Skip to main content

Hexim 1 Antibody

Novus Biologicals, part of Bio-Techne | Catalog # NBP1-71868

Novus Biologicals, part of Bio-Techne
Catalog #
Availability
Size / Price
Qty
Loading...
NBP1-71868

Key Product Details

Validated by

Independent Antibodies

Species Reactivity

Human, Mouse

Applications

Immunohistochemistry, Immunohistochemistry-Paraffin, Immunoprecipitation, Western Blot

Label

Unconjugated

Antibody Source

Polyclonal Rabbit IgG

Concentration

0.2 mg/ml

Product Specifications

Immunogen

The immunogen for this product maps to a region between residue 309 and 359 of human Hexamethylene Bis-Acetamide Inducible 1 using the numbering given in entry NP_006451.1 (GeneID 10614).

Clonality

Polyclonal

Host

Rabbit

Isotype

IgG

Description

Novus Biologicals Rabbit Hexim 1 Antibody (NBP1-71868) is a polyclonal antibody validated for use in IHC, WB and IP. All Novus Biologicals antibodies are covered by our 100% guarantee.

Scientific Data Images for Hexim 1 Antibody

Western Blot: Hexim 1 Antibody [NBP1-71868]

Western Blot: Hexim 1 Antibody [NBP1-71868]

Western Blot: Hexim 1 Antibody [NBP1-71868] - Whole cell lysate (5, 15 and 50 mcg for WB; 1 mg for IP, 20% of IP loaded) from HeLa cells. Affinity purified rabbit anti-HEXIM1 antibody used for WB at 0.04 mcg/ml (A) and 1 mcg/ml (B) and used for IP at 6 mcg/mg lysate. HEXIM1 was also immunoprecipitated by rabbit anti-HEXIM1 antibodies NBP1-71866 and NBP1-71867, which recognize upstream epitopes.
Immunohistochemistry: Hexim 1 Antibody [NBP1-71868]

Immunohistochemistry: Hexim 1 Antibody [NBP1-71868]

Immunohistochemistry: Hexim 1 Antibody [NBP1-71868] - Sample: FFPE section of mouse teratoma. Antibody: Affinity purified rabbit anti- HEXIM1 used at a dilution of 1:200 (1ug/ml). Detection: DAB. Counterstain: hematoxylin (blue).
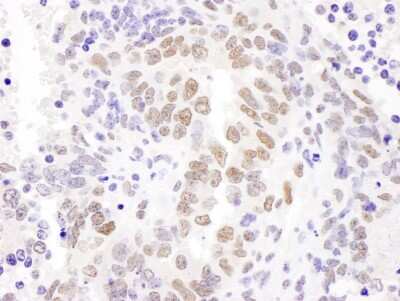
Immunohistochemistry: Hexim 1 Antibody [NBP1-71868]

Immunohistochemistry: Hexim 1 Antibody [NBP1-71868]

Immunohistochemistry: Hexim 1 Antibody [NBP1-71868] - Samples: FFPE serial sections of human lung cancer. Antibody: Affinity purified rabbit anti- HEXIM1 used at a dilution of 1:200 (1ug/ml) ( ) or 1:1,000 (1ug/ml) ( and ). Detection: DAB. Counterstain: hematoxylin (blue).

Applications for Hexim 1 Antibody

Application
Recommended Usage

Immunohistochemistry

1:200 - 1:1000

Immunohistochemistry-Paraffin

1:200 - 1:1000

Immunoprecipitation

2 - 10 ug/mg lysate

Western Blot

1:2000-1:10000
Application Notes
Epitope retrieval with citrate buffer pH6.0 is recommended for FFPE tissue sections.

Formulation, Preparation, and Storage

Purification

Immunogen affinity purified

Formulation

TBS and 0.1% BSA

Preservative

0.09% Sodium Azide

Concentration

0.2 mg/ml

Shipping

The product is shipped with polar packs. Upon receipt, store it immediately at the temperature recommended below.

Stability & Storage

Store at 4C. Do not freeze.

Background: Hexim 1

Expression of this gene is induced by hexamethylene-bis-acetamide in vascular smooth muscle cells. This gene has no introns.

Long Name

Hexamethylene Bis-Acetamide Inducible 1

Alternate Names

CLP1, HEXIM1, HIS1, MAQ1

Gene Symbol

HEXIM1

Additional Hexim 1 Products

Product Documents for Hexim 1 Antibody

Certificate of Analysis

To download a Certificate of Analysis, please enter a lot number in the search box below.

Product Specific Notices for Hexim 1 Antibody

This product is for research use only and is not approved for use in humans or in clinical diagnosis. Primary Antibodies are guaranteed for 1 year from date of receipt.

Loading...
Loading...
Loading...
Loading...