Skip to main content

hHR23b Antibody - BSA Free

Novus Biologicals, part of Bio-Techne | Catalog # NBP1-89698

Novus Biologicals, part of Bio-Techne
Catalog #
Availability
Size / Price
Qty
Loading...
NBP1-89698
NBP1-89698-25ul

Key Product Details

Validated by

Independent Antibodies

Species Reactivity

Validated:

Human

Predicted:

Rat (91%). Backed by our 100% Guarantee.

Applications

Immunohistochemistry, Immunohistochemistry-Paraffin, Western Blot

Label

Unconjugated

Antibody Source

Polyclonal Rabbit IgG

Format

BSA Free

Concentration

Concentrations vary lot to lot. See vial label for concentration. If unlisted please contact technical services.

Product Specifications

Immunogen

This antibody was developed against Recombinant Protein corresponding to amino acids: LPALLQQIGRENPQLLQQISQHQEHFIQMLNEPVQEAGGQGGGGGGGSGGIAEAGSGHMNYIQVTPQE

Reactivity Notes

Immunogen displays the following percentage of sequence identity for non-tested species: Mouse (88%)

Clonality

Polyclonal

Host

Rabbit

Isotype

IgG

Description

Novus Biologicals Rabbit hHR23b Antibody - BSA Free (NBP1-89698) is a polyclonal antibody validated for use in IHC and WB. All Novus Biologicals antibodies are covered by our 100% guarantee.

Scientific Data Images for hHR23b Antibody - BSA Free

Immunohistochemistry-Paraffin: hHR23b Antibody [NBP1-89698]

Immunohistochemistry-Paraffin: hHR23b Antibody [NBP1-89698]

Immunohistochemistry-Paraffin: hHR23b Antibody [NBP1-89698] - Staining of human colon, kidney, liver and testis using Anti-RAD23B antibody NBP1-89698 (A) shows similar protein distribution across tissues to independent antibody NBP1-89699 (B).
Immunohistochemistry-Paraffin: hHR23b Antibody [NBP1-89698]

Immunohistochemistry-Paraffin: hHR23b Antibody [NBP1-89698]

Immunohistochemistry-Paraffin: hHR23b Antibody [NBP1-89698] - Staining of human testis using Anti-RAD23B antibody NBP1-89698.
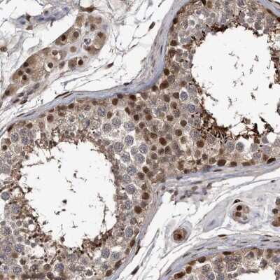
Immunohistochemistry-Paraffin: hHR23b Antibody [NBP1-89698]

Immunohistochemistry-Paraffin: hHR23b Antibody [NBP1-89698]

Immunohistochemistry-Paraffin: hHR23b Antibody [NBP1-89698] - Staining of human pancreas shows nuclear positivity.

Applications for hHR23b Antibody - BSA Free

Application
Recommended Usage

Immunohistochemistry

1:20 - 1:50

Immunohistochemistry-Paraffin

1:10-1:20

Western Blot

0.04 - 0.4 ug/ml
Application Notes
For IHC-Paraffin, HIER pH 6 retrieval is recommended. Immunocytochemistry/Immunofluorescence Fixation Permeabilization: Use PFA/Triton X-100.

Formulation, Preparation, and Storage

Purification

Immunogen affinity purified

Formulation

PBS (pH 7.2) and 40% Glycerol

Format

BSA Free

Preservative

0.02% Sodium Azide

Concentration

Concentrations vary lot to lot. See vial label for concentration. If unlisted please contact technical services.

Shipping

The product is shipped with polar packs. Upon receipt, store it immediately at the temperature recommended below.

Stability & Storage

Store at 4C short term. Aliquot and store at -20C long term. Avoid freeze-thaw cycles.

Background: hHR23b

hHR23b is encoded by this gene is one of two human homologs of Saccharomyces cerevisiae Rad23, a protein involved in the nucleotide excision repair (NER). This protein was found to be a component of the protein complex that specifically complements the NER defect of xeroderma pigmentosum group C (XP-c) cell extracts in vitro. This protein was also shown to interact with, and elevate the nucleotide excision activity of 3-methyladenine-DNA glycosylase (MPG), which suggested a role in DNA damage recognition in base excision repair. This protein contains an N-terminal ubiquitin-like domain, which was reported to interact with 26S proteasome, and thus this protein may be involved in the ubiquitin mediated proteolytic pathway in cells.

Alternate Names

hHR23B, HR23BUV excision repair protein RAD23 homolog B, p58, RAD23 (S. cerevisiae) homolog B, RAD23 homolog B (S. cerevisiae), RAD23, yeast homolog of, B, XP-C repair complementing complex 58 kDa, XP-C repair complementing protein, XP-C repair-complementing complex 58 kDa protein

Gene Symbol

RAD23B

Additional hHR23b Products

Product Documents for hHR23b Antibody - BSA Free

Certificate of Analysis

To download a Certificate of Analysis, please enter a lot number in the search box below.

Product Specific Notices for hHR23b Antibody - BSA Free

This product is for research use only and is not approved for use in humans or in clinical diagnosis. Primary Antibodies are guaranteed for 1 year from date of receipt.

Loading...
Loading...
Loading...
Loading...