Skip to main content

HIP1 Related Antibody (1E1) - BSA Free

Novus Biologicals, part of Bio-Techne | Catalog # NB300-206

Novus Biologicals, part of Bio-Techne
Catalog #
Availability
Size / Price
Qty
Loading...
NB300-206
NB300-206SS

Key Product Details

Species Reactivity

Validated:

Human, Mouse, Rat, Bacteria

Cited:

Human, Mouse, Bacteria

Applications

Validated:

Immunohistochemistry, Immunohistochemistry-Paraffin, Western Blot, Immunoprecipitation

Cited:

Western Blot, Immunoprecipitation, IF/IHC

Label

Unconjugated

Antibody Source

Monoclonal Mouse IgG1 kappa Clone # 1E1

Format

BSA Free

Concentration

This product is unpurified. The exact concentration of antibody is not quantifiable.

Product Specifications

Immunogen

Human HIP1 Related-TALIN Homology Region (57 kDa). [UniProt# O75146]

Localization

Cytoplasmic

Clonality

Monoclonal

Host

Mouse

Isotype

IgG1 kappa

Theoretical MW

120 kDa.
Disclaimer note: The observed molecular weight of the protein may vary from the listed predicted molecular weight due to post translational modifications, post translation cleavages, relative charges, and other experimental factors.

Description

Novus Biologicals Mouse HIP1 Related Antibody (1E1) - BSA Free (NB300-206) is a monoclonal antibody validated for use in IHC, WB and IP. Anti-HIP1 Related Antibody: Cited in 4 publications. All Novus Biologicals antibodies are covered by our 100% guarantee.

Scientific Data Images for HIP1 Related Antibody (1E1) - BSA Free

Western Blot: HIP1 Related Antibody (1E1) [NB300-206]

Western Blot: HIP1 Related Antibody (1E1) [NB300-206]

Western Blot: HIP1 Related Antibody (1E1) [NB300-206] - Analysis of HIP1 Related on HeLa whole cell extract.
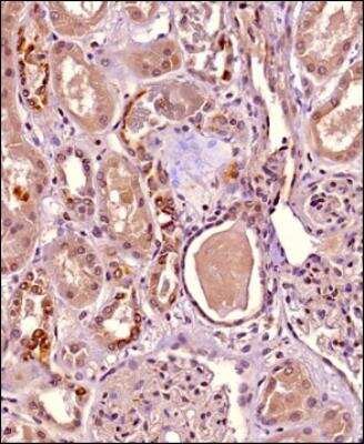
Immunohistochemistry-Paraffin: HIP1 Related Antibody (1E1) [NB300-206]

Immunohistochemistry-Paraffin: HIP1 Related Antibody (1E1) [NB300-206]

Immunohistochemistry-Paraffin: HIP1 Related Antibody (1E1) [NB300-206] - Analysis of a FFPE tissue section of human kidney using 1:200 concentration of HIP1 Related antibody. The staining was developed using HRP labeled anti-rabbit secondary antibody and DAB reagent, and nuclei of cells were counter-stained with hematoxylin. This HIP1 related antibody generated strong staining of the cytoplasm and membrane.

Applications for HIP1 Related Antibody (1E1) - BSA Free

Application
Recommended Usage

Immunohistochemistry

reported in scientific literature

Immunoprecipitation

reported in scientific literature

Western Blot

1:1000
Application Notes
In Western blot, a band is observed at ~120 kDa representing HIP1 Related protein. One lower molecular weight band 80 kDa may also be observed. The observed molecular weight of the protein may vary from the listed predicted molecular weight due to post translational modifications, post translation cleavages, relative charges, and other experimental factors.

Formulation, Preparation, and Storage

Purification

Unpurified

Formulation

Ascites

Format

BSA Free

Preservative

0.1% Sodium Azide

Concentration

This product is unpurified. The exact concentration of antibody is not quantifiable.

Shipping

The product is shipped with polar packs. Upon receipt, store it immediately at the temperature recommended below.

Stability & Storage

Aliquot and store at -20C or -80C. Avoid freeze-thaw cycles.

Background: HIP1 Related

Closely related to the clathrin-mediated endocytosis regulator HIP1, HIP1R is important in cytoskeletal and membrane traffic. HIP1R prolongs the half-life of growth factor receptors, and helps maintain diversity of adult tissues. This functionality seems to only be relevant in mature systems; whereas, in early development from embryo to juvenile stages, HIP1R does not seem to be critical unless other related proteins are affected. In the absence of HIP1R, growth and differentiation seems to occur without any major effects; however, when both HIP1R and HIP1 are deleted, kypholordosis and dwarfism occurs. This seems to indicate that HIP1 and HIP1R share similar roles in vivo, and can mostly compensate for the absence of each other.

Alternate Names

FLJ14000, HIP-12, HIP12HIP1-related protein, HIP3, huntingtin interacting protein 1 related, huntingtin interacting protein 12, Huntingtin-interacting protein 12, huntingtin-interacting protein 1-related protein, ILWEQ, KIAA0655FLJ27022, MGC47513

Entrez Gene IDs

9026 (Human); 192154 (Rat)

Gene Symbol

HIP1R

UniProt

Additional HIP1 Related Products

Product Documents for HIP1 Related Antibody (1E1) - BSA Free

Certificate of Analysis

To download a Certificate of Analysis, please enter a lot number in the search box below.

Product Specific Notices for HIP1 Related Antibody (1E1) - BSA Free

This product is for research use only and is not approved for use in humans or in clinical diagnosis. Primary Antibodies are guaranteed for 1 year from date of receipt.

Loading...
Loading...
Loading...
Loading...