Skip to main content

HIBADH Antibody - BSA Free

Novus Biologicals, part of Bio-Techne | Catalog # NBP3-37923

Novus Biologicals, part of Bio-Techne
Catalog #
Availability
Size / Price
Qty
Loading...
NBP3-37923-100ul
NBP3-37923-20ul

Key Product Details

Species Reactivity

Human, Mouse, Rat

Applications

ELISA, Immunocytochemistry/ Immunofluorescence, Immunohistochemistry, Immunohistochemistry-Paraffin, Western Blot

Label

Unconjugated

Antibody Source

Polyclonal Rabbit IgG

Format

BSA Free

Concentration

Please see the vial label for concentration. If unlisted please contact technical services.

Product Specifications

Immunogen

Recombinant fusion protein containing a sequence corresponding to amino acids 37-336 of human HIBADH (NP_689953.1).

Sequence:
ASKTPVGFIGLGNMGNPMAKNLMKHGYPLIIYDVFPDACKEFQDAGEQVVSSPADVAEKADRIITMLPTSINAIEAYSGANGILKKVKKGSLLIDSSTIDPAVSKELAKEVEKMGAVFMDAPVSGGVGAARSGNLTFMVGGVEDEFAAAQELLGCMGSNVVYCGAVGTGQAAKICNNMLLAISMIGTAEAMNLGIRLGLDPKLLAKILNMSSGRCWSSDTYNPVPGVMDGVPSANNYQGGFGTTLMAKDLGLAQDSATSTKSPILLGSLAHQIYRMMCAKGYSKKDFSSVFQFLREEETF

Clonality

Polyclonal

Host

Rabbit

Isotype

IgG

Theoretical MW

35 kDa.
Disclaimer note: The observed molecular weight of the protein may vary from the listed predicted molecular weight due to post translational modifications, post translation cleavages, relative charges, and other experimental factors.

Description

Novus Biologicals Rabbit HIBADH Antibody - BSA Free (NBP3-37923) is a polyclonal antibody validated for use in IHC, WB, ELISA and ICC/IF. All Novus Biologicals antibodies are covered by our 100% guarantee.

Scientific Data Images for HIBADH Antibody - BSA Free

HIBADH Antibody

Immunocytochemistry/ Immunofluorescence: HIBADH Antibody [NBP3-37923] -

Immunocytochemistry/ Immunofluorescence: HIBADH Antibody [NBP3-37923] - Immunofluorescence analysis of L929 cells using HIBADH Rabbit pAb at dilution of 1:100. Secondary antibody: Cy3-conjugated Goat anti-Rabbit IgG (H+L) at 1:500 dilution. Blue: DAPI for nuclear staining.
HIBADH Antibody

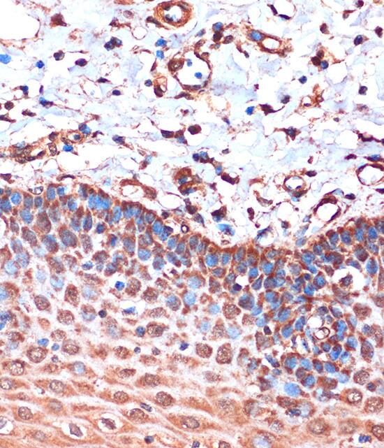
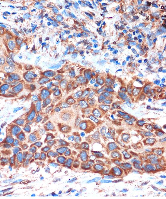
Immunohistochemistry: HIBADH Antibody [NBP3-37923] -

Immunohistochemistry: HIBADH Antibody [NBP3-37923] - Immunohistochemistry analysis of paraffin-embedded Human lung cancer using HIBADH Rabbit pAb at dilution of 1:100 (40x lens). Microwave antigen retrieval performed with 0.01M PBS Buffer (pH 7.2) prior to IHC staining.
HIBADH Antibody

Immunocytochemistry/ Immunofluorescence: HIBADH Antibody [NBP3-37923] -

Immunocytochemistry/ Immunofluorescence: HIBADH Antibody [NBP3-37923] - Immunofluorescence analysis of U-2 OS cells using HIBADH Rabbit pAb at dilution of 1:100. Secondary antibody: Cy3-conjugated Goat anti-Rabbit IgG (H+L) at 1:500 dilution. Blue: DAPI for nuclear staining.

Applications for HIBADH Antibody - BSA Free

Application
Recommended Usage

Immunocytochemistry/ Immunofluorescence

1:50 - 1:200

Immunohistochemistry-Paraffin

1:50 - 1:200

Western Blot

1:1000 - 1:5000

Formulation, Preparation, and Storage

Purification

Affinity purified

Formulation

PBS (pH 7.3), 50% glycerol

Format

BSA Free

Preservative

0.05% Proclin 300

Concentration

Please see the vial label for concentration. If unlisted please contact technical services.

Shipping

The product is shipped with polar packs. Upon receipt, store it immediately at the temperature recommended below.

Stability & Storage

Store at -20C. Avoid freeze-thaw cycles.

Background: HIBADH

3-hydroxyisobutyrate dehydrogenase (3-hydroxy-2-methylpropanoate:NAD(+) oxidoreductase, EC 1.1.1.31) is a dimeric mitochondrial enzyme that catalyzes the NAD(+)-dependent, reversible oxidation of 3-hydroxyisobutyrate, an intermediate of valine catabolism, to methylmalonate semialdehyde.[supplied by OMIM]

Alternate Names

3-hydroxyisobutyrate dehydrogenase, 3-hydroxyisobutyrate dehydrogenase, mitochondrial, EC 1.1.1,3'-hydroxyisobutyrate dehydrogenase, EC 1.1.1.31, MGC40361, NS5ATP1

Gene Symbol

HIBADH

Additional HIBADH Products

Product Documents for HIBADH Antibody - BSA Free

Certificate of Analysis

To download a Certificate of Analysis, please enter a lot number in the search box below.

Product Specific Notices for HIBADH Antibody - BSA Free

This product is for research use only and is not approved for use in humans or in clinical diagnosis. Primary Antibodies are guaranteed for 1 year from date of receipt.

Loading...
Loading...
Loading...
Loading...