative prognostic factor for prostate and colon cancers.

Alternate Names

FLJ14000, HIP-12, HIP12HIP1-related protein, HIP3, huntingtin interacting protein 1 related, huntingtin interacting protein 12, Huntingtin-interacting protein 12, huntingtin-interacting protein 1-related protein, ILWEQ, KIAA0655FLJ27022, MGC47513

Gene Symbol

HIP1R

UniProt

Additional HIP1 Related Products

Product Documents for HIP1 Related Antibody - BSA Free

Certificate of Analysis

To download a Certificate of Analysis, please enter a lot number in the search box below.

Product Specific Notices for HIP1 Related Antibody - BSA Free

This product is for research use only and is not approved for use in humans or in clinical diagnosis. Primary Antibodies are guaranteed for 1 year from date of receipt.

Loading...
Loading...
Loading...
Loading...