Skip to main content

HIBCH Antibody - BSA Free

Novus Biologicals, part of Bio-Techne | Catalog # NBP3-06399

Novus Biologicals, part of Bio-Techne

Key Product Details

Species Reactivity

Human

Applications

Immunohistochemistry-Paraffin, Immunoprecipitation, Western Blot

Label

Unconjugated

Antibody Source

Polyclonal Rabbit IgG

Format

BSA Free

Concentration

Please see the vial label for concentration. If unlisted please contact technical services.

Product Specifications

Immunogen

Produced in rabbits immunized with E. coli-derived Human HIBCH fragment.

Clonality

Polyclonal

Host

Rabbit

Isotype

IgG

Description

This antibody can be stored at 2C-8C for one month without detectable loss of activity. Antibody products are stable for twelve months from date of receipt when stored at -20C to -80C. Avoid repeated freeze-thaw cycles.

Scientific Data Images for HIBCH Antibody - BSA Free

Western Blot: HIBCH Antibody [NBP3-06399]

Western Blot: HIBCH Antibody [NBP3-06399]

Western Blot: HIBCH Antibody [NBP3-06399] - Lane A: HepG2 Whole Cell LysateLysates/proteins at 30 ug per lane.SecondaryGoat Anti-Rabbit IgG (H+L)/HRP at 1/10000 dilution.Developed using the ECL technique.Performed under reducing conditions.Predicted band size:43 kDaObserved band size:43 kDa
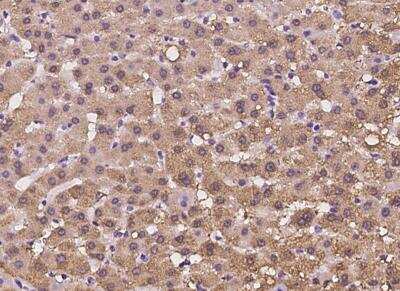
Immunohistochemistry-Paraffin: HIBCH Antibody [NBP3-06399]

Immunohistochemistry-Paraffin: HIBCH Antibody [NBP3-06399]

Immunohistochemistry-Paraffin: HIBCH Antibody [NBP3-06399] - Staining of human HIBCH in human liver with rabbit polyclonal antibody at 1:100 dilution.
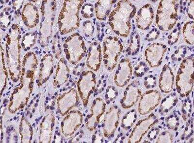
Immunohistochemistry-Paraffin: HIBCH Antibody [NBP3-06399]

Immunohistochemistry-Paraffin: HIBCH Antibody [NBP3-06399]

Immunohistochemistry-Paraffin: HIBCH Antibody [NBP3-06399] - Staining of human HIBCH in human kidney with rabbit polyclonal antibody at 1:100 dilution.

Applications for HIBCH Antibody - BSA Free

Application
Recommended Usage

Immunohistochemistry-Paraffin

1:50-1:200

Immunoprecipitation

1-5uL/mg of lysate

Western Blot

1:500-1:2000

Formulation, Preparation, and Storage

Purification

Antigen and protein A Affinity-purified

Formulation

PBS

Format

BSA Free

Preservative

0.03% Proclin 300

Concentration

Please see the vial label for concentration. If unlisted please contact technical services.

Shipping

The product is shipped with polar packs. Upon receipt, store it immediately at the temperature recommended below.

Stability & Storage

Store at 4C short term. Aliquot and store at -20C long term. Avoid freeze-thaw cycles.

Background: HIBCH

Beta-hydroxyisobutyryl-CoA hydrolase (EC 3.1.2.4) is responsible for the specific hydrolysis of HIBYL-CoA, a valine catabolite, as well as the hydrolysis of beta-hydroxypropionyl-CoA, an intermediate in a minor pathway of propionate metabolism.(supplied by OMIM)

Alternate Names

3-hydroxyisobutyryl-CoA hydrolase, EC 3.1.2.4,3-hydroxyisobutyryl-coenzyme A hydrolase3-hydroxyisobutyryl-CoA hydrolase, mitochondrial, HIB-CoA hydrolase, HIBYLCOAH, HIBYL-CoA-H

Gene Symbol

HIBCH

Additional HIBCH Products

Product Documents for HIBCH Antibody - BSA Free

Certificate of Analysis

To download a Certificate of Analysis, please enter a lot number in the search box below.

Product Specific Notices for HIBCH Antibody - BSA Free

This product is for research use only and is not approved for use in humans or in clinical diagnosis. Primary Antibodies are guaranteed for 1 year from date of receipt.

Loading...
Loading...
Loading...
Loading...