Skip to main content

HGF Antibody (OTI1D2) - Azide and BSA Free

Novus Biologicals, part of Bio-Techne | Catalog # NBP2-70884

Novus Biologicals, part of Bio-Techne

Key Product Details

Species Reactivity

Human, Mouse, Rat

Applications

Immunohistochemistry, Immunohistochemistry-Paraffin, Western Blot

Label

Unconjugated

Antibody Source

Monoclonal Mouse IgG2A Clone # OTI1D2

Format

Azide and BSA Free

Concentration

LYOPH mg/ml

Product Specifications

Immunogen

Human recombinant protein fragment corresponding to amino acids 200-494 of human HGF(NP_000592) produced in E.coli.

Reactivity Notes

Please note that this antibody is reactive to Mouse and derived from the same host, Mouse. Mouse-On-Mouse blocking reagent may be needed for IHC and ICC experiments to reduce high background signal. You can find these reagents under catalog numbers PK-2200-NB and MP-2400-NB. Please contact Technical Support if you have any questions.

Clonality

Monoclonal

Host

Mouse

Isotype

IgG2A

Theoretical MW

79.6 kDa.
Disclaimer note: The observed molecular weight of the protein may vary from the listed predicted molecular weight due to post translational modifications, post translation cleavages, relative charges, and other experimental factors.

Description

Novus Biologicals Mouse HGF Antibody (OTI1D2) - Azide and BSA Free (NBP2-45972) is a monoclonal antibody validated for use in IHC and WB. All Novus Biologicals antibodies are covered by our 100% guarantee.

Scientific Data Images for HGF Antibody (OTI1D2) - Azide and BSA Free

Western Blot: HGF Antibody (OTI1D2)Azide and BSA Free [NBP2-70884]

Western Blot: HGF Antibody (OTI1D2)Azide and BSA Free [NBP2-70884]

Western Blot: HGF Antibody (OTI1D2) - Azide and BSA Free [NBP2-70884] - Analysis of HEK293T cells were transfected with the pCMV6-ENTRY control (Left lane) or pCMV6-ENTRY HGF.
Immunohistochemistry: HGF Antibody (OTI1D2) - Azide and BSA Free [NBP2-70884]

Immunohistochemistry: HGF Antibody (OTI1D2) - Azide and BSA Free [NBP2-70884]

Immunohistochemistry: HGF Antibody (OTI1D2) - Azide and BSA Free [NBP2-70884] - Analysis of Human liver tissue. (Heat-induced epitope retrieval by 1mM EDTA in 10mM Tris buffer (pH8.5) at 120C for 3 min)
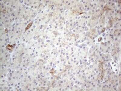
Immunohistochemistry: HGF Antibody (OTI1D2) - Azide and BSA Free [NBP2-70884]

Immunohistochemistry: HGF Antibody (OTI1D2) - Azide and BSA Free [NBP2-70884]

Immunohistochemistry: HGF Antibody (OTI1D2) - Azide and BSA Free [NBP2-70884] - Analysis of Adenocarcinoma of Human colon tissue. (Heat-induced epitope retrieval by 1mM EDTA in 10mM Tris buffer (pH8.5) at 120C for 3 min)

Applications for HGF Antibody (OTI1D2) - Azide and BSA Free

Application
Recommended Usage

Immunohistochemistry

1:150

Western Blot

1:2000

Formulation, Preparation, and Storage

Purification

Immunogen affinity purified

Reconstitution

we recommend adding 100uL distilled water to a final antibody concentration of about 1 mg/mL. To use this carrier-free antibody for conjugation experiment, we strongly recommend performing another round of desalting process.

Formulation

Lyophilized from PBS (pH 7.3) with 8% Trehalose

Format

Azide and BSA Free

Preservative

No Preservative

Concentration

LYOPH mg/ml

Shipping

The product is shipped with polar packs. Upon receipt, store it immediately at the temperature recommended below.

Stability & Storage

Store at -20C. Avoid freeze-thaw cycles.

Background: HGF

Hepatocyte growth factor regulates cell growth, cell motility, and morphogenesis by activating a tyrosine kinase signaling cascade after binding to the proto-oncogenic c-Met receptor. Hepatocyte growth factor is secreted by mesenchymal cells and acts as a multi-functional cytokine on cells of mainly epithelial origin. Its ability to stimulate mitogenesis, cell motility, and matrix invasion gives it a central role in angiogenesis, tumorogenesis, and tissue regeneration. It is secreted as a single inactive polypeptide and is cleaved by serine proteases into a 69-kDa alpha-chain and 34-kDa beta-chain. A disulfide bond between the alpha and beta chains produces the active, heterodimeric molecule. The protein belongs to the plasminogen subfamily of S1 peptidases but has no detectable protease activity. Alternative splicing of this gene produces multiple transcript variants encoding different isoforms. [provided by RefSeq]

Long Name

Hepatocyte Growth Factor

Alternate Names

DFNB39, F-TCF, Hepatopoietin A, HGFB, HPTA, SF

Gene Symbol

HGF

Additional HGF Products

Product Documents for HGF Antibody (OTI1D2) - Azide and BSA Free

Certificate of Analysis

To download a Certificate of Analysis, please enter a lot number in the search box below.

Product Specific Notices for HGF Antibody (OTI1D2) - Azide and BSA Free

This product is for research use only and is not approved for use in humans or in clinical diagnosis. Primary Antibodies are guaranteed for 1 year from date of receipt.

Loading...
Loading...
Loading...
Loading...
Loading...