Skip to main content

Hip Antibody (HL1969) - Azide and BSA Free

Novus Biologicals, part of Bio-Techne | Catalog # NBP3-25506

Recombinant Monoclonal Antibody
Novus Biologicals, part of Bio-Techne
Catalog #
Availability
Size / Price
Qty
Loading...
NBP3-25506

Key Product Details

Validated by

Orthogonal Validation

Species Reactivity

Validated:

Human, Mouse

Predicted:

Bovine (98%), Rat (98%), Rhesus Macaque (100%). Backed by our 100% Guarantee.

Applications

Immunohistochemistry, Immunohistochemistry-Paraffin, Western Blot

Label

Unconjugated

Antibody Source

Recombinant Monoclonal Rabbit IgG Clone # HL1969 expressed in HEK293

Format

Azide and BSA Free

Concentration

Concentrations vary lot to lot. See vial label for concentration. If unlisted please contact technical services.

Product Specifications

Immunogen

Recombinant fragment of human Hip

Reactivity Notes

Immunogen displays the following percentage of sequence identity for non-tested species: Xenopus (82%).

Clonality

Monoclonal

Host

Rabbit

Isotype

IgG

Theoretical MW

79 kDa.
Disclaimer note: The observed molecular weight of the protein may vary from the listed predicted molecular weight due to post translational modifications, post translation cleavages, relative charges, and other experimental factors.

Description

Novus Biologicals Rabbit Hip Antibody (HL1969) - Azide and BSA Free (NBP3-25506) is a recombinant monoclonal antibody validated for use in IHC and WB. All Novus Biologicals antibodies are covered by our 100% guarantee.

Scientific Data Images for Hip Antibody (HL1969) - Azide and BSA Free

Hip Antibody (HL1969) - Azide and BSA Free

Immunohistochemistry-Paraffin: Hip Antibody (HL1969) - Azide and BSA Free [NBP3-25506] -

Immunohistochemistry-Paraffin: Hip Antibody (HL1969) - Azide and BSA Free [NBP3-25506] - HHIP antibody [HL1969] detects HHIP protein at cell membrane and secreted by immunohistochemical analysis. Sample: Paraffin-embedded mouse kidney. HHIP stained by HHIP antibody [HL1969] (NBP3-25506) diluted at 1:100. Antigen Retrieval: Citrate buffer, pH 6.0, 15 min
Hip Antibody (HL1969) - Azide and BSA Free

Western Blot: Hip Antibody (HL1969) - Azide and BSA Free [NBP3-25506] -

Western Blot: Hip Antibody (HL1969) - Azide and BSA Free [NBP3-25506] - Non-transfected (-) and transfected (+) 293T whole cell extracts (30 ug) were separated by 7.5% SDS-PAGE, and the membrane was blotted with HHIP antibody [HL1969] (NBP3-25506) diluted at 1:5000. The HRP-conjugated anti-rabbit IgG antibody was used to detect the primary antibody.
Hip Antibody (HL1969) - Azide and BSA Free

Immunohistochemistry-Paraffin: Hip Antibody (HL1969) - Azide and BSA Free [NBP3-25506] -

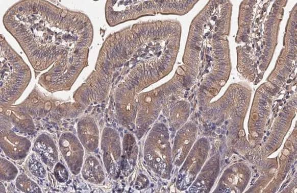
Immunohistochemistry-Paraffin: Hip Antibody (HL1969) - Azide and BSA Free [NBP3-25506] - HHIP antibody [HL1969] detects HHIP protein at cell membrane and secreted by immunohistochemical analysis. Sample: Paraffin-embedded mouse duodenum. HHIP stained by HHIP antibody [HL1969] (NBP3-25506) diluted at 1:100. Antigen Retrieval: Citrate buffer, pH 6.0, 15 min

Applications for Hip Antibody (HL1969) - Azide and BSA Free

Application
Recommended Usage

Immunohistochemistry

Assay dependent

Immunohistochemistry-Paraffin

Assay dependent

Western Blot

1:500-1:3000

Formulation, Preparation, and Storage

Purification

Protein A purified

Formulation

PBS

Format

Azide and BSA Free

Preservative

No Preservative

Concentration

Concentrations vary lot to lot. See vial label for concentration. If unlisted please contact technical services.

Shipping

The product is shipped with polar packs. Upon receipt, store it immediately at the temperature recommended below.

Stability & Storage

Store at 4C short term. Aliquot and store at -20C long term. Avoid freeze-thaw cycles.

Background: Hip

Hhip encodes a protein similar to the mouse hedgehog-interacting protein, a regulatory component of the hedgehog signalling pathway. Members of the hedgehog family are evolutionarily conserved proteins which are involved in many fundamental processes in embryonic development, including anteroposterior patterns of limbs and regulation of left-right asymmetry.

Long Name

Hedgehog-interacting Protein

Alternate Names

HHIP

Gene Symbol

HHIP

Additional Hip Products

Product Documents for Hip Antibody (HL1969) - Azide and BSA Free

Certificate of Analysis

To download a Certificate of Analysis, please enter a lot number in the search box below.

Product Specific Notices for Hip Antibody (HL1969) - Azide and BSA Free

This product is for research use only and is not approved for use in humans or in clinical diagnosis. Primary Antibodies are guaranteed for 1 year from date of receipt.

Loading...
Loading...
Loading...
Loading...